ログイン
美容室
美容室
ネイル
ネイル
マツエク
マツエク
眉毛サロン
眉毛サロン
エステ・リラク
エステ
カタログ
カタログ
トップ
エステ・リラク
兵庫
神戸市長田区
NailBeauty marcher
エステ・リラクフォト
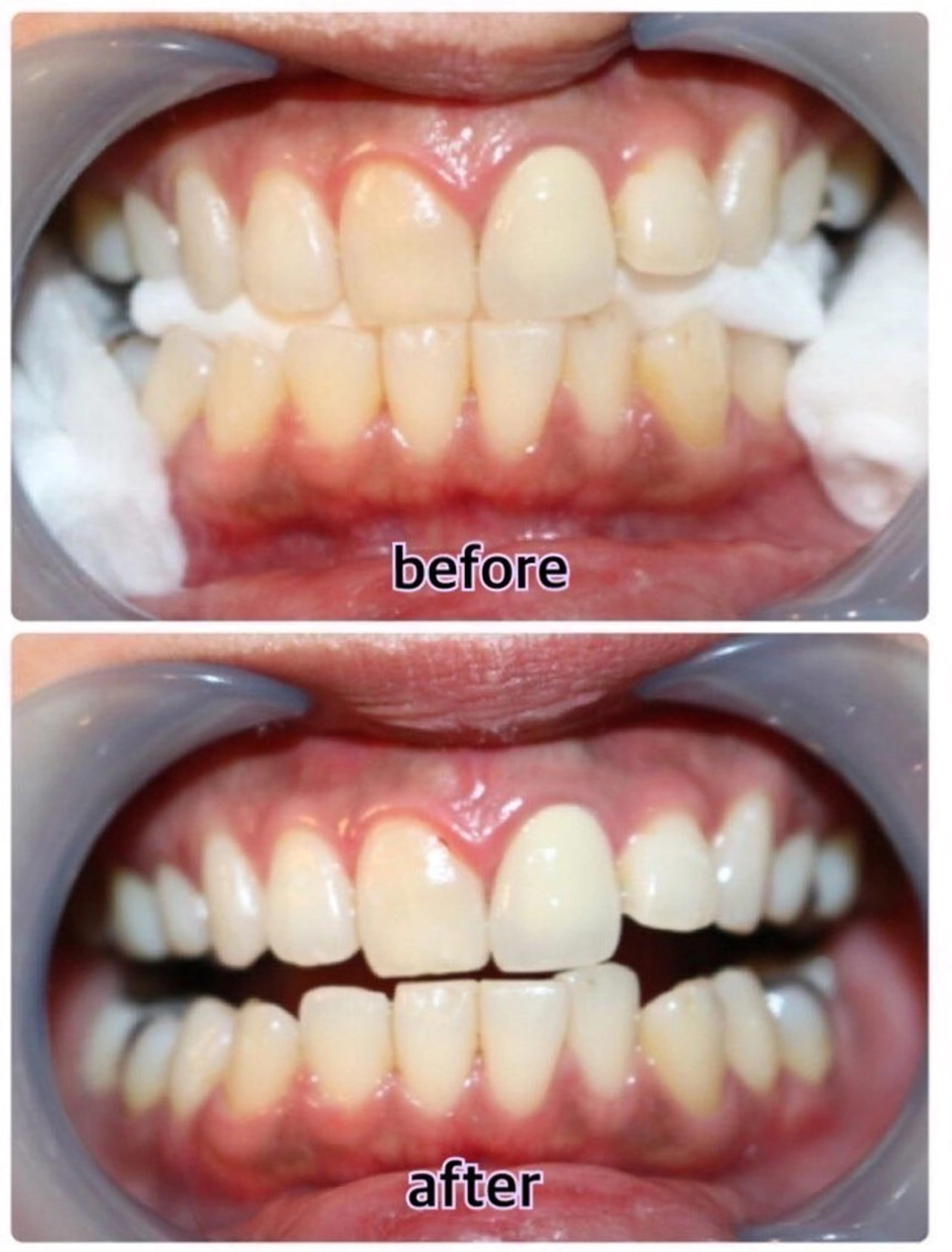
全体的にトーンアップされ、細かい汚れが取れました 歯がツルツルになったと喜んでいただけました! ※
Beauty Room marcher
NailBeauty marcher
経験年数 1年
5.0
1
7
鷹取駅2分 / 須磨海浜公園駅15分 / 新長田駅15分
2025年12月16日
更新
トップ
フォト
メニュー
口コミ
全体的にトーンアップされ、細かい汚れが取れました 歯がツルツ by NailBeauty marcher
全体的にトーンアップされ、細かい汚れが取れました 歯がツルツルになったと喜んでいただけました! ※お客様の一例です、個人差がございます
2023年10月25日(水)20:16投稿
NailBeauty marcherのエステ・リラクフォト
フォトをすべて見る(12)
NailBeauty marcherのメニュー
現在予約を受け付けていません
エステ
【新生活応援】〜フェイシャルケア〜15min
全員
¥2,200
予約
全員
¥2,200
予約
エステ
【新生活応援】〜セルフエステ〜15min
全員
¥2,200
予約
全員
¥2,200
予約
エステ
【アンケートにご協力いただける方限定】〜セルフホワイトニング〜30min
全員
¥2,200
予約
全員
¥2,200
予約
Beauty Room marcherの詳細情報
Beauty Room marcher
兵庫県神戸市長田区浪松町
プライベートサロンのため、住所の詳細は予約確定後にメールでお知らせします
鷹取駅2分 / 須磨海浜公園駅15分 / 新長田駅15分
鷹取駅から徒歩5分
エリア
神戸市長田区
営業時間
予約画面をご確認ください
お支払い
現金
現金可
駐車場
近くにコインパーキングあり
禁煙・喫煙
禁煙
その他
メンズ歓迎
サロン電話番号
お問い合わせ先
NailBeauty marcher
フォト
メニュー
口コミ
神戸市長田区で他におすすめのエステ・リラクゼーションサロン一覧
今日行ける神戸市長田区のエステ・リラクゼーションサロン
明日行ける神戸市長田区のエステ・リラクゼーションサロン
兵庫県で他におすすめのエステ・リラクゼーションサロン一覧
今日行ける兵庫県のエステ・リラクゼーションサロン
明日行ける兵庫県のエステ・リラクゼーションサロン