ログイン
美容室
美容室
ネイル
ネイル
マツエク
マツエク
眉毛サロン
眉毛サロン
エステ・リラク
エステ
カタログ
カタログ
トップ
エステ・リラク
神奈川
湘南台・江ノ島
鵠沼海岸駅
はなえみの森所属・はなえみの森 上戸千瑞
エステ・リラクフォト
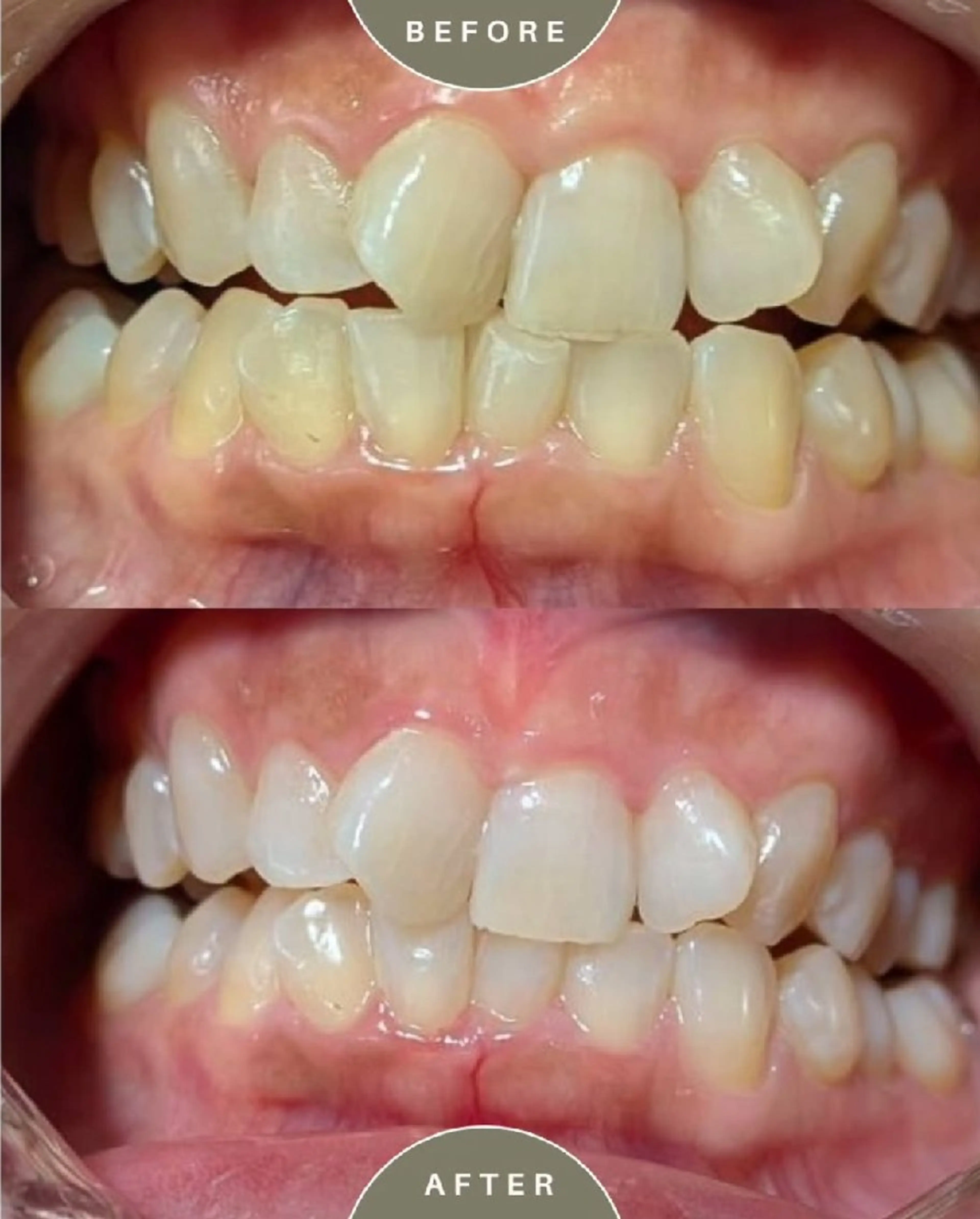
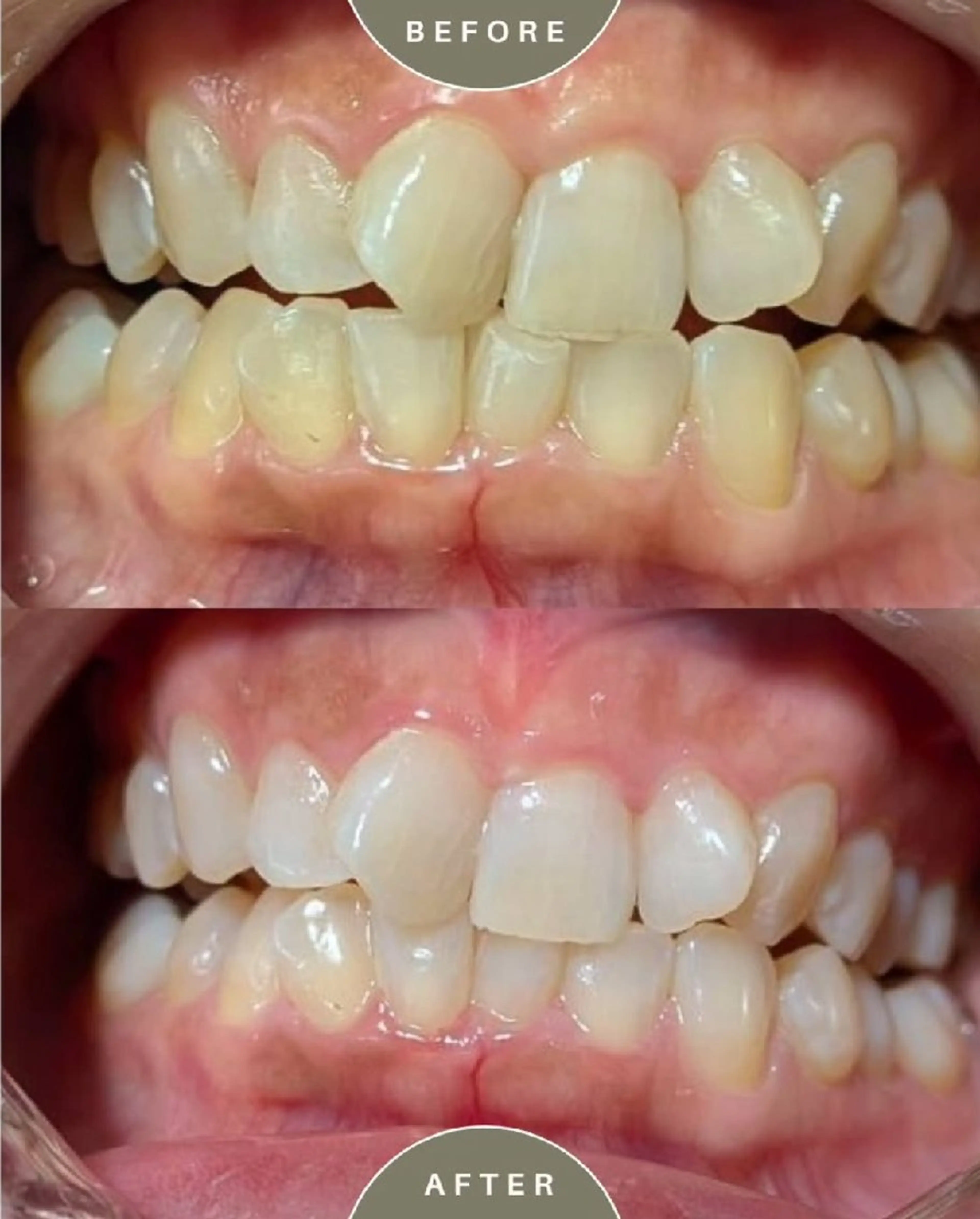
ホワイトニングは各種ご用意しております。 ご自身に合った薬剤を専門家である歯科衛生士がご案内致します
はなえみの森
はなえみの森 上戸千瑞
経験年数 10年以上
-
-
8
鵠沼海岸駅10分
2026年3月9日
更新
トップ
フォト
メニュー
ホワイトニングは各種ご用意しております。 ご自身に合った薬剤 by はなえみの森所属・はなえみの森 上戸千瑞
ホワイトニングは各種ご用意しております。 ご自身に合った薬剤を専門家である歯科衛生士がご案内致します。 回数を重ねると、黄ばんだ歯もここまで白くなります!(個人差はあります)
2026年3月9日(月)01:54投稿
対応メニュー
ミニモ限定
その他
(期間限定半額!)セルフホワイトニング
全員
¥1,500
予約
全員
¥1,500
