ログイン
美容室
美容室
ネイル
ネイル
マツエク
マツエク
眉毛サロン
眉毛サロン
エステ・リラク
エステ
カタログ
カタログ
トップ
エステ・リラク
東京
神泉駅
M渋谷店所属・M渋谷 ホワイトニング
エステ・リラクフォト
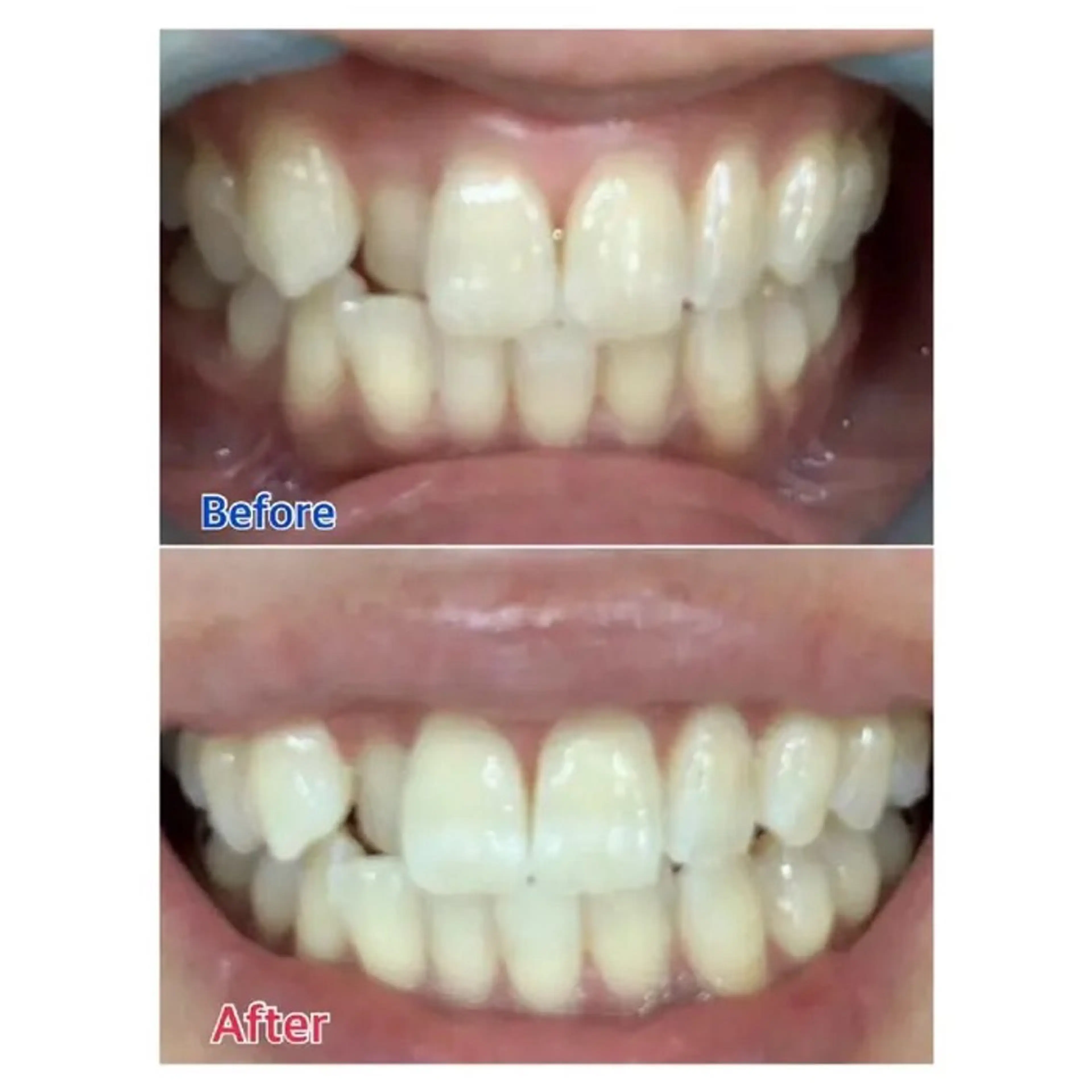
🦷お客様のビフォーアフターのお写真です🦷
M渋谷店
M渋谷 ホワイトニング
経験年数 9年
4.8
260
3678
神泉駅2分 / 渋谷駅5分 / 駒場東大前駅15分 / 代官山駅18分
2026年2月10日
更新
エステが好評
エステを施術した90%のお客様が満足しています
リラクが好評
リラクを施術した89%のお客様が満足しています
仕上がり満足度が高い
90%のお客様が高い評価をつけています
トップ
フォト
メニュー
口コミ
🦷お客様のビフォーアフターのお写真です🦷 by M渋谷店所属・M渋谷 ホワイトニング
🦷お客様のビフォーアフターのお写真です🦷
2023年10月10日(火)19:15投稿
M渋谷店所属・M渋谷 ホワイトニングのエステ・リラクフォト
フォトをすべて見る(3024)
M渋谷店所属・M渋谷 ホワイトニングのメニュー
ミニモ限定
エステ
期間限定!【研修生対応】陶肌ハーブピーリング 通常16,500円→3,300円※メッセージで予約確定!
