40%以上オフ!ミニモSALE
M渋谷 ホワイトニングの掲載
星アイコン星アイコン星アイコン星アイコン半分の星アイコン
4.8
レビューアイコン261
いいね3671
神泉駅2分 / 渋谷駅5分 / 駒場東大前駅15分 / 代官山駅18分
更新
  • エステが好評
    エステが好評エステを施術した90%のお客様が満足しています
  • リラクが好評
    リラクが好評リラクを施術した89%のお客様が満足しています
  • 仕上がり満足度が高い
    仕上がり満足度が高い90%のお客様が高い評価をつけています

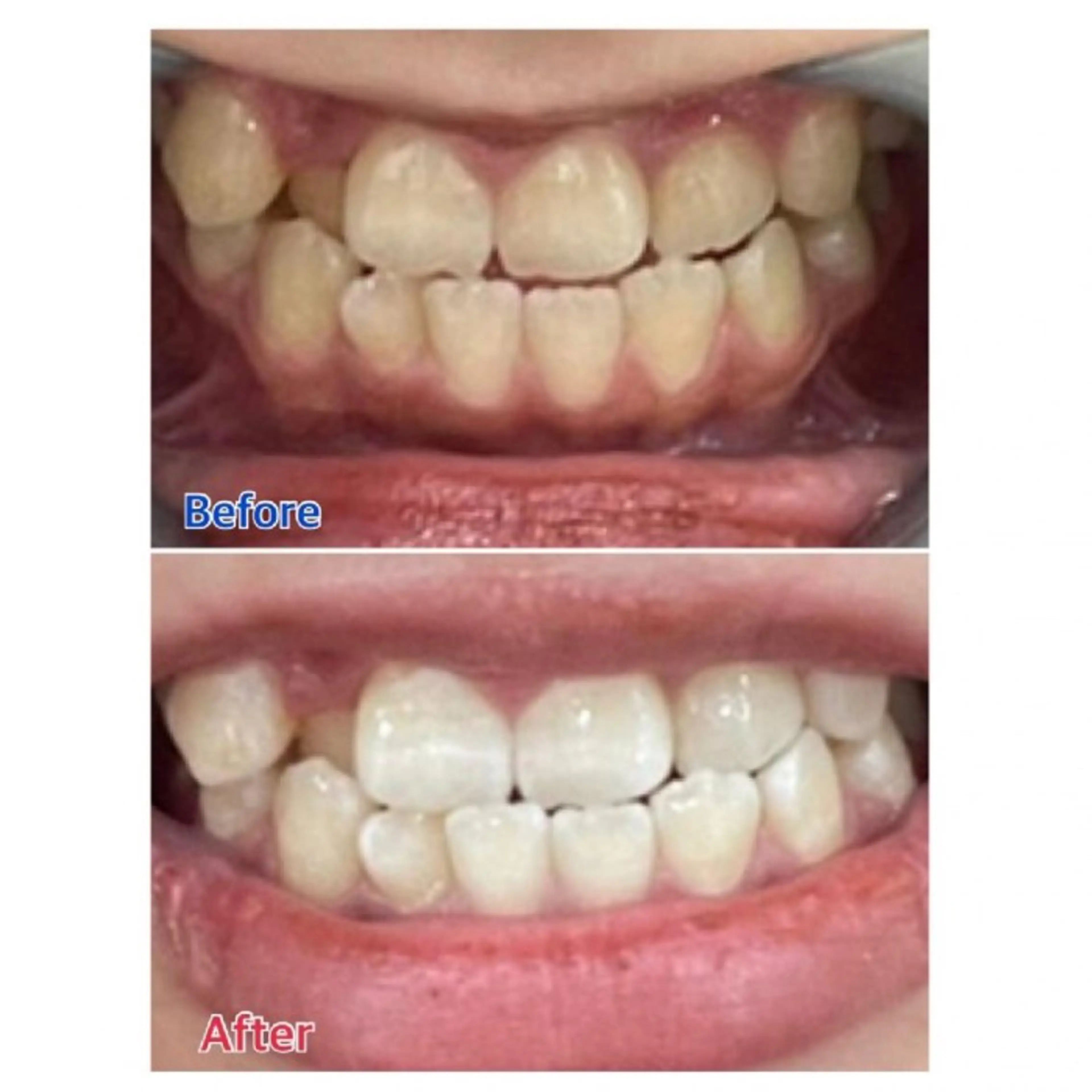
🦷お客様のビフォーアフターのお写真です🦷 by M渋谷店所属・M渋谷 ホワイトニング

