
セルフホワイトニングサロンMW 新越谷店所属・セルフホワイトニング サロンMW新越谷店のメニュー
セルフホワイトニングサロンMW 新越谷店所属・セルフホワイトニング サロンMW新越谷店の口コミ
仕上がり・技術
5.0コミュニケーション・サービス
5.0ミニモでの対応
5.0

ひなさんの口コミ
女性 / 20代前半
ご丁寧に対応していただき、スムーズに施術に進むことが出来ました! そして、スタッフの方の説明も分かりやすく丁寧だった為セルフでも安心してできました! また通いたいと思いました!
来店日:2025年5月9日
セルフホワイトニング サロンMW新越谷店さんからの返信
日南様 本日は、セルフホワイトニングサロンMW新越谷店ご利用いただきありがとうございました。安心して施術していただけて良かったです。またお会いできる日を楽しみにしております♪ この度は 高評価 嬉しいお言葉ありがとうございました♪
返信日:2025年5月9日
セルフホワイトニングサロンMW 新越谷店所属・セルフホワイトニング サロンMW新越谷店のアピールポイント
ホワイトニング専門店🦷✨最安/最長照射/最短でお仕上げ☀️気になる黄ばみや汚れ/お悩みの解決/理想の実現はMW新越谷店にお任せ下さい。まずは、初回コースで驚きと感動をご体験下さい🫨
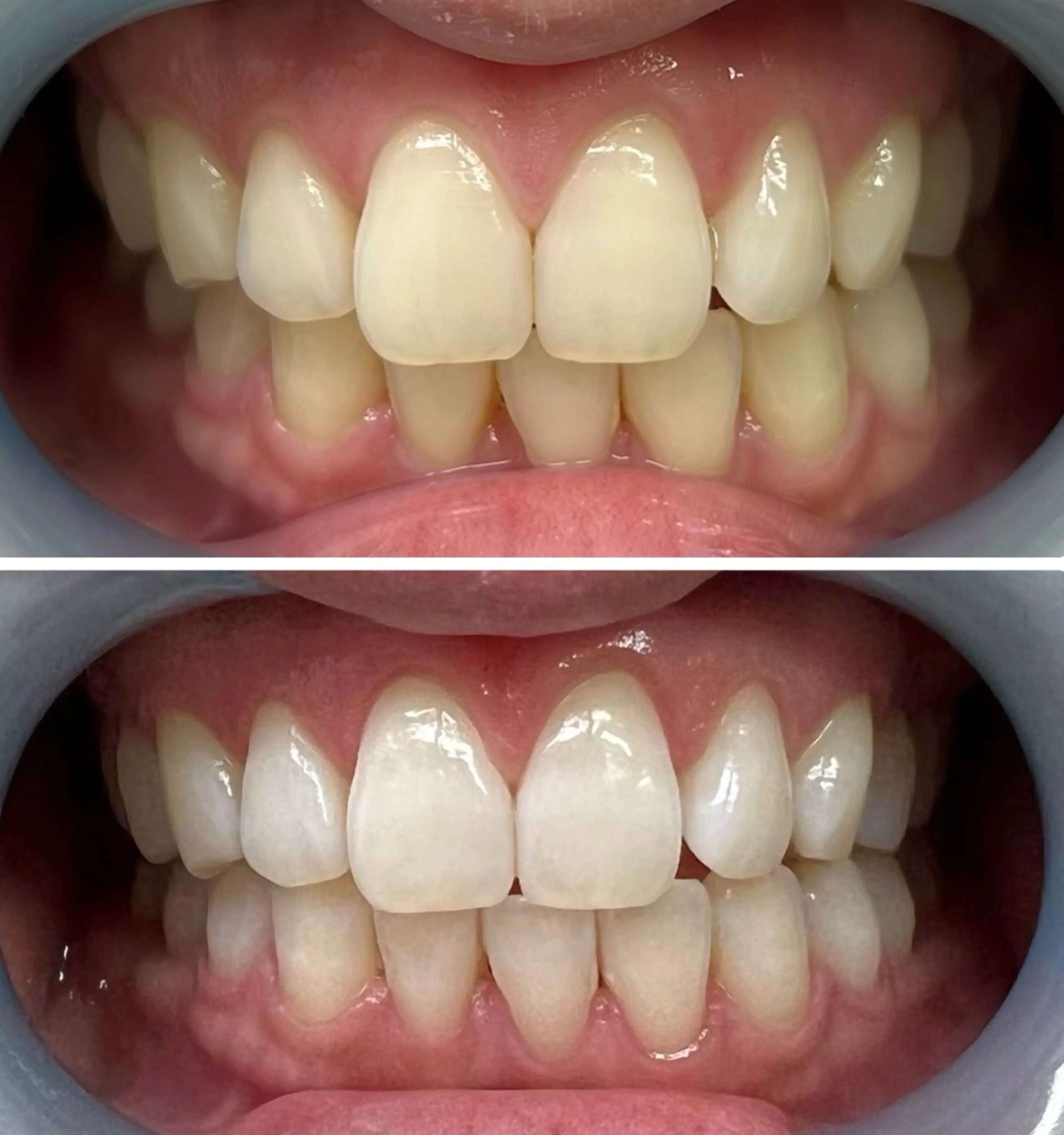
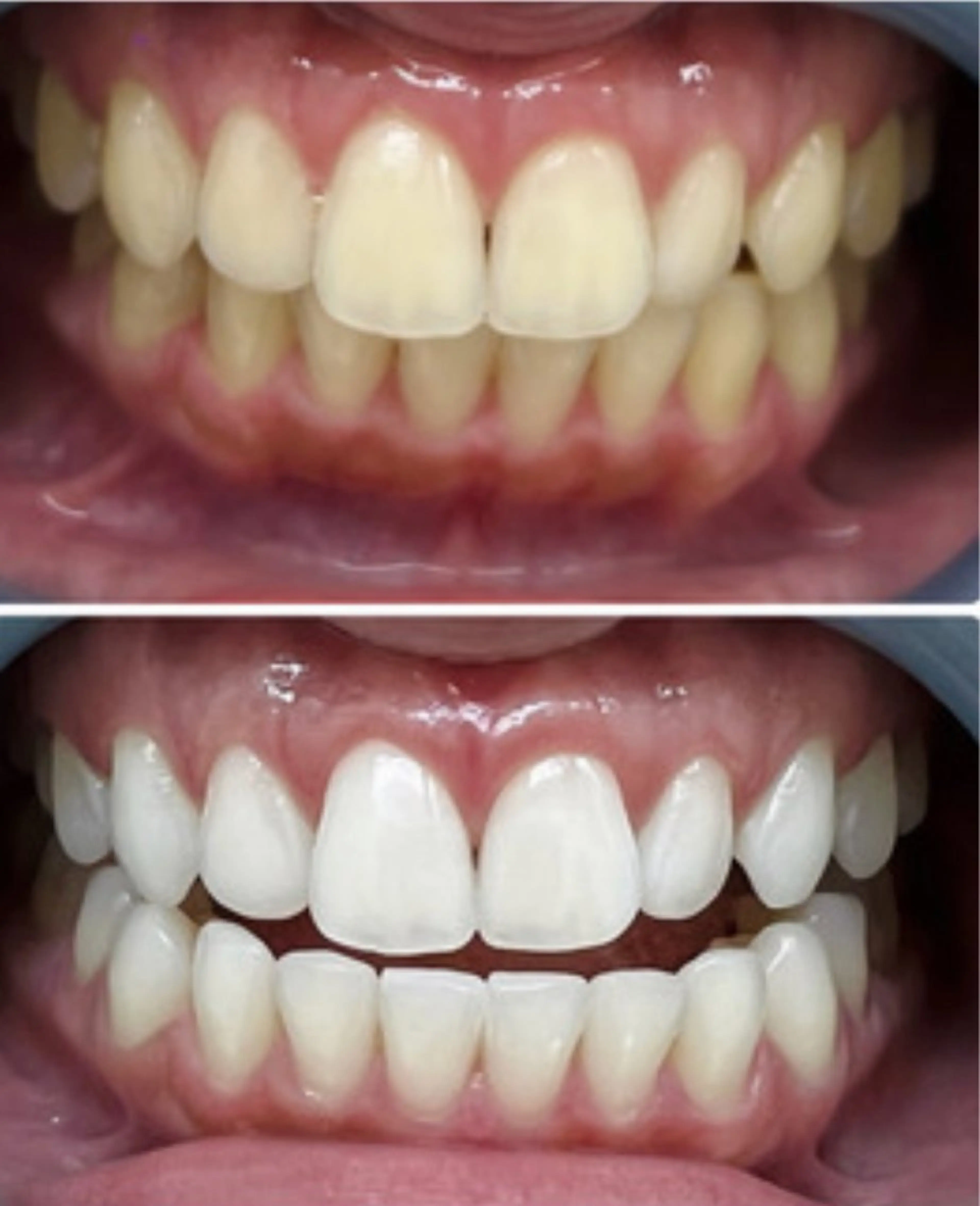
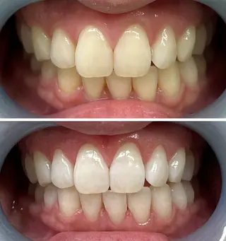
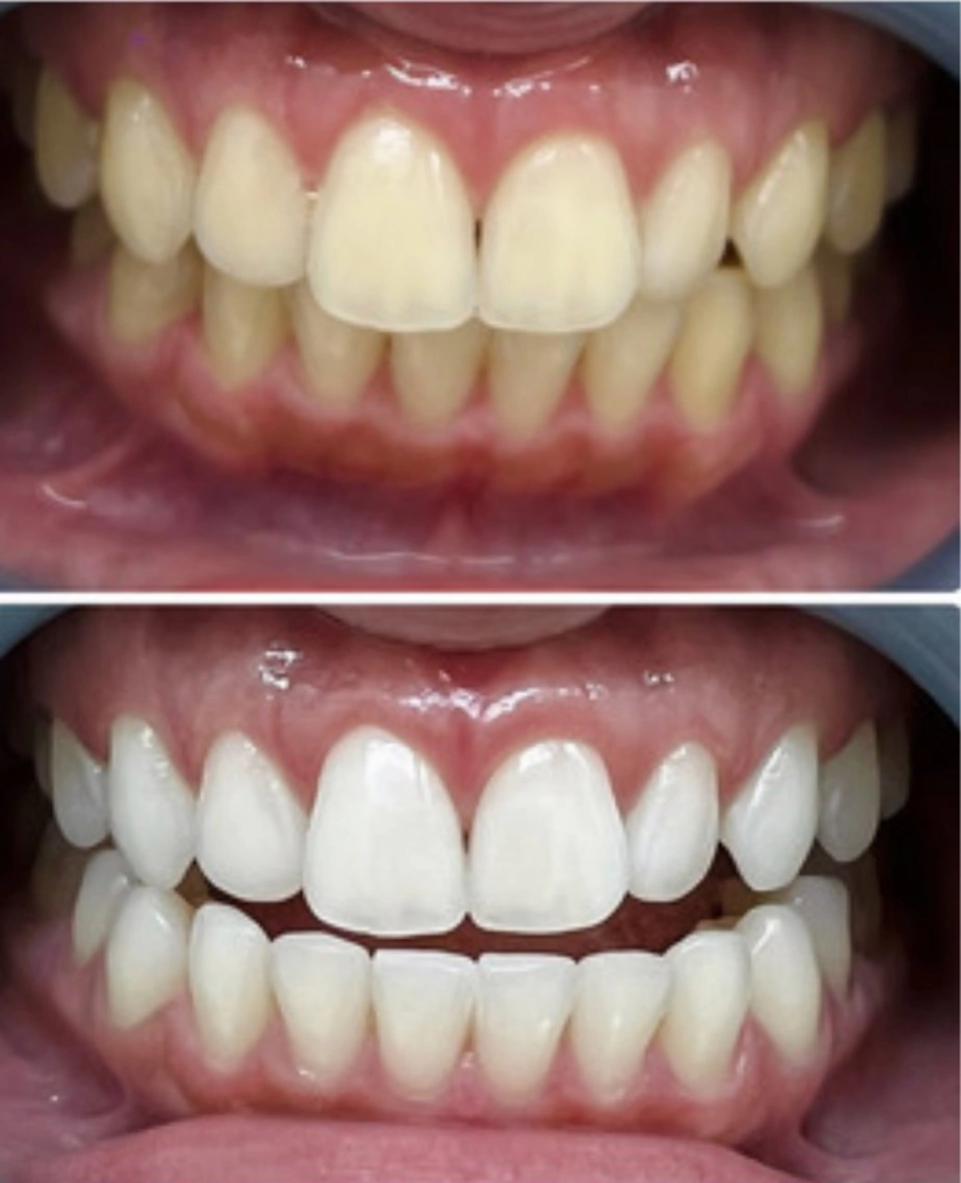
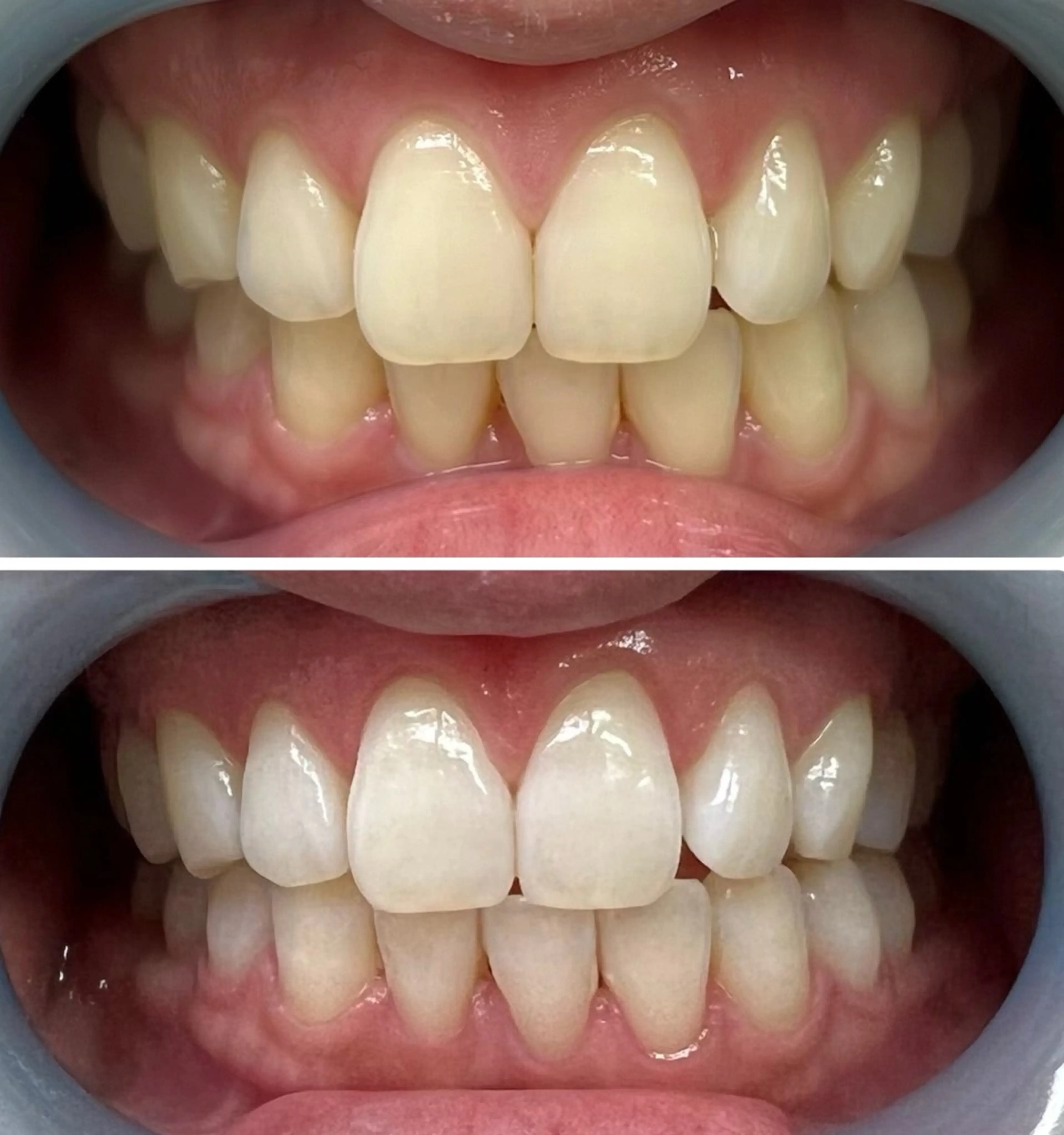
