ログイン
美容室
美容室
ネイル
ネイル
マツエク
マツエク
眉毛サロン
眉毛サロン
エステ・リラク
エステ
カタログ
カタログ
トップ
美容サロン
東京
渋谷
神泉駅
M渋谷 ホワイトニング
フォト
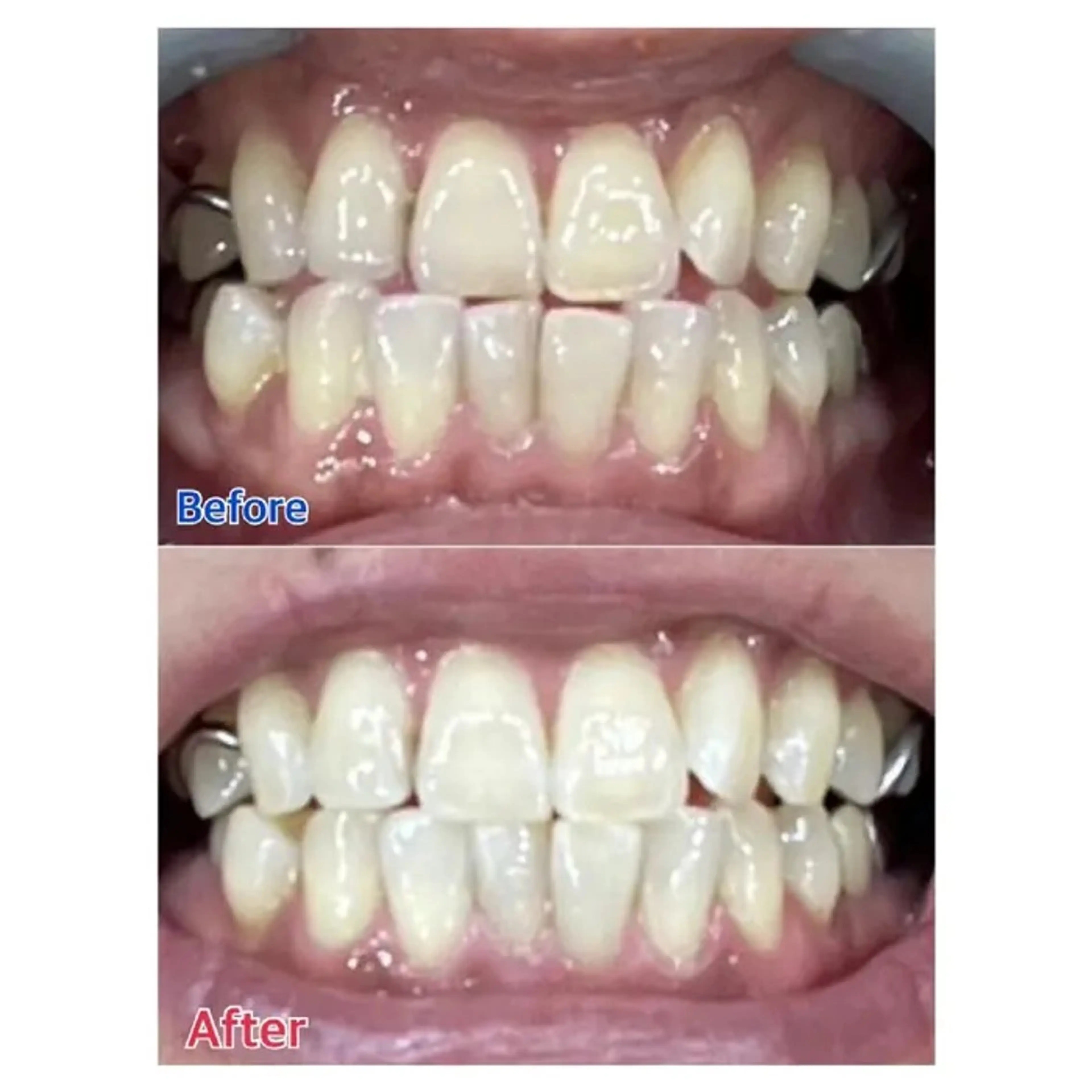
🦷お客様のビフォーアフターのお…
M渋谷店
M渋谷 ホワイトニング
経験年数 9年
4.8
91
1950
神泉駅2分 / 渋谷駅5分 / 駒場東大前駅15分 / 代官山駅18分
2026年4月30日
更新
仕上がり満足度が高い
90%のお客様が高い評価をつけています
サービス満足度が高い
90%のお客様が高い評価をつけています
トップ
フォト
メニュー
口コミ
🦷お客様のビフォーアフターのお…
🦷お客様のビフォーアフターのお写真です🦷
2024年7月21日(日)18:10投稿
美容サロンカタログ一覧
フォトをすべて見る(2437)
メニュー・料金
その他
☆初回限定☆学割!!1回でわかるホワイトニング体験コース🦷
新規
¥1,500
予約
新規
¥1,500
予約
その他
☆minimo限定☆学割!ホワイトニング体験ロングコース🦷!
