姫路・加古川で明日予約できる美容サロン

ラ・ソール ヘアー山本 知佳
経験年数 6年/メンズ歓迎
サービス満足度が高い
当日予約大歓迎🙆♀️💗駐車場あります🚗 周りから褒められる透明感カラー 暖色カラーが得意です♡初めての方でも安心😊丁寧な接客を心がけています!
\\数ある募集の中からご覧頂きありがとうございます😊//LasolHAIRでスタイリストしています山本知佳(やまもとちか)です🌱𓂃𓈒𓏸技術向上のためカラーモデルカットモデルを募集しております☺️365日キレイで可愛くいていただくために、1人1人しっかりカウセリングさせていただいていただいています🌷頭皮や髪のお悩みやご希望イメージをお伺いし、お客様に合ったヘアスタイルのご提案やアドバイスができるようお客様に寄り添いながら丁寧に施術させていただきます😊✨右上のお気に入り♡を登録していただくと、ご予約されてなくても質問等...

Leyシェアサロンドライ カット✂️髪質改善
経験年数 10年以上/メンズ歓迎
サービス満足度が高い
🌟💡30代40代50代のうねり・広がり・白髪悩みに🌟乾かすだけでまとまるドライカットと髪質改善が得意❣️仕事帰りの夜予約もご相談ください☺️
30代40代50代のうねり・広がり・白髪悩みに対応しています。乾いた状態でクセを見ながら整えるエフィラージュドライカットで、乾かすだけでまとまりやすい上品ヘアをご提案します。水素カラーや髪質改善カラーも人気です。🌟得意な施術:大人女性のうねり・広がり・ボリューム不足に対応したドライカットが得意です。ショート、ボブ、レイヤー、髪質改善カラー、地毛風ストレートで朝がラクな艶髪へ。🌟Leyシェアサロン様の店舗にて場所をお借りしております🌟JR姫路駅徒歩5分Leyシェアサロン様兵庫県姫路市東駅前町88‐102ミニモからの...

東洋エステToyou-beauty東洋エステサロン 姫路
経験年数 10年以上
エステが好評
完全個室🌈冷え・むくみ・女性特有の悩み肩こりなどをオールハンド経絡リンパで、しっかり解消💕健康で美しい体に導く!体の自然治癒力を最大限引き出し、体質UP★体の不調を解消、免疫力UP💫美容の維持等
公式HPhttps://touyoubeauty.wixsite.com/himeji当店は東洋医学の「経絡」と西洋医学の「リンパ」技術を合わせて、自然治癒力を最大限に引き出し、体を健康で美しい状態に導いて、病気の予防や美容の維持、ダイエット等の健康維持が可能となります💕🍀経絡リンパマッサージとは、東洋医学の「経絡」と西洋医学の「リンパ」を融合することにより、人のエネルギーの流れである経絡上にある経穴(ツボ)を刺激しながらリンパを流していくため様々な症状や状態により処方を加え根本的な原因や体質UPしていく施術法に...

美容整体サロン 哲心吉田 康晃
経験年数 1年/メンズ歓迎
姫路駅から車で10分🚗完全予約制のマンツーマン😃即効性&持続効果で毎日鏡を見るのが楽しくなる🙆小顔・ヒップアップ・美脚・くびれ作り・姿勢美人など、美と健康を根本からトータルで作ります🙆♀️
・10分以上かけたカウンセリングで、お客様の悩みの原因を探します😌・ボードや模型を使い、悩みの原因や、理想の身体になるにはどうしたら良いか、お伝えします🙆♀️・施術前後で、お身体の状態を確認しますので、より変化を体感できます👌・施術後の効果をより継続するには、お客様の日々の過ごした方が大切になります。生活時のポイントやエクササイズなど、個別サポートします👍・無理な食事制限や激しい運動なく、小顔・スタイルの良い身体に♪・お客様が他の方の目や声を気にせず、安心して施術を受けていただく為に、完全予約制のマンツーマンとなって...