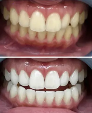
気になる黄ばみや汚れをごっそり落としませんか? MWでは、 ・歯科医提携の直営店なので安心・安全 ・日本一の最先端マシン ・MW独自細かなのこだわり工程 ・効果抜群高濃度ジェル ・個々に合った複数コース ・エリア最安/最長照射 【自然な白さへ】お悩みの解決と理想の実現を目指します☀️ セルフホワイトニングとは、お客様ご自身でホワイトニングの行程を行なっていただくサービスです☺️ 1回あたりも低コストでサービスがご利用いただけるため、お仕事帰りや、学校帰り、空いた時間にホワイトニングができてしまう、今話題のサービスです🪥🦷✨ ※セルフホワイトニングでは、スタッフがお客様の口の中に何かしたり歯を削ったりといったことはありません。 また、当店はお客様にリラックスしながらサービスを受けていただきたいため、個室空間でご利用いただけます🏝✨
セルフホワイトニングサロンMW 新越谷店所属・セルフホワイトニング サロンMW新越谷店のプロフィール
セルフホワイトニングサロンMW 新越谷店です🦷✨ 当店では、個々のお悩みやご理想に沿って満足していただけるように複数コースをご用意しております。また、効果には個人差がありますが、当店ではデータ分析に沿って最短で理想を目指します。 是非一度、専門店ならではのセルフホワイトニングをご体験下さい☀️
- 得意な施術
- スタイル提案
- 得意なイメージ
- ナチュラル、ブライダル
- 施術について
- 自然な白さ〜芸能人レベルまでお好みの白さへと目指します🦷✨
- 趣味・好きなこと
- 旅行
- 資格・役職
- ホワイトニングアドバイザー

















