ログイン
美容室
美容室
ネイル
ネイル
マツエク
マツエク
眉毛サロン
眉毛サロン
エステ・リラク
エステ
カタログ
カタログ
トップ
エステ・リラク
東京
渋谷
神泉駅
M渋谷 ホワイトニング
フォト
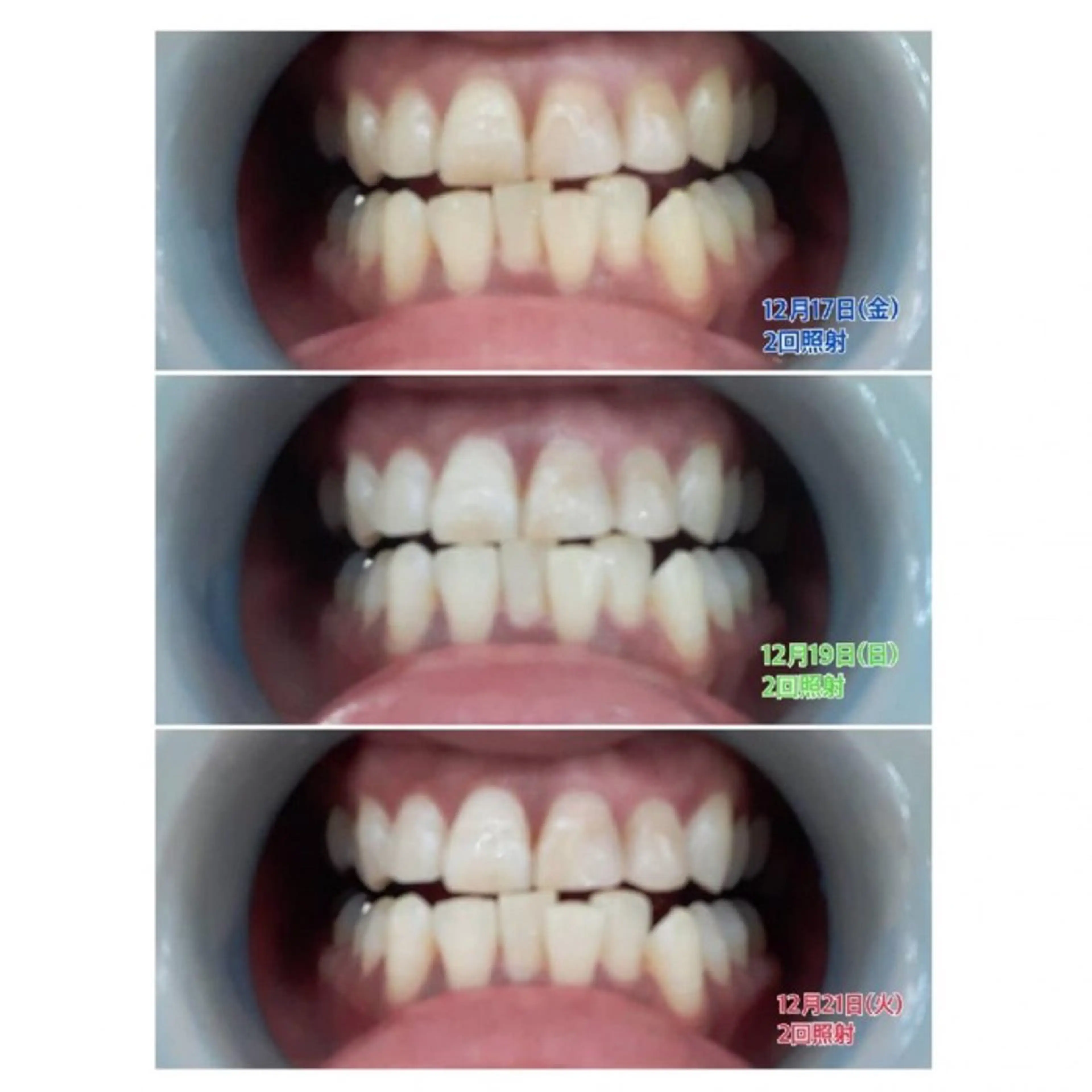
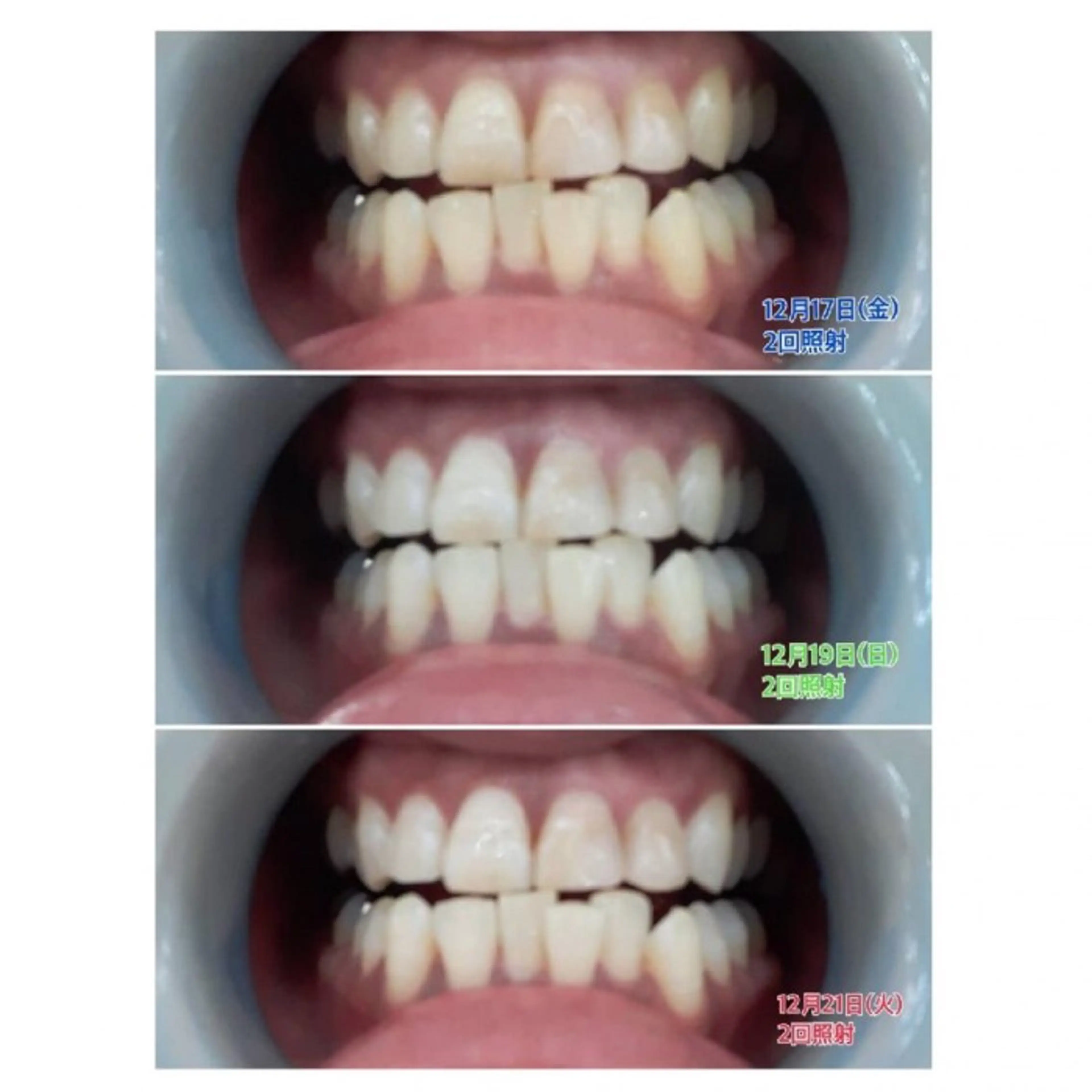
🦷お客様のビフォーアフターのお…
M渋谷店
M渋谷 ホワイトニング
経験年数 9年
4.8
271
3904
神泉駅2分 / 渋谷駅5分 / 駒場東大前駅15分 / 代官山駅18分
2026年4月24日
更新
エステが好評
エステを施術した90%のお客様が満足しています
リラクが好評
リラクを施術した89%のお客様が満足しています
仕上がり満足度が高い
93%のお客様が高い評価をつけています
トップ
フォト
メニュー
口コミ
🦷お客様のビフォーアフターのお…
🦷お客様のビフォーアフターのお写真です🦷
2024年1月19日(金)13:05投稿
エステ・リラクフォト一覧
フォトをすべて見る(3036)
メニュー・料金
ミニモ限定
エステ
リラク
🉐1日1名様限定🉐ミニモ特別ホワイトニングコース!スペシャルコース1回で効果を実感されたい方へ☺️🦷!
