

歯のホワイトニング専門店ホワイトニングサロン 《WHITE 福岡天神店》ホワイトニング専門店 WHITE天神店
経験年数 3年
赤坂駅8分 / 西鉄福岡駅11分 / 天神駅11分
更新
- エステが好評エステを施術した95%のお客様が満足しています
- リラクが好評リラクを施術した95%のお客様が満足しています
- 仕上がり満足度が高い100%のお客様が高い評価をつけています

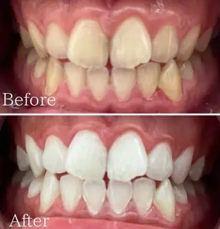
ホワイトニング専門店 WHITE天神店のエステ・リラクフォト
234件中211〜234件表示
歯のホワイトニング専門店ホワイトニングサロン 《WHITE 福岡天神店》の詳細情報
福岡県福岡市中央区大名1-9-45 藤和大名コープ211 (地図)
赤坂駅8分 / 西鉄福岡駅11分 / 天神駅11分
西通りファマミリーマートさんを曲がり新雁林町通りに入りそのまま400m直進です。
店舗横にマックスバリューさん、店舗前に稚加榮さんその前に藤和大名コープがございます。そちらの211号室になります。近隣にコインパーキングもございますので車でのご来店も可能でございます。


























