

coco whitening&Beauty阿部 香織
経験年数 10年以上

coco whitening&Beauty所属・阿部 香織のメニュー
- 最短予約可能日
- 2/5 (木)
- 2/6 (金)
- 2/7 (土)
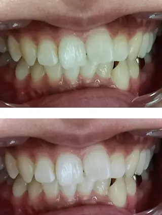
coco whitening&Beauty所属・阿部 香織のフォト
coco whitening&Beauty所属・阿部 香織の口コミ
仕上がり・技術
5.0コミュニケーション・サービス
5.0ミニモでの対応
5.0
- 掲載者がピックアップ

shunさんの口コミ
男性 / 30代前半
丁寧な対応及び施術でとても満足でした。 歯の色も目に見えて変わるのでやりがいがありました!
来店日:2025年10月26日
阿部 香織さんからの返信
この度はご来店いただき、また嬉しい口コミをありがとうございます。 1回で効果を実感していただけてとても嬉しいです✨ 今後もご満足いただけるよう丁寧な施術を心がけてまいります。 回数券のご購入もありがとうございました。 またのご来店をお待ちしております😊
返信日:2025年10月26日 
ももさんの口コミ
女性 / 20代前半
正直一回では効果ないだろうという気持ちで行ったのですが前と後の写真を見比べて効果がわかってとても良かったです!接客含め室内の雰囲気もよくて絶対また行きます!
来店日:2026年1月31日
阿部 香織さんからの返信
この度はご来店、そして嬉しい 口コミをありがとうございます。 最初は「1回では分からないかも」と思われていた中で、施術前後のお写真で変化を感じていただけてとても嬉しいです。 接客や店内の雰囲気についてもお褒めの言葉をいただき、励みになります。 リラックスしてお過ごしいただける空間作りを大切にしております。 是非またお気軽にお越しくださいね。 次回のご来店も 心よりお待ちしております。
返信日:2026年1月31日
Nさんの口コミ
女性 / 30代前半
場所も迷わず行けて、自宅でやられているのでアットホームです(*^▽^*) そしてとても親切で話しやすく色々聞いてくれたりアドバイスもくれてよかったです✨ 初めてのホワイトニングで痛くもなく、1回目ですが少し白くなりツヤがでました!! 何回か続けると白くなるので通おうと思います! ホームケアも頑張ります!!
来店日:2025年10月12日
阿部 香織さんからの返信
この度はご来店・嬉しい口コミをありがとうございます。効果を実感していただけてとても嬉しいです✨ 今後もリラックスして通っていただけるよう、丁寧な施術を心がけてまいります。またのご来店をお待ちしております😊
返信日:2025年10月22日
coco whitening&Beauty所属・阿部 香織のアピールポイント
つくば発のトータル美サロン【coco whitening&Beauty】🦷✨歯科衛生士による安心サポートで、結果にこだわるホワイトニング&肌ケアを提供。40代女性の“美容迷子”を卒業へ導きます。
【1】サロン紹介・想い coco whitening&Beautyは、歯科衛生士が始めたセルフホワイトニング専門店から生まれた「トータル美サロン」です。 歯の白さだけでなく、肌・心・体のすべてを整える“根本美容”をテーマに、結果重視の施術をご提供しています。 つくば市の静かな住宅街にあるプライベートサロンで、ゆったりとリラックスしながら自分を大切にできる時間をお過ごしいただけます。 「歯が白くなると笑顔が増える」「肌が綺麗になると気持ちが明るくなる」 そんな小さな変化を積み重ねて、自信を取り戻してほしい。 この想いを大切に、一人ひとりに寄り添った施術と空間づくりを行っています。 【2】オーナー紹介 オーナーは国家資格を持つ歯科衛生士。 歯科での勤務経験を活かし、口元の健康から全身の美しさへと繋がるアプローチを行っています。 「自分の経験を通じて、忙しい方が安心して通える場所を作りたい」 そんな想いでサロンを立ち上げ、現在ではホワイトニングだけでなく、耳つぼジュエリー・黄土よもぎ蒸し・TIPハーブピーリングなど多彩なメニューを展開しています。 【3】コンセプト 当サロンのテーマは「自然美 × 健康美 × 再生美」。 無理に隠す・塗る・削るのではなく、“自分の本来の美しさを引き出す”ことを目指しています。 歯科衛生士としての安全性へのこだわりと、結果にこだわる美容施術の融合が特徴です。 完全予約制・1対1施術で、初めての方も安心してご利用いただけます。 【4】メニュー詳細 ■セルフホワイトニング 歯科衛生士が監修したセルフホワイトニング。 特殊LEDライトと専用ペーストを使用し、短時間で歯本来の白さを引き出します。 