
- 仕上がり満足度が高い100%のお客様が高い評価をつけています
- サービス満足度が高い100%のお客様が高い評価をつけています
セルフホワイトニングサロンMW 稲毛店所属・セルフホワイトニング サロンMW稲毛店のメニュー
セルフホワイトニングサロンMW 稲毛店所属・セルフホワイトニング サロンMW稲毛店のフォト
セルフホワイトニングサロンMW 稲毛店所属・セルフホワイトニング サロンMW稲毛店の口コミ
仕上がり・技術
4.9コミュニケーション・サービス
5.0ミニモでの対応
5.0
- 掲載者がピックアップ

ちなつさんの口コミ
女性 / 40代前半
サロン・設備がとても綺麗で個室なのも嬉しかったです。スタッフの方も親切だったので、稲毛に脚を伸ばしても通いたいなと思ったサロンです。使っているものが確かな品質だから、1回目で汚れが落ちたのを実感できました!そして帰ってからも歯がツルツル!マスク生活だけどいっぱい笑顔を作りたくなりました。また行きたいです。
来店日:2022年3月11日
セルフホワイトニング サロンMW稲毛店さんからの返信
先日はMW稲毛店にお越しいただき、また高評価と嬉しいお言葉までありがとうございます。 効果の実感と満足していただいたみたいで自分のことのようにスタッフ一同うれしかったです☆ 是非、またのお越しをお待ちしております。
返信日:2022年3月12日 
ゆうさんの口コミ
女性 / 20代後半
説明がとても丁寧で安心してお願いできました!! 歯もナチュラルにトーンアップできたので本当に行って良かったなと思います! なんでもっと早く行かなかったのかなとさえ思います…!
来店日:2023年12月27日
セルフホワイトニング サロンMW稲毛店さんからの返信
ゆう 様 この度は、セルフホワイトニングサロンMW稲毛店にお越しいただきありがとうございました。 当店のホワイトニング効果をご実感していただけたみたいでスタッフも自分の事のように嬉しく思います^ ^ ゆう 様の仰る通り、ホワイトニング後に「なんでもっと早く行かなかったんだろう」と言われる方が非常に多くいらっしゃいます^ ^ MWスタッフ一同これからも精一杯サポート致しますので今後ともよろしくお願い致します。 またのお越しをお待ちしております。 この度は、高評価と嬉しいお言葉まで書いていただきありがとうございました^^
