
西鉄香椎駅1分 / 香椎駅3分 / 香椎宮前駅8分
更新
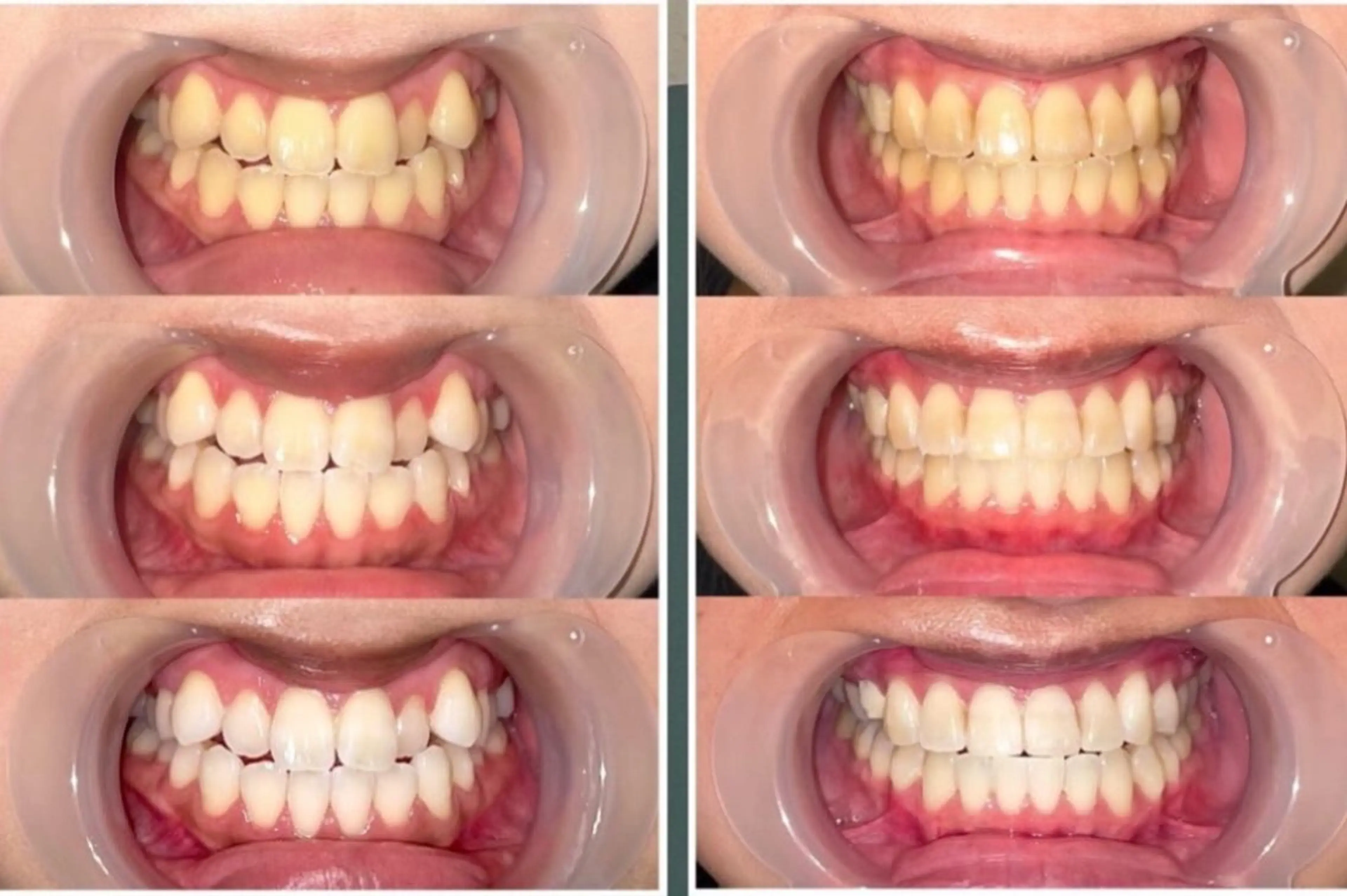
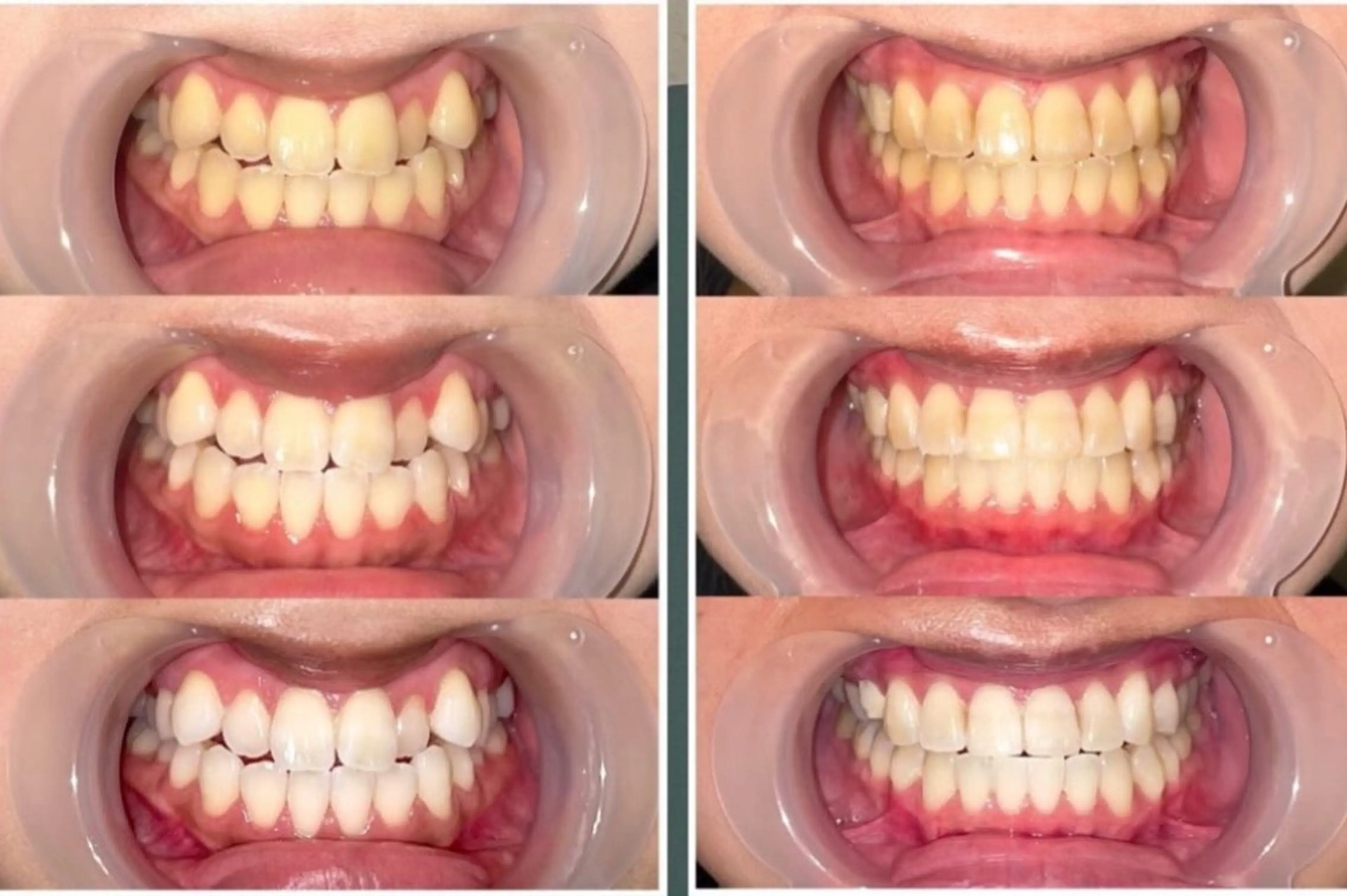
歯のセルフホワイトニング専門店GLOW(グロウ)所属・東区香椎歯のセルフホ ワイトニングGLOWの美容サロンカタログ
歯のセルフホワイトニング専門店GLOW(グロウ)の詳細情報
歯のセルフホワイトニング専門店GLOW(グロウ)
福岡県福岡市東区香椎駅前2-12-12 Glitter香椎駅前301 (地図)
西鉄香椎駅1分 / 香椎駅3分 / 香椎宮前駅8分
福岡銀行(香椎支店)横!キラキラ通り☆
JR香椎駅を出て2〜3分まっすぐ歩くと福岡銀行があるので越えて左に曲がってすぐのGlitter香椎駅前という3階建の黒い建物の301号です。
※敷地内に駐輪場あり→建物左側の空きスペースへ
※近隣にコインパーキングあり
タイムズ高架下第2(最安)
住所→東区香椎駅前2-12-12 301号
キラキラ通り福岡銀行横
- エリア
- 西鉄香椎駅
- 営業時間
- 月 10:00-20:00 火 10:00-20:00 水 10:00-20:00 木 10:00-20:00 金 10:00-20:00 土 09:30-17:00 日 09:30-17:00 祝 09:30-17:00 ※6月5日(水)より香椎駅前へ移転!以降のご予約は香椎駅前店となります! 香椎駅前2-12-12 301号福岡銀行よこ ホットペッパーにて予約可 Instagram→@SELF WHITE.GLOW
- お支払い
- 現金可Mastercard / Visa / JCB / American Express / Diners ClubPayPay
- 席数
- 3席
- 駐車場
- 近くにコインパーキングあり
- 禁煙・喫煙
- 禁煙
- お子様連れ
- お子様連れ可
- その他
- メンズ歓迎
- サロン電話番号
- お問い合わせ先















