

cona whitening神保町所属・ホワイトニング 神保町店/杉浦のメニュー
- 最短予約可能日
- 2/12 (木)
- 2/13 (金)
- 2/14 (土)
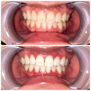
cona whitening神保町所属・ホワイトニング 神保町店/杉浦のフォト
cona whitening神保町所属・ホワイトニング 神保町店/杉浦の口コミ
仕上がり・技術
5.0コミュニケーション・サービス
5.0ミニモでの対応
5.0

ユウキさんの口コミ
男性 / 30代前半
1回でかなり効果を実感しました。前向きに継続を検討したいです。
来店日:2026年2月6日
匿名さんの口コミ
女性 / 30代後半
お試し(15分×2)だけで効果が得られました。 写真を撮って頂けたので効果が分かりやすかったです。 なんの縛りもなく定額プランの変更や、休止、解約がいつでも可能という事で契約を決めました。 他店ではチケット制やホワイトニング剤の料金が別途であったり、初期費用が高いなか(1回に換算するとお安いのだとは思いますが)、全て込みの明瞭な金額も非常に良かったです。 説明もしっかりとしていただけ、やさしい接客も決めた理由のひとつです。
来店日:2026年1月30日
万葵さんの口コミ
女性 / 30代前半
数店舗セルフホワイトニングの経験はございましたが、こちらは強めで効果もとてもあり、目に見えて違いがわかります。続けて通ったら定着も早そうだなと感じました。またぜひお願いいたします。
来店日:2026年1月16日
cona whitening神保町所属・ホワイトニング 神保町店/杉浦のアピールポイント
神保町駅徒歩2分🚶♀️手軽に白い歯を!🦷✨。短時間で効果を実感でき、忙しい方にもぴったり⏱️。歯に優しい成分で、安全・安心のケア🪥💖輝く笑顔を手に入れるチャンス☺️
✨輝く笑顔をあなたに✨ 私たちのホワイトニングサロンでは、最新技術を駆使した安心・安全なホワイトニングを提供しています。歯の黄ばみや黒ずみが気になる方、もっと白い歯を手に入れたい方にぴったりのサービスです😊 🌟サロンの特徴🌟 ・専門家によるカウンセリング お客様一人ひとりの歯の状態をしっかりとチェックし、最適なホワイトニングプランを提案いたします✨ ・痛みが少なく、即効性抜群 最新の機器を使用することで、痛みがほとんどなく、施術後すぐに効果を実感できます! ・自然で美しい白さ 無理に白すぎるのではなく、自然で健康的な白さを目指します。笑顔に自信が持てること間違いなし! ・リラックスした空間 リラックスできる個室で、心地よいひとときをお過ごしいただけます🎶 💎あなたの「笑顔」をもっと輝かせるお手伝い💎 大切なデートやイベント前に、歯を白くして自信を持ちたい!そんな時にぴったりのサロンです。思わず笑顔になれる仕上がりを提供します😊💕 さらに、定期的に通いたくなるような、お得なプランやキャンペーンもご用意しています🎉 あなたもぜひ、輝く笑顔を手に入れてみませんか?✨ 🦷自信を持って、笑顔をもっと素敵に🦷 今すぐ予約して、素晴らしい変化を体験してください!お待ちしております🌈
cona whitening神保町所属・ホワイトニング 神保町店/杉浦のプロフィール
歯科医院レベル薬剤で“本気のホワイトニング”💎 毛穴・ざらつきケアのハーブピーリングも大人気🌿 完全個室×マンツーマンで安心😊 当日トーンアップ実感の声多数✨ あなたの“キレイ”全力でサポートします🌈 ご予約お待ちしてます💛💙💚
- 得意な施術
- ハリツヤUP、ニキビケア、毛穴ケア、角質ケア、ピーリング、垢抜け
- 施術について
- 🦷ホワイトニングは歯科医院レベル薬剤で当日トーンアップ実感💎 🌿ハーブピーリングは毛穴・ざらつき・ニキビに効果的で透明感UP✨ 痛み・ダウンタイムほぼなしで気軽に受けられる人気メニューです🌈
- 性別
- 女性


