返信日:2023年12月27日
☆さんの口コミ
女性 / 20代前半
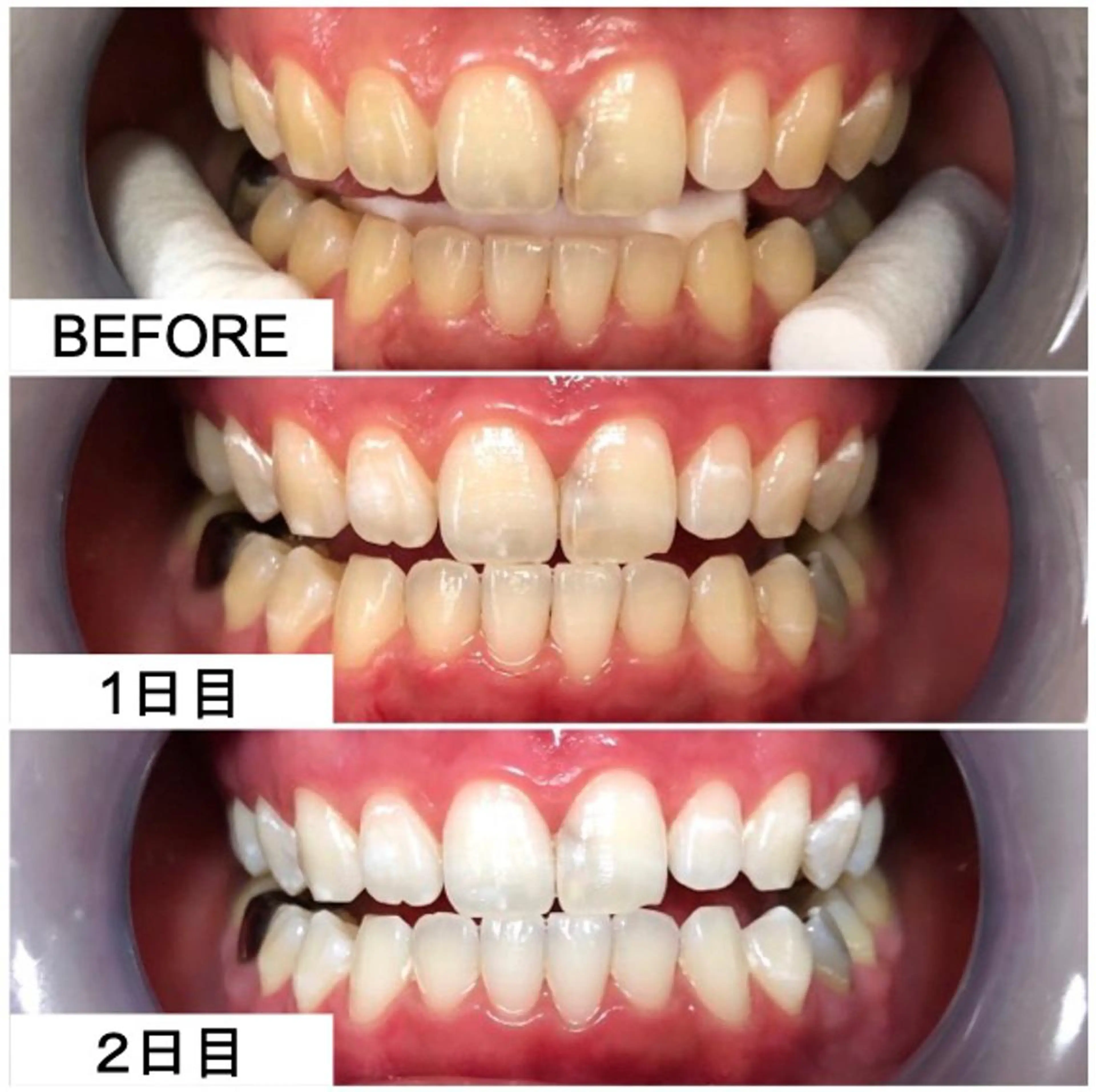
元々がある程度白いので、効果あるか心配だったのですが、一回でもうかなり白くなりました! 値段の価値ありです S14→S8☆
来店日:2023年9月18日
セルフホワイトニング サロンMW稲毛店さんからの返信
⭐︎ 様 この度は、MW稲毛店にお越しいただきありがとうございした。 当店のホワイトニング効果の実感と満足をしていただけたみたいでスタッフも自分の事のように嬉しく思います^ ^ MWスタッフ一同これからも精一杯サポート致しますので今後ともよろしくお願い致します。 またのお越しをお待ちしております。 この度は、高評価と嬉しいお言葉まで書いていただきありがとうございました^ ^
返信日:2023年10月7日
セルフホワイトニングサロンMW 稲毛店所属・セルフホワイトニング サロンMW稲毛店のアピールポイント
ホワイトニング専門店🦷✨最安/最長照射/最短でお仕上げ☀️気になる黄ばみや汚れ/お悩みの解決/理想の実現はMW稲毛店にお任せ下さい。まずは、初回コースで驚きと感動をご体験下さい🫨
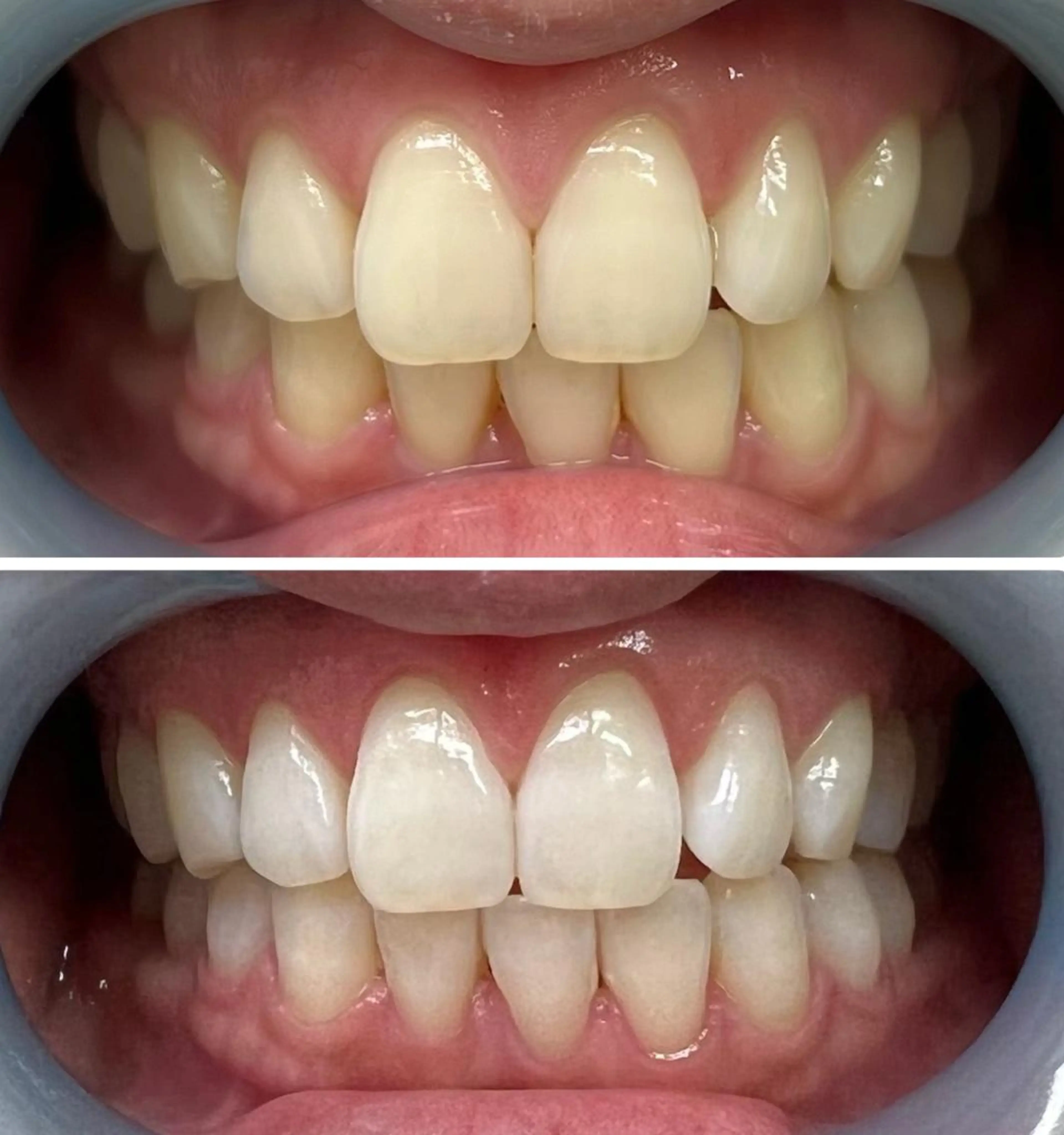
気になる黄ばみや汚れをごっそり落としませんか? MWでは、 ・歯科医提携の直営店なので安心・安全 ・日本一の最先端マシン ・MW独自細かなのこだわり工程 ・効果抜群高濃度ジェル ・個々に合った複数コース ・エリア最安/最長照射 【自然な白さ〜芸能人レベル】のお好みの白さ、お悩みの解決と理想の実現を目指します☀️ セルフホワイトニングとは、お客様ご自身でホワイトニングの行程を行なっていただくサービスです☺️ 1回あたりも低コストでサービスがご利用いただけるため、お仕事帰りや、学校帰り、空いた時間にホワイトニングができてしまう、今話題のサービスです🪥🦷✨ ※セルフホワイトニングでは、スタッフがお客様の口の中に何かしたり歯を削ったりといったことはありません。 