予約
ミニモ
限定
歯科衛生士がマンツーマンで行います。 選べるセルフホワイトニングを期間限定の半額にてご案内致します。
初回は一般的なセルフホワイトニングサロンで行う薬剤を使ったメニューになります。 2回目以降は各種セルフホワイトニングをご利用いただけます。 提示のお値段は一回照射(10分)になります。 公式サイトでも予約を受けている為、当サイトで予約が可能でも埋まっている可能性があります。 その為こちらの予約では承認性とさせていただいております。
詳細を見る
はなえみの森所属・はなえみの森 上戸千瑞のエステ・リラクフォト
はなえみの森所属・はなえみの森 上戸千瑞のメニュー
ミニモ限定
リラク
(期間限定で半額!)上半身集中!デンタルエステ
全員
¥4,000
予約
全員
¥4,000
予約
ミニモ
限定
カウンセリング付きメニューを期間限定で半額にてご案内させていただきます。
利用条件
土日祝のみ
開始時刻
10:00〜17:00
ミニモ限定
その他
(期間限定半額!)セルフホワイトニング
全員
¥1,500
予約
全員
¥1,500
予約
ミニモ
限定
歯科衛生士がマンツーマンで行います。 選べるセルフホワイトニングを期間限定の半額にてご案内致します。
はなえみの森の詳細情報