新規
¥2,000
予約
新規
¥2,000
予約
ミニモ限定
その他
新メニュー【ホワイトラボ🫧】シミ・そばかす・肝斑でお悩みの方へ🌷※15分取り放題 ホワイトニング15分照射無料🎁
全員
¥33,000
予約
全員
¥33,000
予約
ミニモ
限定
施術料金33,000➕アフタークリーム13,200円 ⇨施術料金33,000円➕ホワイトニング15分無料プレゼント🎁🦷 一度の施術で気になるシミをケア🌱 7日後メラニンがポロッと剥がれます✨
ミニモ限定
エステ
リラク
5月限定!【研修生対応】陶肌ハーブピーリング 通常16,500円→3,300円※メッセージにてご予約確定
新規
¥3,300
予約
新規
¥3,300
予約
ミニモ
限定
ミニモ限定プランです!
利用条件
対象期間
04/30(木)〜05/31(日)
ミニモ限定
エステ
リラク
5月限定!【研修生対応】背中陶肌ハーブピーリング 通常16,500円→3,500円※メッセージにてご予約確定
新規
¥3,500
予約
新規
¥3,500
予約
ミニモ
限定
ミニモ限定メニューです!
利用条件
対象期間
04/30(木)〜05/31(日)
メニューをすべて見る(30)
M渋谷店の詳細情報
M渋谷店
東京都渋谷区円山町5-4 feelA SHIBUYA504 (
地図
)
神泉駅2分 / 渋谷駅5分 / 駒場東大前駅15分 / 代官山駅18分
エリア
神泉駅
営業時間
月 11:00-20:00 火 11:00-20:00 水 11:00-20:00 木 11:00-20:00 金 11:00-20:00 土 11:00-20:00 日 11:00-20:00 祝 11:00-20:00
お支払い
現金
現金可
クレジットカード
Mastercard / Visa / JCB / American Express / Diners Club / Discover
席数
2席
駐車場
近くにコインパーキングあり
禁煙・喫煙
禁煙
お子様連れ
お子様連れ可
その他
メンズ歓迎
サロン電話番号
お問い合わせ先
M渋谷 ホワイトニング
フォト
メニュー
口コミ
渋谷区で他におすすめの美容サロン一覧
明日行ける渋谷区の美容サロン
メンズも歓迎な渋谷区の美容サロン
ヘアセットができる渋谷区の美容サロン
ヘッドスパができる渋谷区の美容サロン
東京都で他におすすめの美容サロン一覧
明日行ける東京都の美容サロン
メンズも歓迎な東京都の美容サロン
ヘアセットができる東京都の美容サロン
ヘッドスパができる東京都の美容サロン
M渋谷店付近の駅の美容サロンを探す
神泉駅
渋谷駅
駒場東大前駅
代官山駅
中目黒駅
代々木八幡駅