新規
¥2,000
予約
新規
¥2,000
予約
ミニモ
限定
ミニモ限定プランです!
利用条件
対象期間
04/19(日)〜05/15(金)
その他
☆学割☆1回でわかるホワイトニング体験♪1回分🌷!
新規
¥1,500
予約
新規
¥1,500
予約
ミニモ限定
その他
新メニュー【ホワイトラボ🫧】シミ・そばかす・肝斑でお悩みの方へ🌷※30分取り放題 ホワイトニング30分プレゼント🎁
全員
¥49,500
予約
全員
¥49,500
予約
ミニモ
限定
施術料金33,000➕アフタークリーム13,200円 ⇨施術料金33,000円➕ホワイトニング30分照射プレゼント🎁 一度の施術で気になるシミをケア🌱 7日後にはメラニンがポロッと剥がれます✨
ミニモ限定
エステ
【最新技術ローマピンク💗唇】黒ずみをアナタ本来のピンク肌へ...✨ アフタークリーム13,200円無料プレゼント🎁
全員
¥99,000
予約
全員
¥99,000
予約
ミニモ
限定
施術費用99,000円➕アフタークリーム13,200円 ⇨アフタークリーム無料でプレゼント🎁✨ 一度の施術で黒ずみケア✨ 専用セラムを塗布し、肌のターンオーバーを促し、本来のピンクのお肌へ💗
ミニモ限定
エステ
期間限定!【研修生対応】陶肌ハーブピーリング 通常16,500円→3,300円※メッセージで予約確定
新規
¥3,300
予約
新規
¥3,300
予約
ミニモ
限定
ミニモ限定プランです!
利用条件
対象期間
04/01(水)〜04/30(木)
メニューをすべて見る(30)
M渋谷店の詳細情報
M渋谷店
東京都渋谷区円山町5-4 (
地図
)
神泉駅2分 / 渋谷駅5分 / 駒場東大前駅15分 / 代官山駅18分
エリア
神泉駅
営業時間
月 11:00-21:00 火 11:00-21:00 水 11:00-21:00 木 11:00-21:00 金 11:00-21:00 土 11:00-21:00 日 11:00-21:00 祝 11:00-21:00
お支払い
クレジットカード
Mastercard / Visa / JCB / American Express / Diners Club / Discover / その他
その他決済
その他
席数
2席
駐車場
近くにコインパーキングあり
禁煙・喫煙
禁煙
お子様連れ
お子様連れ可
その他
メンズ歓迎
サロン電話番号
お問い合わせ先
M渋谷 ホワイトニング
フォト
メニュー
口コミ
渋谷区で他におすすめのエステ・リラクゼーションサロン一覧
今日行ける渋谷区のエステ・リラクゼーションサロン
明日行ける渋谷区のエステ・リラクゼーションサロン
東京都で他におすすめのエステ・リラクゼーションサロン一覧
今日行ける東京都のエステ・リラクゼーションサロン
明日行ける東京都のエステ・リラクゼーションサロン
M渋谷店付近の駅のエステ・リラクゼーションサロンを探す
神泉駅
渋谷駅
駒場東大前駅
代官山駅
中目黒駅
代々木八幡駅