はなえみの森
神奈川県藤沢市鵠沼海岸5-13-6 (
地図
)
鵠沼海岸駅10分
江ノ電バス 鵠沼車庫前 徒歩5分 小田急江ノ島線 鵠沼海岸駅 徒歩10分 初回のみ送迎あり (メッセージにてご相談下さい)
エリア
鵠沼海岸駅
営業時間
月 定休日 火 定休日 水 定休日 木 定休日 金 定休日 土 10:00-17:00 日 10:00-17:00 祝 10:00-17:00 別サイトからの通常予約も同時に受け付けている為、当サイトから予約していただいた時点で埋まっている可能性もあります。その為一旦予約リクエストをいただいております。
席数
1席
駐車場
あり
禁煙・喫煙
禁煙
お子様連れ
キッズスペースあり
その他
メンズ歓迎
サロン電話番号
お問い合わせ先
はなえみの森 上戸千瑞
フォト
メニュー
藤沢市で他におすすめのエステ・リラクゼーションサロン一覧
今日行ける藤沢市のエステ・リラクゼーションサロン
明日行ける藤沢市のエステ・リラクゼーションサロン
神奈川県で他におすすめのエステ・リラクゼーションサロン一覧
今日行ける神奈川県のエステ・リラクゼーションサロン
明日行ける神奈川県のエステ・リラクゼーションサロン
はなえみの森付近の駅のエステ・リラクゼーションサロンを探す
鵠沼海岸駅