ログイン
美容室
美容室
ネイル
ネイル
マツエク
マツエク
眉毛サロン
眉毛サロン
エステ・リラク
エステ
カタログ
カタログ
トップ
美容サロン
東京
目黒区
エミルカ自由が丘
shimizu yuu
美容サロンカタログ
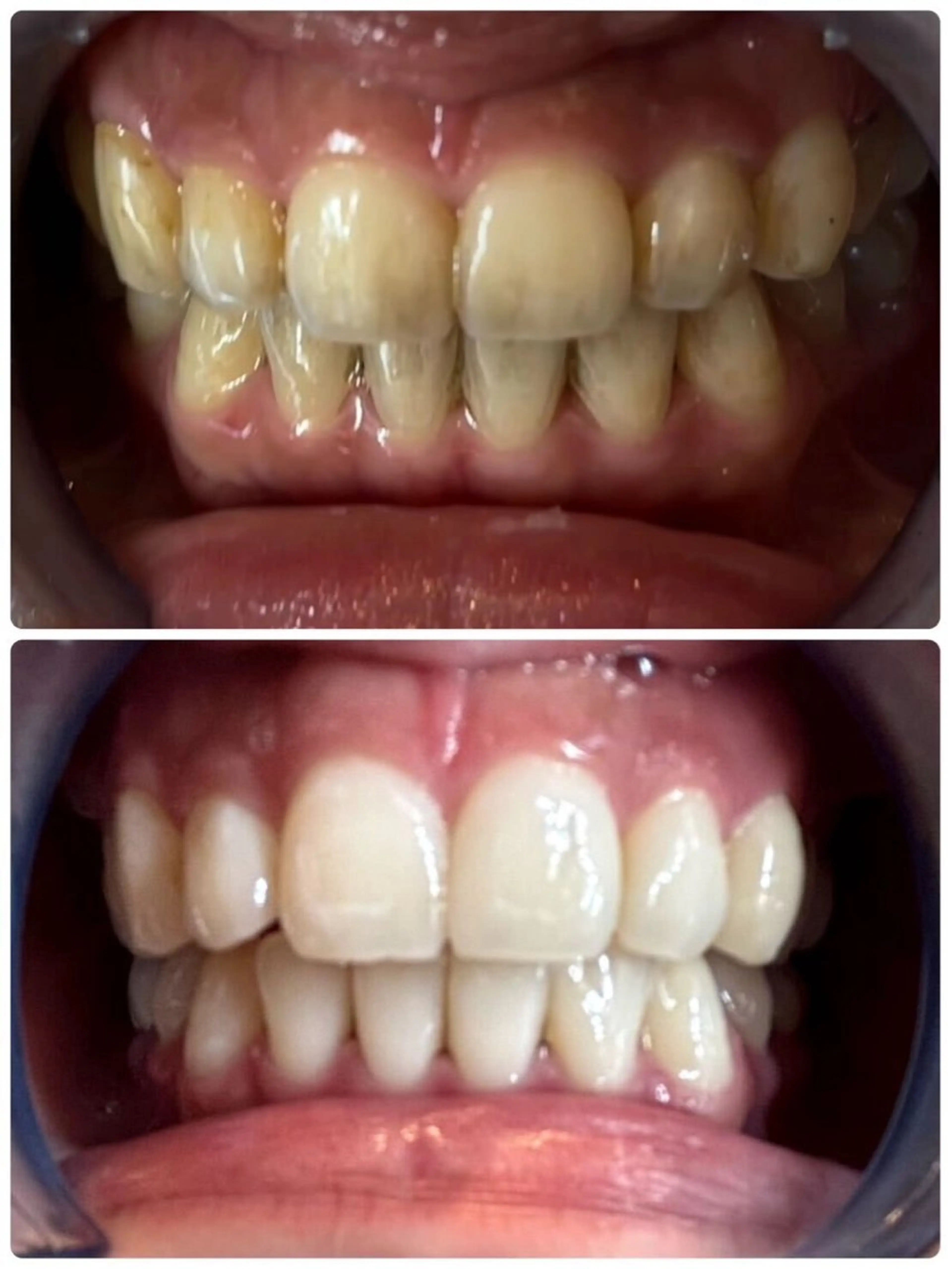
10回の変化!!歯のセルフホワイトニング🦷
エミルカ自由が丘
エミルカジユウガオカ
shimizu yuu
経験年数 7年
4.9
19
431
自由が丘駅5分
2025年12月4日
更新
仕上がり満足度が高い
95%のお客様が高い評価をつけています
サービス満足度が高い
95%のお客様が高い評価をつけています
トップ
フォト
メニュー
口コミ
10回の変化!!歯のセルフホワイトニング🦷 by shimizu yuu
10回の変化!!歯のセルフホワイトニング🦷
2025年7月10日(木)16:16投稿
shimizu yuuの美容サロンカタログ
フォトをすべて見る(249)
shimizu yuuのメニュー
現在予約を受け付けていません
ミニモ限定
その他
美しい歯へ✨医療提携薬品を使用し、効果が早く痛みのないホワイトニングです。お
全員
¥2,000
予約
全員
¥2,000
予約
ミニモ
限定
ミニモ限定特別価格でご案内 急ぎで綺麗な口元にしたい方へ。 オフィスホワイトニングの実力をお楽しみください。 お時間に来店いただけない場合、照射時間短縮となってしまいますのでお気をつけくださいませ。
ミニモ限定
エステ
リラク
ホワイトニングお試し3回コース「3回来店分」
新規
¥11,000
予約
新規
¥11,000
予約
ミニモ
限定
Google口コミ必須 3回来店分
エミルカ自由が丘の詳細情報
エミルカ自由が丘
東京都目黒区緑が丘
プライベートサロンのため、住所の詳細は予約確定後にメールでお知らせします
自由が丘駅5分
エリア
目黒区
営業時間
月 10:00-20:00 火 10:00-20:00 水 10:00-20:00 木 10:00-17:00 金 10:00-20:00 土 09:00-19:00 日 09:00-19:00 祝 09:00-19:00
お支払い
現金
現金可
クレジットカード
Mastercard / Visa / JCB / American Express
駐車場
なし
禁煙・喫煙
禁煙
お子様連れ
お子様連れ可
その他
メンズ歓迎
サロン電話番号
お問い合わせ先
shimizu yuu
フォト
メニュー
口コミ
目黒区で他におすすめの美容サロン一覧
明日行ける目黒区の美容サロン
メンズも歓迎な目黒区の美容サロン
ヘアセットができる目黒区の美容サロン
ヘッドスパができる目黒区の美容サロン
東京都で他におすすめの美容サロン一覧
明日行ける東京都の美容サロン
メンズも歓迎な東京都の美容サロン
ヘアセットができる東京都の美容サロン
ヘッドスパができる東京都の美容サロン