ログイン
美容室
美容室
ネイル
ネイル
マツエク
マツエク
眉毛サロン
眉毛サロン
エステ・リラク
エステ
カタログ
カタログ
トップ
美容サロン
三重
津駅
ホワイトニングショップ津店所属・ホワイトニング ショップ津店
美容サロンカタログ
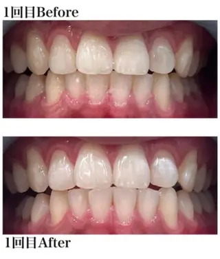
【一回どのくらい白くなるの?】 当店のホワイトニングは効果が抜群‼︎ 初めは一回の照射で2〜3トーン
ホワイトニングショップ津店
ホワイトニング ショップ津店
経験年数 1年
5.0
1
50
津駅10分
2025年12月12日
更新
トップ
フォト
メニュー
口コミ
【一回どのくらい白くなるの?】 当店のホワイトニングは効果 by ホワイトニングショップ津店所属・ホワイトニング ショップ津店
【一回どのくらい白くなるの?】 当店のホワイトニングは効果が抜群‼︎ 初めは一回の照射で2〜3トーンアップ! 効果出やすい方は 5トーンほどアップする方がいます😳 照射時間もたっぷり40分なので 他店に比べて圧倒的な照射時間で 頑固な着色もしっかり落としていきます! 1回でも効果はありますが、 着色汚れを落としきるには【回数を重ねること】が とても重要‼︎ しっかり汚れを落としきり継続的なメンテナンスで 明るくなった歯をしっかりキープできるので 人気ナンバーワンのフリーパスコースで 通われている方がほとんどです☺️💖 ぜひみなさまも一度ご来店ください♡
2025年7月28日(月)16:59投稿
対応メニュー
その他
【お昼割🕛】¥6980→¥2200🦷
新規
¥2,200
予約
新規
¥2,200
予約
【施術内容】カウンセリング(20分)→手順説明・施術体験→トーンチェック・カウンセリング(20分)
詳細を見る
ホワイトニングショップ津店所属・ホワイトニング ショップ津店の美容サロンカタログ
フォトをすべて見る(499)
ホワイトニングショップ津店所属・ホワイトニング ショップ津店のメニュー
その他
【お昼割🕛】¥6980→¥2200🦷
新規
¥2,200
予約
新規
¥2,200
予約
その他
お試しホワイトニング🦷【平日のみ】15分✖️1回¥1660🎶
新規
¥1,660
予約
新規
¥1,660
予約
利用条件
平日のみ
その他
【回数券お持ちの方】セルフホワイトニング次回予約用
リピーター
¥0
アプリで予約
リピーター
¥0
アプリで予約
アプリから予約可能なメニューです
その他
【単発でご予約】来店2回目〜回数券お持ちでない方。セルフホワイトニング20分照射×2回
リピーター
¥6,980
予約
リピーター
¥6,980
予約
その他
【プレミアムコース✨】家族、友達、恋人とシェア可能!!セルフホワイトニング20分照射×50回
全員
¥65,000
予約
全員
¥65,000
予約
メニューをすべて見る(9)
ホワイトニングショップ津店の詳細情報
ホワイトニングショップ津店
三重県津市羽所町517 ツツミビル3階 (
地図
)
津駅10分
エリア
津駅
営業時間
予約画面をご確認ください
席数
2席
駐車場
あり
禁煙・喫煙
禁煙
お子様連れ
お子様連れ可
サロン電話番号
お問い合わせ先
ホワイトニング ショップ津店
フォト
メニュー
口コミ
津市で他におすすめの美容サロン一覧
明日行ける津市の美容サロン
メンズも歓迎な津市の美容サロン
ヘアセットができる津市の美容サロン
ヘッドスパができる津市の美容サロン
三重県で他におすすめの美容サロン一覧
明日行ける三重県の美容サロン
メンズも歓迎な三重県の美容サロン
ヘアセットができる三重県の美容サロン
ヘッドスパができる三重県の美容サロン
ホワイトニングショップ津店付近の駅の美容サロンを探す
津駅