1. トップ
  2. 美容サロン
  3. 三重
  4. 津駅
  5. ホワイトニング ショップ津店
  6. フォト
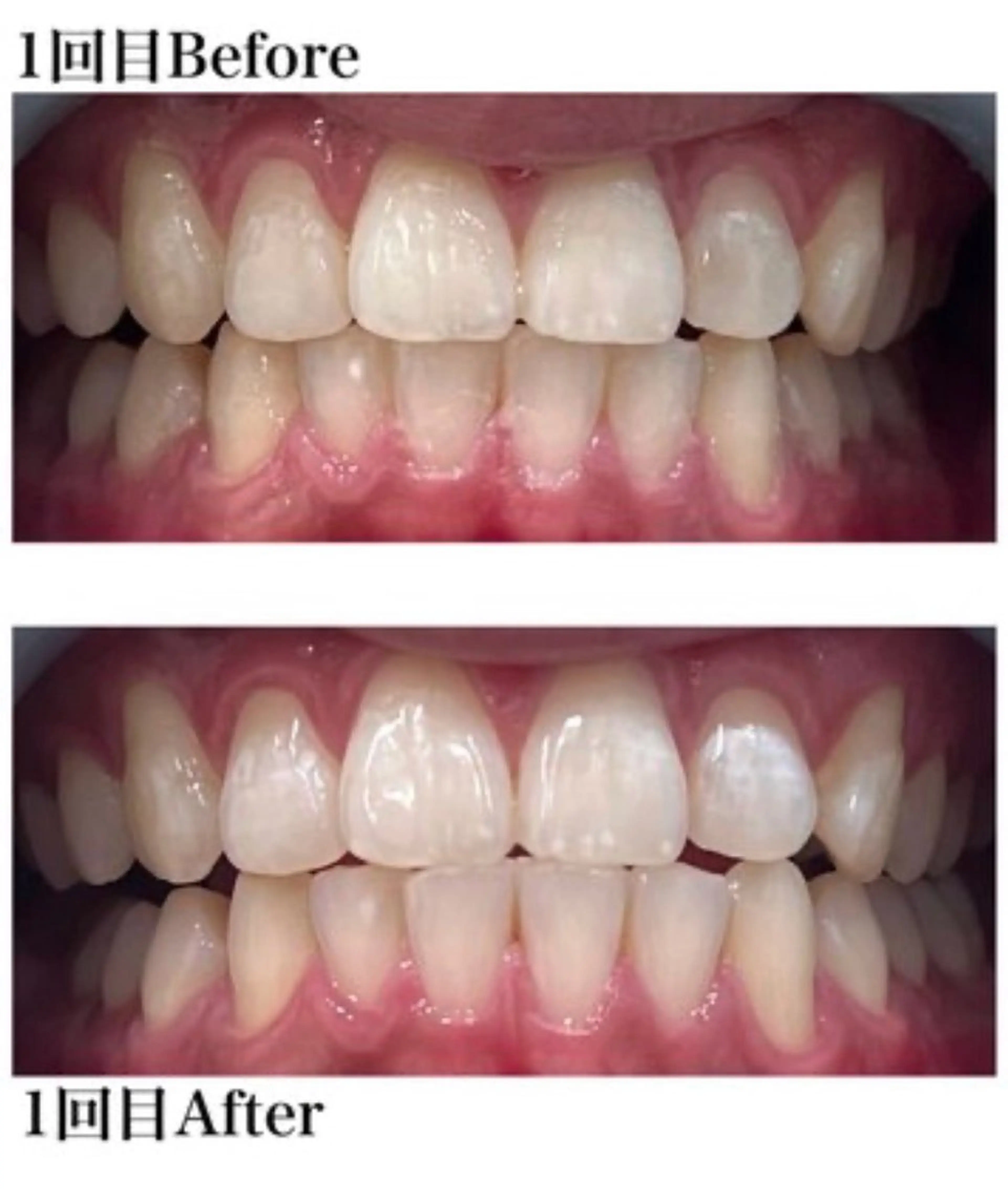
  7. 【アンケート内容】 Q.年…
ホワイトニング ショップ津店の掲載
星アイコン星アイコン星アイコン星アイコン星アイコン
5.0
レビューアイコン2
いいね65
津駅10分
更新

【アンケート内容】 Q.年…

その他 ホワイトニング ショップ津店のその他イメージ

【アンケート内容】 Q.年齢は? A.20代です。 Q.普段の生活習慣はどんな感じですか? A.コーヒーやお茶をよく飲みます。 Q.ご来店のきっかけは? A.歯の黄ばみが気になりホワイトニングをしてみたいと思ったからです。 Q.これまでの施術回数は? A.現在1回目です。 Q.初回で何トーンアップしましたか? A.初回で3トーンアップしました。 Q.現在の結果は? A.歯のトーンが上がり、以前より明るい印象になりました。 Q.ホワイトニング後、どんな心理の変化がありましたか? A.歯の色を気にせず笑えるようになりました。

対応メニュー

お試しホワイトニング🦷【平日のみ】15分✖️1回¥1660🎶の写真
  • その他

お試しホワイトニング🦷【平日のみ】15分✖️1回¥1660🎶

新規¥1,660
新規¥1,660
利用条件
平日のみ

美容サロンカタログ一覧

メニュー・料金

  • 【お昼割🕛】¥6980→¥2200🦷の写真
    • その他

    【お昼割🕛】¥6980→¥2200🦷

    新規¥2,200
    新規¥2,200
  • お試しホワイトニング🦷【平日のみ】15分✖️1回¥1660🎶の写真
    • その他

    お試しホワイトニング🦷【平日のみ】15分✖️1回¥1660🎶

    新規¥1,660
    新規¥1,660
    利用条件
    平日のみ
  • 【回数券お持ちの方】セルフホワイトニング次回予約用の写真
    • その他

    【回数券お持ちの方】セルフホワイトニング次回予約用

    リピーター¥0
    リピーター¥0
  • 【単発でご予約】来店2回目​〜​回数券お持ちでない方。セルフホワイトニング20分照射×2回の写真
    • その他

    【単発でご予約】来店2回目​〜​回数券お持ちでない方。セルフホワイトニング20分照射×2回

    リピーター¥6,980
    リピーター¥6,980
  • 【プレミアムコース✨】家族、友達、恋人とシェア可能!!セルフホワイトニング20分照射×50回の写真
    • その他

    【プレミアムコース✨】家族、友達、恋人とシェア可能!!セルフホワイトニング20分照射×50回

    全員¥65,000
    全員¥65,000

ホワイトニングショップ津店の詳細情報

  • ホワイトニングショップ津店の内観・外観1
  • ホワイトニングショップ津店の内観・外観2
  • ホワイトニングショップ津店の内観・外観3
ホワイトニングショップ津店
三重県津市羽所町517 ツツミビル3階 (地図)
津駅10分
エリア
津駅
営業時間
予約画面をご確認ください
席数
2席
駐車場
あり
禁煙・喫煙
禁煙
お子様連れ
お子様連れ可
サロン電話番号
お問い合わせ先