ログイン
美容室
美容室
ネイル
ネイル
マツエク
マツエク
眉毛サロン
眉毛サロン
エステ・リラク
エステ
カタログ
カタログ
トップ
美容サロン
大阪
上本町・玉造・谷町
森ノ宮駅
whitening salon yatto.所属・ホワイトニングサロン yatto.
美容サロンカタログ
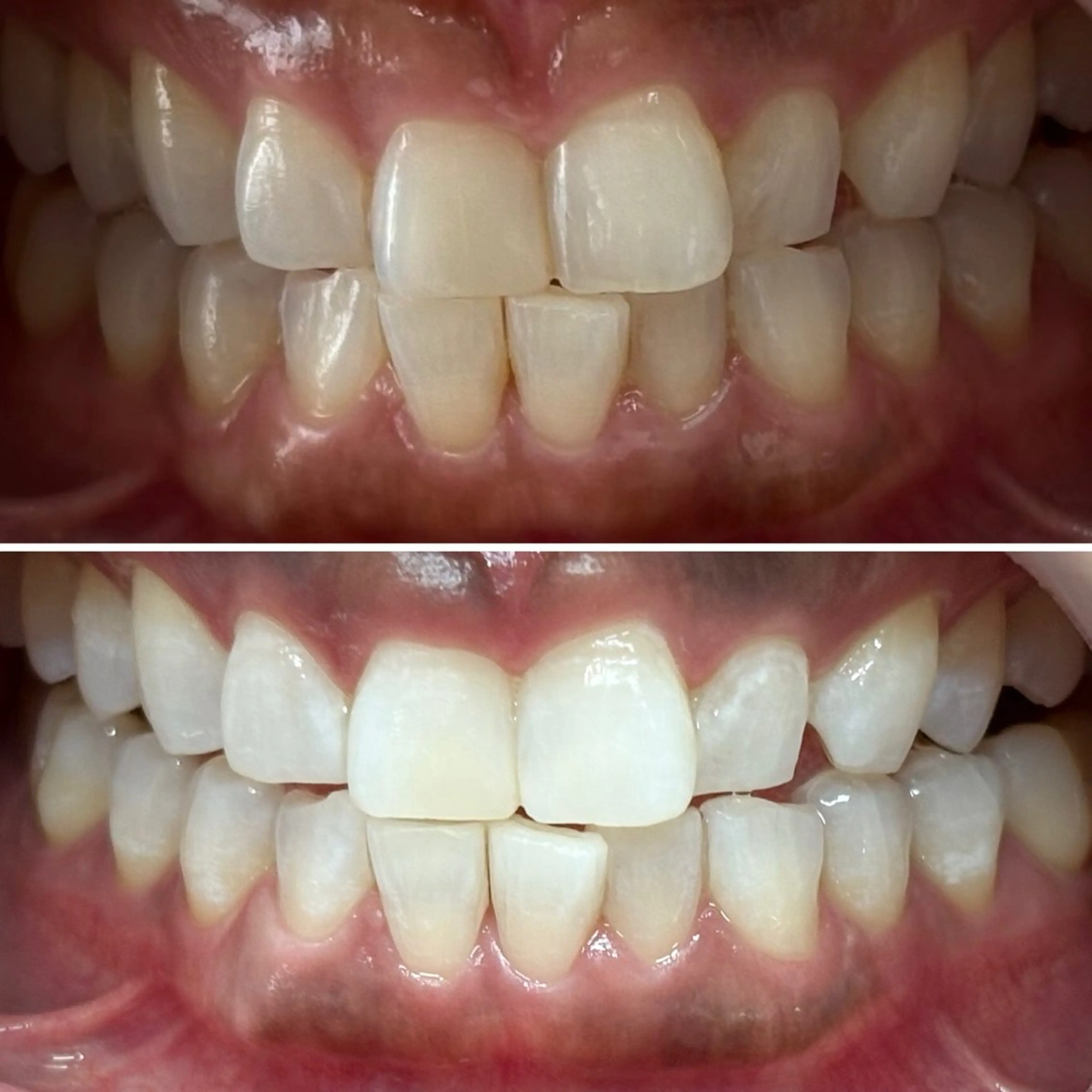
スペシャルホワイトニングの回数券を購入されたお客様☆ 今は白い歯をキープする為1カ月に1回メンテナン
whitening salon yatto.
ホワイトニングサロン yatto.
