
新越谷駅1分 / 南越谷駅3分
更新
対応メニュー
新規¥4,980
メニュー・料金
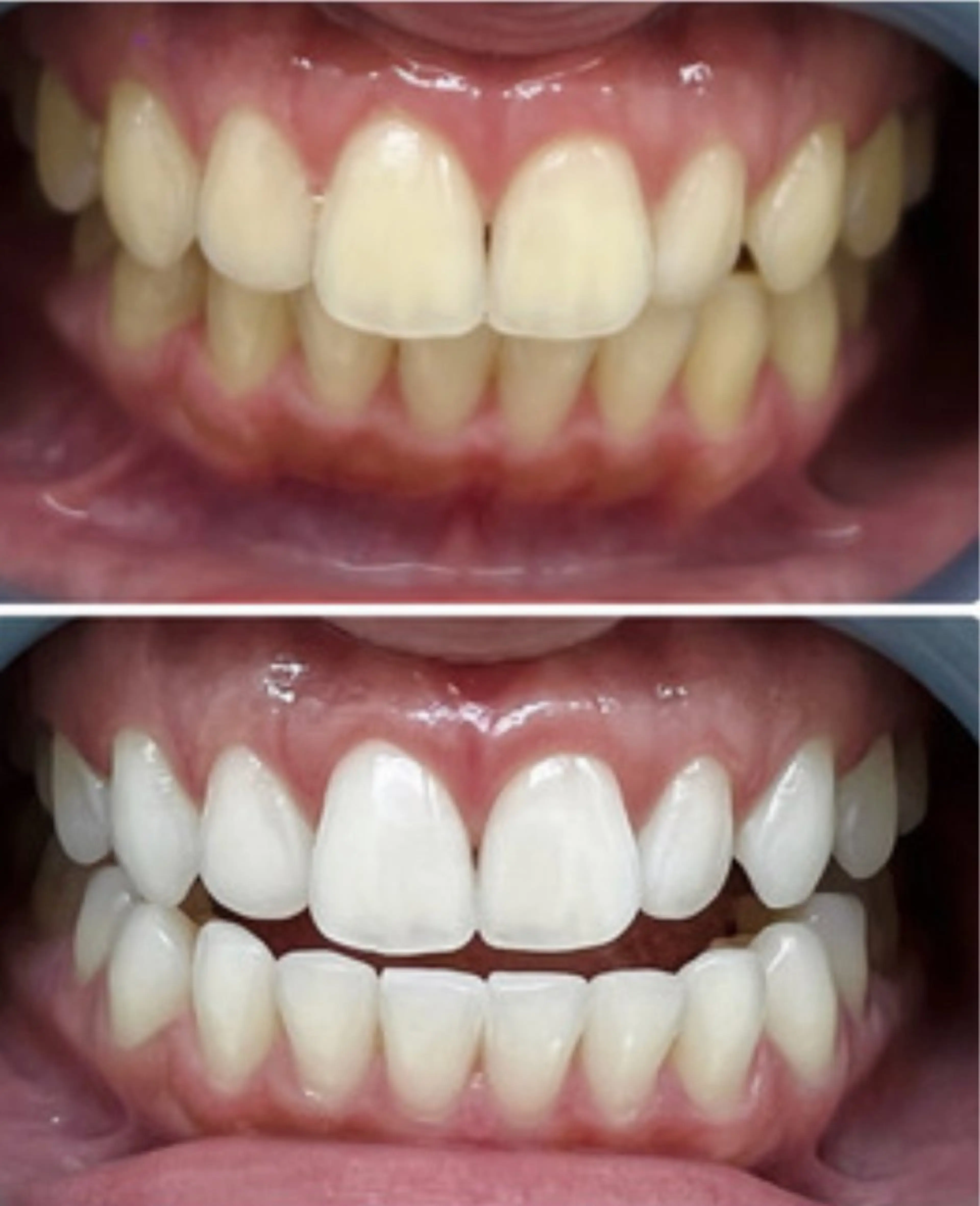
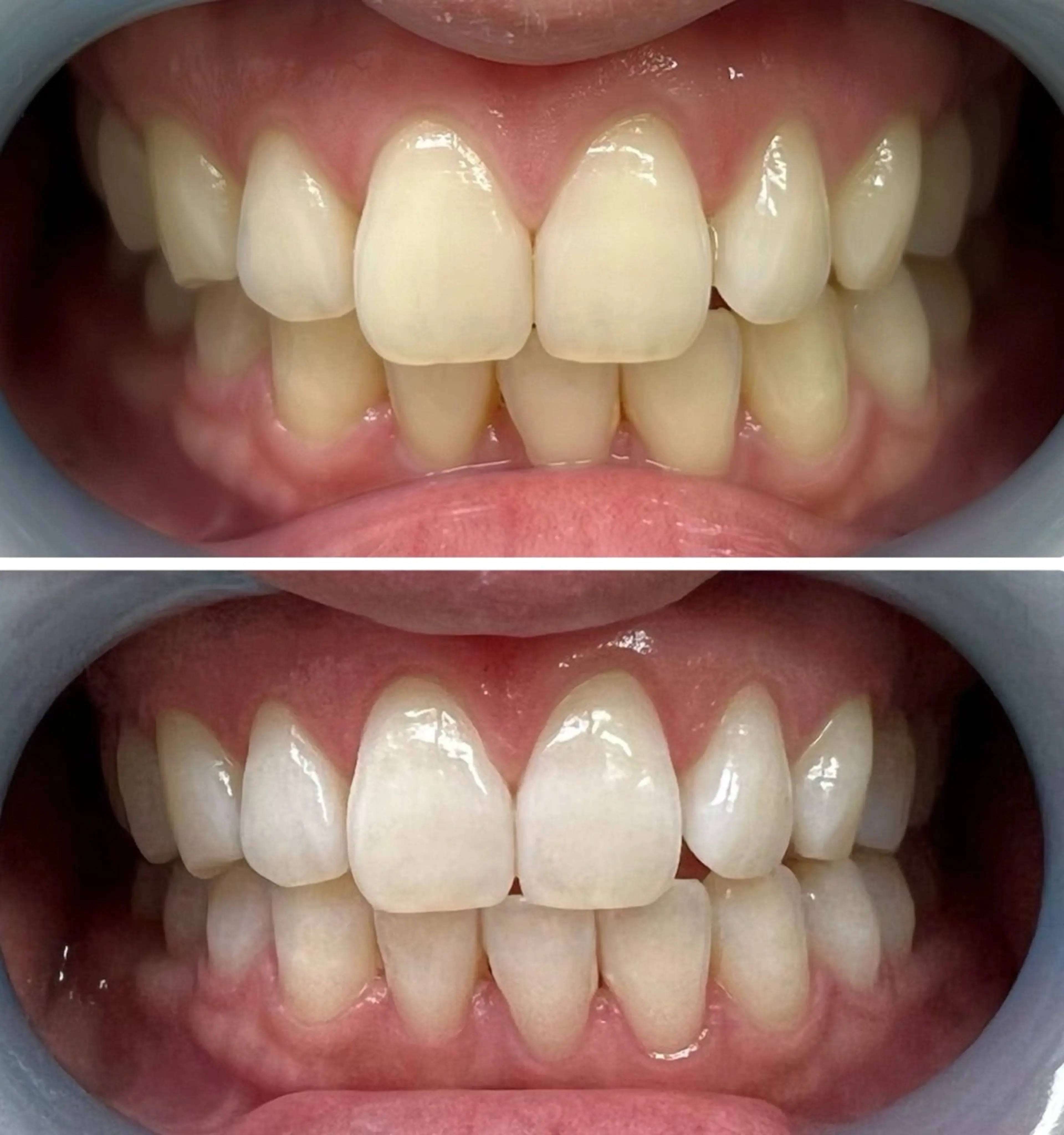
セルフホワイトニングサロンMW 新越谷店の詳細情報
セルフホワイトニングサロンMW 新越谷店
埼玉県越谷市南越谷4-9-6 新越谷プラザビル501 (地図)
新越谷駅1分 / 南越谷駅3分
新越谷駅西口のロータリーを渡り、駅正面に見える
カラオケBanBanさんの隣にある新越谷プラザビル(1階に不動産屋さん)ビルを正面に見て左手の通路を進んでいただき、エレベーターに乗り5階へ
降りたら右手正面に501号室
当店セルフホワイトニングサロンMW 新越谷店がございます。