M渋谷店所属・M渋谷 ホワイトニングのエステ・リラクイメージ

🦷お客様のビフォーアフターのお写真です🦷

ミニモ公式アプリでお得に予約

M渋谷店所属・M渋谷 ホワイトニングエステ・リラクフォト

M渋谷店所属・M渋谷 ホワイトニングのメニュー

  • 🉐1日1名様限定🉐ミニモ特別ホワイトニングコース!スペシャルコース1回で効果を実感されたい方へ☺️🦷!の写真
    • ミニモ限定
    • エステ
    • リラク

    🉐1日1名様限定🉐ミニモ特別ホワイトニングコース!スペシャルコース1回で効果を実感されたい方へ☺️🦷!

    新規¥2,000
    新規¥2,000
    ミニモ
    限定
    ミニモ限定プランです!
  • ☆学割☆1回でわかるホワイトニング体験♪1回分🌷!の写真
    • その他

    ☆学割☆1回でわかるホワイトニング体験♪1回分🌷!

    新規¥1,500
    新規¥1,500
  • 期間限定!【研修生対応】陶肌ハーブピーリング 通常16,500円→3,300円※メッセージで予約確定!の写真
    • ミニモ限定
    • エステ

    期間限定!【研修生対応】陶肌ハーブピーリング 通常16,500円→3,300円※メッセージで予約確定!

    新規¥3,300
    新規¥3,300
    ミニモ
    限定
    ミニモ限定プランです!
  • 期間限定!【研修生対応】背中陶肌ハーブピーリング 通常16,500円→3,500円※メッセージにてご予約確定の写真
    • ミニモ限定
    • 練習モデル
    • エステ
    • リラク

    期間限定!【研修生対応】背中陶肌ハーブピーリング 通常16,500円→3,500円※メッセージにてご予約確定

    新規¥3,500
    新規¥3,500
    ミニモ
    限定
    ミニモ限定プランです!
  • 今月限定!【研修生対応】ヒップ陶肌ハーブピーリング 通常16,500円→3,500円※メッセージにてご予約確定の写真
    • ミニモ限定
    • 練習モデル
    • エステ
    • リラク

    今月限定!【研修生対応】ヒップ陶肌ハーブピーリング 通常16,500円→3,500円※メッセージにてご予約確定

    新規¥3,500
    新規¥3,500
    ミニモ
    限定
    ミニモ限定プランです!

M渋谷店の詳細情報

  • M渋谷店の内観・外観1
  • M渋谷店の内観・外観2
  • M渋谷店の内観・外観3
M渋谷店
東京都渋谷区円山町5-4 (地図)
神泉駅2分 / 渋谷駅5分 / 駒場東大前駅15分 / 代官山駅18分
エリア
神泉駅
営業時間
月 11:00-21:00 火 11:00-21:00 水 11:00-21:00 木 11:00-21:00 金 11:00-21:00 土 11:00-21:00 日 11:00-21:00 祝 11:00-21:00
お支払い
Mastercard / Visa / JCB / American Express / Diners Club / Discover / その他
その他
席数
2席
駐車場
近くにコインパーキングあり
禁煙・喫煙
禁煙
お子様連れ
お子様連れ可
その他
メンズ歓迎
サロン電話番号
お問い合わせ先