経験年数 10年以上
5.0
2
10
森ノ宮駅7分 / 玉造駅10分 / 大阪城公園駅10分
2026年3月15日
更新
トップ
フォト
メニュー
口コミ
スペシャルホワイトニングの回数券を購入されたお客様☆ 今は白 by whitening salon yatto.所属・ホワイトニングサロン yatto.
スペシャルホワイトニングの回数券を購入されたお客様☆ 今は白い歯をキープする為1カ月に1回メンテナンスで通われてます。 写真は初回来店時(上)、現在(下)になります。 艶、透明感がすごい!
2026年1月27日(火)22:50投稿
対応メニュー
ミニモ限定
練習モデル
その他
【新規限定】3/31迄限定!春に向けて今だけの特別限定価格!本格的なホワイトニング始めるなら破格の今!
新規
¥9,900
予約
新規
¥9,900
予約
ミニモ
限定
スペシャルホワイトニング通常初回13,850円ですが、ミニモ限定で初回9,900円!
利用条件
対象期間
03/05(木)〜03/31(火)
今回だけの特別価格! 初回価格をさらにミニモ限定キャンペーン価格に! スペシャルホワイトニング初回価格13,850円→9900円 6分×6回照射+初回カウンセリング 業界最高濃度ジェル×最高ハイパワーライトで自分史上最高に白く! 他店で白くならなかった、痛かった、などお悩みの方、yatto.にお任せください! 初回のみ無料カウンセリングあり。
詳細を見る
whitening salon yatto.所属・ホワイトニングサロン yatto.の美容サロンカタログ
フォトをすべて見る(48)
whitening salon yatto.所属・ホワイトニングサロン yatto.のメニュー
ミニモ限定
その他
【U24ミニモ学割】1日3組限定!スペシャルホワイトニングライト(6分×3回照射)
全員
¥4,300
予約
全員
¥4,300
予約
ミニモ
限定
通常6300円のメニューが、ミニモ限定で4300円になります。
ミニモ限定
その他
1日3組限定!スペシャルホワイトニングライト(6分×3回照射)
全員
¥6,000
予約
全員
¥6,000
予約
ミニモ
限定
通常6300円のメニューですが、ミニモ限定で6000円になります。
ミニモ限定
練習モデル
その他
【新規限定】3/31迄限定!春に向けて今だけの特別限定価格!本格的なホワイトニング始めるなら破格の今!
新規
¥9,900
予約
新規
¥9,900
予約
ミニモ
限定
スペシャルホワイトニング通常初回13,850円ですが、ミニモ限定で初回9,900円!
利用条件
対象期間
03/05(木)〜03/31(火)
その他
4/1以降ご予約のご新規様★スペシャルセルフホワイトニング(90分)
新規
¥13,850
予約
新規
¥13,850
予約
その他
口コミ投稿で施術後の歯のミネラルパック(500円)プレゼント
全員
¥0
アプリで予約
全員
¥0
アプリで予約
アプリから予約可能なメニューです
メニューをすべて見る(17)
whitening salon yatto.の詳細情報
whitening salon yatto.
大阪府大阪市東成区中道1-10-19 レジデンスカナイ2F (
地図
)
森ノ宮駅7分 / 玉造駅10分 / 大阪城公園駅10分
エリア
森ノ宮駅
営業時間
月 09:00-18:00 火 09:00-18:00 水 09:00-18:00 木 09:00-18:00 金 09:00-18:00 土 定休日 日 09:00-18:00 祝 定休日 土・祝定休日 最終受付17時(初回のみ16時半)
お支払い
現金
現金可
クレジットカード
Mastercard / Visa / JCB / American Express
席数
2席
駐車場
近くにコインパーキングあり
禁煙・喫煙
禁煙
お子様連れ
お子様連れ可
その他
メンズ歓迎
サロン電話番号
お問い合わせ先
ホワイトニングサロン yatto.
フォト
メニュー
口コミ
大阪市東成区で他におすすめの美容サロン一覧
明日行ける大阪市東成区の美容サロン
メンズも歓迎な大阪市東成区の美容サロン
ヘアセットができる大阪市東成区の美容サロン
ヘッドスパができる大阪市東成区の美容サロン
大阪府で他におすすめの美容サロン一覧
明日行ける大阪府の美容サロン
メンズも歓迎な大阪府の美容サロン
ヘアセットができる大阪府の美容サロン
ヘッドスパができる大阪府の美容サロン
whitening salon yatto.付近の駅の美容サロンを探す
森ノ宮駅
玉造駅
緑橋駅
大阪城公園駅
鶴橋駅