

経験年数 10年以上
みどりの駅20分
更新

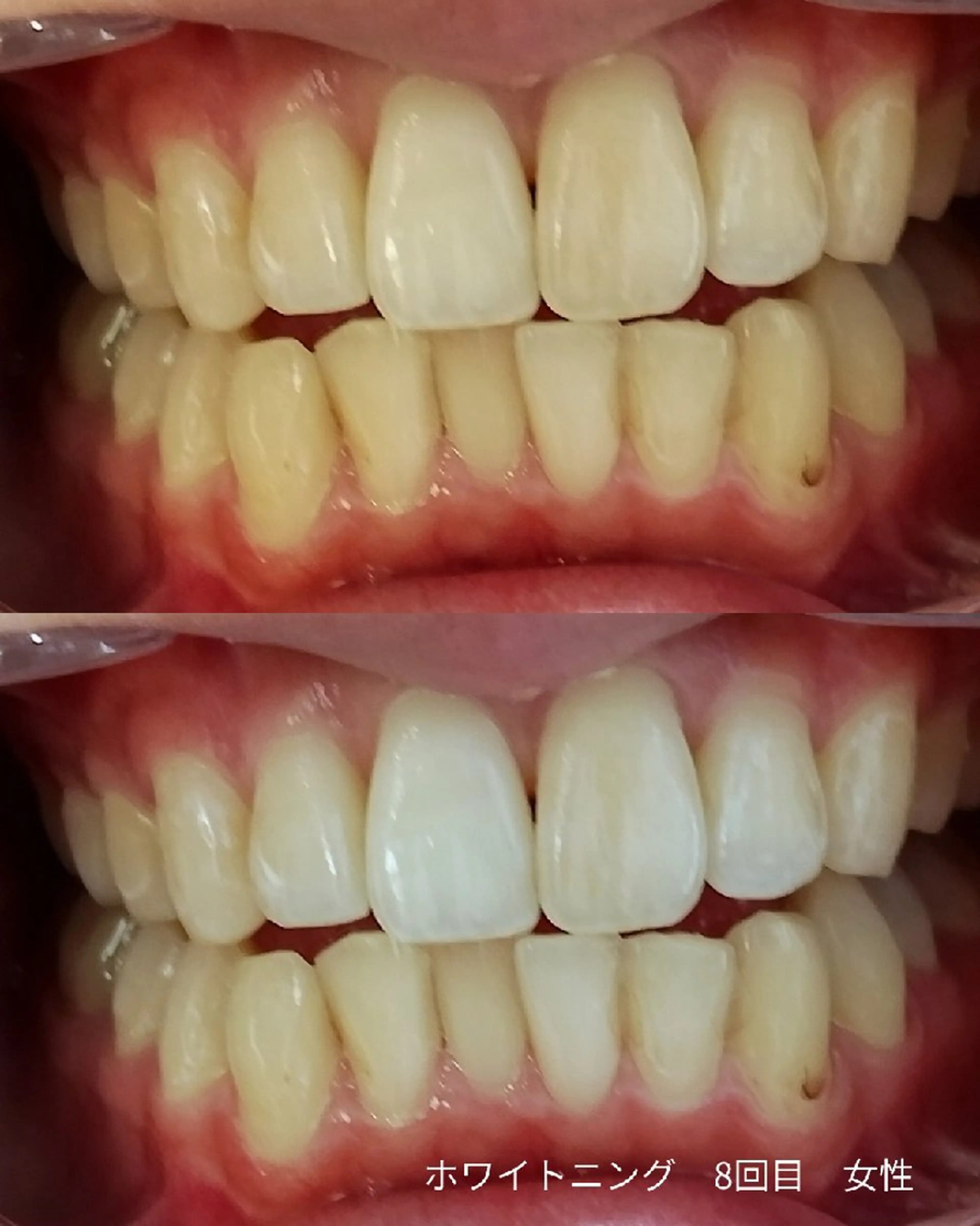
coco whitening&Beauty所属・阿部 香織のエステ・リラクフォト
coco whitening&Beautyの詳細情報
coco whitening&Beauty
茨城県つくば市谷田部2417-97(陣場F7街区6) (地図)
みどりの駅20分
つくばエクスプレスみどりの駅から車約5分・徒歩約20分。
みずほ団地入口セブンイレブンをみずほ団地方向に行き、白とグレーの四角い家です。
サロンの真向かいに飯塚モーターさん(車屋)があり、美容室FEETさんの隣が自宅サロンです。
サロン看板が外に出ています。
自宅敷地内に1台駐車できます。