また、当店はお客様にリラックスしながらサービスを受けていただきたいため、個室空間でご利用いただけます🏝✨
セルフホワイトニングサロンMW 稲毛店所属・セルフホワイトニング サロンMW稲毛店のプロフィール
セルフホワイトニングサロンMW稲毛店です🦷✨ 当店では、個々のお悩みやご理想に沿って満足していただけるように複数コースをご用意しております。また、ホワイトニングには個人差がありますが、当店ではデータ分析に沿って最短で理想を目指します。 是非一度、専門店ならではのホワイトニングをご体験下さい☀️
- 得意な施術
- スタイル提案、ブライダルエステ
- 得意なイメージ
- ナチュラル
- 施術について
- 自然な白さ〜芸能人レベルまでお好みの白さへと目指します🦷✨
- 趣味・好きなこと
- キャンプ
- 資格・役職
- ホワイトニングアドバイザー
セルフホワイトニングサロンMW 稲毛店の詳細情報
- エリア
- 稲毛駅
- 営業時間
- 月 10:00-20:00 火 10:00-20:00 水 10:00-20:00 木 10:00-20:00 金 10:00-20:00 土 10:00-20:00 日 10:00-20:00 祝 10:00-20:00 定休日 不定休
- お支払い
- 現金可Mastercard / Visa / JCB / American Express / Diners Club / DiscoverPayPay / 楽天ペイ / au PAY / Apple Pay / QUICPay / iD / 交通系IC
- 席数
- 2席
- 駐車場
- 近くにコインパーキングあり
- 禁煙・喫煙
- 禁煙
- お子様連れ
- お子様連れ可
- その他
- メンズ歓迎
- サロン電話番号
- お問い合わせ先
