脱毛・痩身専門サロンLYN【リン】脱毛・痩身専門サロン LYN【リン】
経験年数 5年/メンズ歓迎
サービス満足度が高い
本日空き〇🌿リーズナブルな価格🌿姫路城🏯近くでアクセス◎🌿お仕事帰りでも通いやすい🌿気になった方は、ぜひ一度無料カウンセリングへお越しくださいね!当日予約もOK
脱毛・痩身専門サロンLYN【リン】JR姫路駅から北へ徒歩8分山陽山陽北へ徒歩7分脱毛やエステは高いイメージがあり、行ってみたいけど一歩踏み出せない方も多いのではないでしょうか。そんな方はぜひLYNへお越しください!価格はリーズナブルだけど効果をしっかり実感していただけるメニューばかりです✨【メニュー】〇脱毛〇痩身エステ〇フェイシャル各種○ベッドマッサージ【脱毛】脱毛を経験したことない方は、痛いというイメージをもたれている方も多いと思います!安心して下さい✨LYNの脱毛は本当に痛みが少ないです!多くの方から痛みが少...

姫路けいあい鍼灸整骨院杉本 慧
経験年数 10年以上/メンズ歓迎
[当日OK]話題沸騰中の美容鍼で内面から健康で美しいお肌づくりをサポート💗令和2年11月12日OPEN✨完全個室😆🌟駐車場完備🚗
より多くの方に当院を知ってもらうために!全メニューミニモ価格でお試しできます✡✡美容鍼をする事で肌のターンオーバーを正常に戻し、自然治癒力を最大に引き出すことで内面から健康で美しい肌に😍💕✔しみ、シワ、ほうれい線が気になる✔顔のむくみを取りたい✔小顔になりたい✔化粧のりを良くしたい✔肌が荒れているこんなお悩みがある方に大人気の美容鍼✨✨⭐美容鍼の効果⭐顔全体の引き締め血流が良くなる肌のハリ・ツヤアップターンオーバーを整える💪今話題のEMS💪EMS(神経筋電気刺激療法)は筋肉や運動神経に電気刺激を与えて筋肉を収縮さ...

エクシアホワイト姫路店浦野 希悠
アシスタント/研修歴 1年/メンズ歓迎
店舗数No.1のセルフホワイトニングサロン✨👑月額¥11,000で何度でも通い放題🍀⏳施術時間は30分!スキマ時間や仕事終わりにいけます🎶(初回のみ60分)
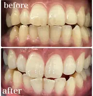
エクシアセルフホワイトニング📍姫路駅から徒歩6分✨🕊️話題の自社高性能機材・溶剤を使用🕊️セルフホワイトニングが初めての方や、お痛みが苦手な方も安心してお手入れできます🦷🌷エクシアが選ばれる3つの理由🌷💫質の高い機材溶剤を使うことで得られる確かな実感歯科業界でも注目されているポリリン酸という強力な美白成分を高配合することで、他のサロンの溶剤と比較して圧倒的に粘度が高く、一回の施術でも効果をはっきりと感じられる溶剤を使用しています。圧倒的効果実感で納得の仕上がり!💫痛みがなく30分でお手軽にセルフホワイトニング歯医者と...

ホワイトニングサロン Clearホワイトニングサロン Clear
経験年数 3年
JR姫路駅から徒歩3分!セルフホワイトニング専門店🦷✨最安/最短でお仕上げ☀️気になる黄ばみや汚れ/お悩みの解決!まずは初回限定⭐︎特別価格でご体験ください✨✨
気になる黄ばみや汚れを落としませんか?〜ホワイトニングサロンClearの魅力〜・JR姫路駅徒歩3分🚶・国内No.1ホワイトニングブランド最先端マシン導入💎・Clear独自の細かなこだわり工程🌿・初めてでも安心!スタッフがしっかり説明✨・都度払い、回数券、通い放題プランでライフスタイルに合わせて選べる!・2回目以降も2,200円〜とエリア最安値👛・男性女性ともに大歓迎💡お仕事帰り買い物ついでにも◎Clear独自のこだわりの工程で圧倒的白さへと導きます✨✨
- 1






























































































































































































