ログイン
美容室
美容室
ネイル
ネイル
マツエク
マツエク
眉毛サロン
眉毛サロン
エステ・リラク
エステ
カタログ
カタログ
トップ
エステ・リラク
栃木
下野市
whitening salon Shinee
セルフホワイトニング Shinee
エステ・リラクカタログ
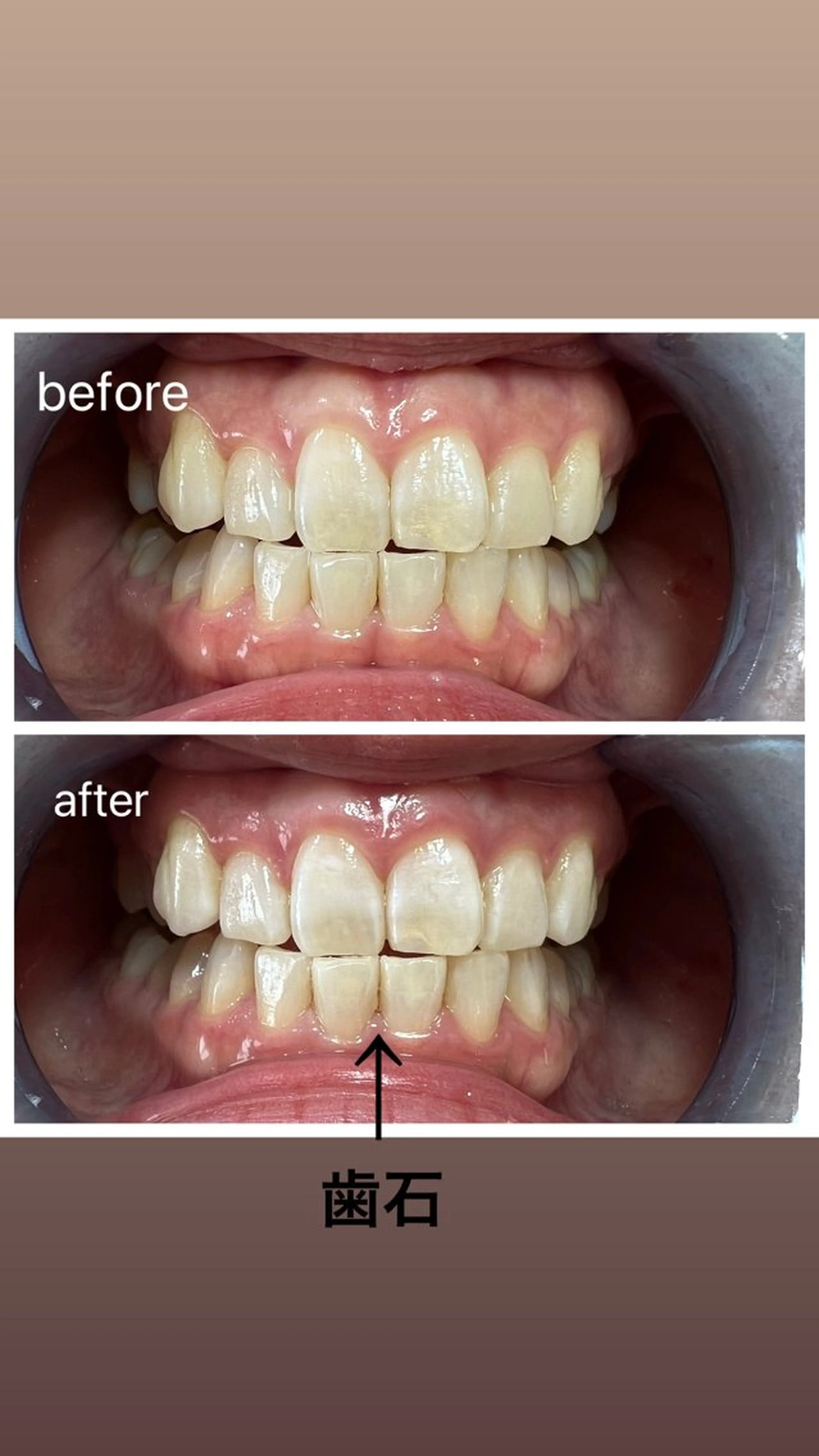
歯石は歯医者さんの🦷クリーニングで除去できます! ほっておくと歯茎が腫れてきたり、出血したりと歯肉炎
whitening salon Shinee
ホワイトニングサロンシャイニー
セルフホワイトニング Shinee
経験年数 5年
5.0
-
14
国谷駅20分
2025年10月4日
更新
トップ
フォト
メニュー
歯石は歯医者さんの🦷クリーニングで除去できます! ほっておく by セルフホワイトニング Shinee
歯石は歯医者さんの🦷クリーニングで除去できます! ほっておくと歯茎が腫れてきたり、出血したりと歯肉炎になります。歯肉炎が進行すると歯周炎に、なりますので早めに処置することが大切です✨
2025年2月2日(日)09:38投稿
セルフホワイトニング Shineeのエステ・リラクカタログ
フォトをすべて見る(70)
セルフホワイトニング Shineeのメニュー
エステ
初回限定ベーシックプラン
新規
¥3,500
予約
新規
¥3,500
予約
その他
ミニモ学割
新規
¥2,500
予約
新規
¥2,500
予約
その他
ママ応援プラン
新規
¥3,000
予約
新規
¥3,000
予約
whitening salon Shineeの詳細情報
whitening salon Shinee
栃木県下野市下長田
プライベートサロンのため、住所の詳細は予約確定後にメールでお知らせします
国谷駅20分
壬生Costcoから車で5分以内
エリア
下野市
営業時間
月 定休日 火 10:00-14:00 水 10:00-14:00 木 10:00-14:00 金 10:00-14:00 土 10:00-14:00 日 10:00-14:00 祝 10:00-14:00 不定休なので急遽お休みになる場合がございます。
お支払い
現金
現金可
クレジットカード
Mastercard / Visa / JCB / American Express / Diners Club / Discover
席数
1席
駐車場
あり
禁煙・喫煙
禁煙
お子様連れ
お子様連れ可
サロン電話番号
お問い合わせ先
セルフホワイトニング Shinee
フォト
メニュー
下野市で他におすすめのエステ・リラクゼーションサロン一覧
今日行ける下野市のエステ・リラクゼーションサロン
明日行ける下野市のエステ・リラクゼーションサロン
栃木県で他におすすめのエステ・リラクゼーションサロン一覧
今日行ける栃木県のエステ・リラクゼーションサロン
明日行ける栃木県のエステ・リラクゼーションサロン