新規
¥3,300
予約
新規
¥3,300
予約
ミニモ
限定
ミニモ限定プランです!
利用条件
対象期間
02/01(日)〜02/28(土)
ミニモ限定
練習モデル
エステ
リラク
期間限定!【研修生対応】背中陶肌ハーブピーリング 通常16,500円→3,500円※メッセージにてご予約確定
新規
¥3,500
予約
新規
¥3,500
予約
ミニモ
限定
ミニモ限定プランです!
利用条件
対象期間
02/01(日)〜02/28(土)
ミニモ限定
練習モデル
エステ
リラク
今月限定!【研修生対応】ヒップ陶肌ハーブピーリング 通常16,500円→3,500円※メッセージにてご予約確定
新規
¥3,500
予約
新規
¥3,500
予約
ミニモ
限定
ミニモ限定プランです!
利用条件
対象期間
02/01(日)〜02/28(土)
ミニモ限定
エステ
リラク
【先着3名限定!】韓国式肌管理★LHAララピール(全顔+首)¥6,400※メッセージにてご予約確定
新規
¥6,400
予約
新規
¥6,400
予約
ミニモ
限定
ミニモ限定プランです!
ミニモ限定
エステ
リラク
【韓国肌管理】韓国発★水光肌 LHAララピール(全顔+首)16,500円→9,800円
新規
¥9,800
予約
新規
¥9,800
予約
ミニモ
限定
ミニモ限定プランです!
メニューをすべて見る(28)
M渋谷店の詳細情報
M渋谷店
東京都渋谷区円山町5-4 (
地図
)
神泉駅2分 / 渋谷駅5分 / 駒場東大前駅15分 / 代官山駅18分
エリア
神泉駅
営業時間
月 11:00-21:00 火 11:00-21:00 水 11:00-21:00 木 11:00-21:00 金 11:00-21:00 土 11:00-21:00 日 11:00-21:00 祝 11:00-21:00
お支払い
クレジットカード
Mastercard / Visa / JCB / American Express / Diners Club / Discover / その他
その他決済
その他
席数
2席
駐車場
近くにコインパーキングあり
禁煙・喫煙
禁煙
お子様連れ
お子様連れ可
その他
メンズ歓迎
サロン電話番号
お問い合わせ先
M渋谷 ホワイトニング
フォト
メニュー
口コミ
渋谷区で他におすすめのエステ・リラクゼーションサロン一覧
今日行ける渋谷区のエステ・リラクゼーションサロン
明日行ける渋谷区のエステ・リラクゼーションサロン
東京都で他におすすめのエステ・リラクゼーションサロン一覧
今日行ける東京都のエステ・リラクゼーションサロン
明日行ける東京都のエステ・リラクゼーションサロン
M渋谷店付近の駅のエステ・リラクゼーションサロンを探す
神泉駅
渋谷駅
駒場東大前駅
代官山駅
中目黒駅
代々木八幡駅