痛み・しみ・人工漂白剤なしで、自然な透明感ある白さに。 初回¥2,980〜のお試しメニューも人気です。 継続で「笑顔が明るくなった」「マスクを外すのが楽しみになった」と好評です。 ■耳つぼジュエリー 耳のツボを刺激しながら、スワロフスキーのジュエリーで可愛く健康ケア。 ダイエット・小顔・リフトアップ・リラックスなど、目的に合わせて施術します。 見た目の華やかさと即効性の両立が魅力。 「ピアスができない方でも楽しめるアクセサリー感覚の美容」として、10代〜50代まで幅広く支持されています。 ■黄土よもぎ蒸し 身体を芯から温め、デトックス&女性バランスを整える韓国伝統の温活法。 当サロンでは国産無農薬よもぎを使用し、黄土座器でじんわり発汗。 冷え・むくみ・生理痛・肌荒れ・睡眠の質などにアプローチ。 施術後は「全身スッキリ」「汗がサラサラ」「肌ツヤが良くなった」との声も。生理後のケアにもおすすめです。 ■TIPハーブピーリング(剥離あり/なし) いま最も注目されている再生美容メニュー。 植物由来の天然ハーブを肌に浸透させ、ターンオーバーを促進。 剥離なしタイプはダウンタイムが少なく、敏感肌でも安心。 剥離ありタイプは、しっかりと肌再生を促し、毛穴・シミ・ニキビ跡・ハリツヤUPに効果的。 歯科衛生士ならではの清潔・衛生管理のもと、結果重視でお客様の肌質に合わせてご提案します。 【5】人気セットメニュー例 ・TIPハーブピーリング+よもぎ蒸し(美肌・体調UP) ・ホワイトニング+耳つぼ(顔の印象UPコース) ・ブライダルプラン(口元・肌・心を整える総合ケア) 【6】お客様の声 ・「初めてでも丁寧に説明してくれて安心」 ・「1回で肌が明るくなった!」 ・「自分のペースで通えるのが良い」 ・「ママ友にも紹介したいサロン」 ・「家族や彼に褒められた」 口コミでの評価が高く、リピーター率も80%以上。 施術後は、写真を撮りたくなるほど変化を実感いただけます。 【7】よくある質問(Q&A) Q. 初めてでも大丈夫ですか? → もちろん大丈夫です。施術前にカウンセリングを行い、体質や目的に合わせてご提案します。 Q. 子連れでも大丈夫? → 完全プライベート空間のため、お子様連れでも安心してご利用いただけます。 Q. どのくらいの頻度で通えばいい? → ホワイトニングは4回目までは約2週間に1回(4回目で歯の白さが定着する為)、その後はメンテナンスで月1回、ハーブピーリングは月1回が目安です。 よもぎ蒸しは週1〜2回が理想的です。 【8】サロンのこだわり ・完全予約制・1対1施術 ・プライベート空間 ・清潔で落ち着いたインテリア ・結果と安心を両立した美容機器 ・駐車場完備/アクセス便利(つくば市谷田部エリア) 【9】アクセス 📍つくば市谷田部2417-97(陣場F7街区6) 🚗 駐車場1台完備 🕒 営業日:木・金・土・日10:00〜18:00(最終予約17:00) 💬 ミニモ・ホットペッパーから24時間予約OK 【10】SNS・情報発信 Instagramでは施術動画・BeforeAfter・お客様の声を更新中。 LINE公式では限定クーポンや最新予約情報を配信。 ホットペッパービューティー・アメブロも連携して情報を発信しています。 【11】最後に 美容は「一瞬の変化」ではなく「積み重ねの自信」。 coco whiteningは、あなたが自分をもっと好きになるための場所です。 歯の白さも、肌の透明感も、心の明るさもすべて繋がっています。 忙しい日常の中で“自分を整える時間”を、ここで過ごしてみませんか? 🕊️ あなたの「なりたい」を叶えるために、全力でサポートします。 どんな小さなお悩みでもお気軽にご相談ください。
coco whitening&Beauty所属・阿部 香織のプロフィール
歯科衛生士歴20年がサポートするプライベートサロン「coco whitening🌿」つくば市谷田部(陣場)にてホワイトニング・耳つぼジュエリー・黄土よもぎ蒸し・ハーブピーリングを行っています。安心・丁寧なカウンセリングで初めての方も大歓迎✨男性・お子様連れOKのサロン。
- 得意な施術
- メンズフェイシャル、よもぎ蒸し、エイジングケア、むくみケア、ハリツヤUP、ニキビケア、毛穴ケア、ピーリング、ブライダルエステ
- 施術について
- 歯科衛生士が行うセルフホワイトニングサロンです🦷 初めての方も安心の丁寧サポート✨ 黄土よもぎ蒸し3500円・耳つぼジュエリー2500円・ハーブピーリング9900円・デンタルエステなど美容と癒しのメニューも充実🌿 内側からも外側からもキレイをサポートします。
- 趣味・好きなこと
- ショッピング・旅行
- 資格・役職
- ホワイトニングアドバイザー
- 性別
- 女性


















