ログイン
美容室
美容室
ネイル
ネイル
マツエク
マツエク
眉毛サロン
眉毛サロン
エステ・リラク
エステ
カタログ
カタログ
トップ
美容サロン
栃木
西川田駅
セルフホワイトニングサロン ラヴィアン所属・ホワイトニングサロン La vie en
美容サロンカタログ
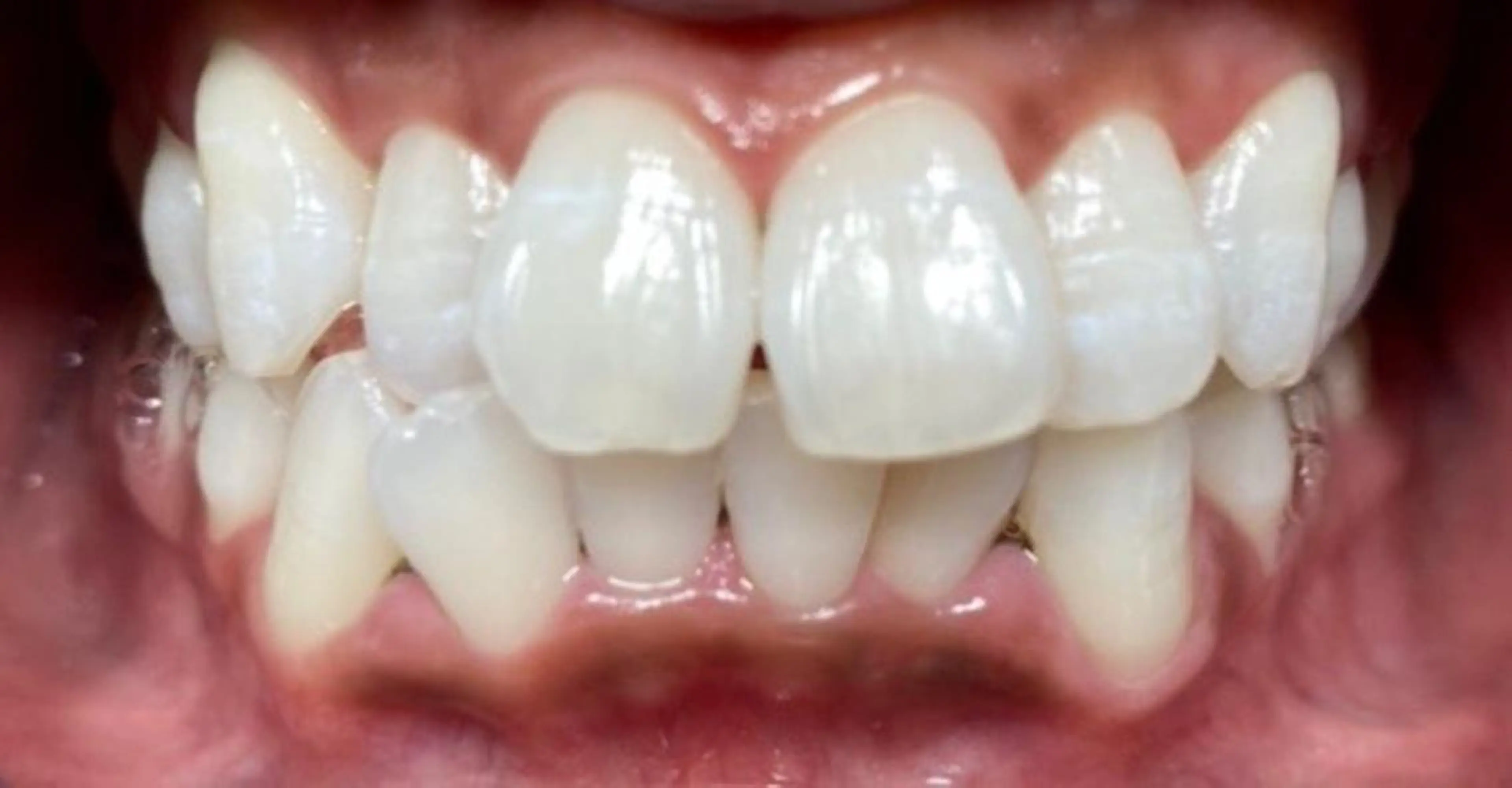
💖💐ご卒業時💐💖1ヶ月でできるだけ白くしたい‼️そんな希望を胸に、1週間に1回ホワイトニング💎✨煙草と
セルフホワイトニングサロン ラヴィアン
ホワイトニングサロン La vie en
経験年数 9年
4.9
75
315
西川田駅10分
2024年4月7日
更新
仕上がり満足度が高い
100%のお客様が高い評価をつけています
サービス満足度が高い
100%のお客様が高い評価をつけています
トップ
フォト
メニュー
口コミ
💖💐ご卒業時💐💖1ヶ月でできるだけ白くしたい‼️そんな希望を胸 by セルフホワイトニングサロン ラヴィアン所属・ホワイトニングサロン La vie en
💖💐ご卒業時💐💖1ヶ月でできるだけ白くしたい‼️そんな希望を胸に、1週間に1回ホワイトニング💎✨煙草とコーヒーの着色も綺麗サッパリ🦷💖
2022年1月31日(月)01:08投稿
セルフホワイトニングサロン ラヴィアン所属・ホワイトニングサロン La vie enの美容サロンカタログ
フォトをすべて見る(298)
セルフホワイトニングサロン ラヴィアン所属・ホワイトニングサロン La vie enのメニュー
その他
🩷🤍誰が見ても白い🤍🩷 初回体験🔥30分照射✨💎本気のホワイトニング⭐️結果・コスパNo,1⭐️脱マスク時代
新規
¥3,980
予約
新規
¥3,980
予約
その他
✨💓脱マスク💓✨4・5月⛄️冬に向けて⛄⇒🔸minimo限定🔸《3照射6,980円》セルフホワイトニング✨
全員
¥6,980
予約
全員
¥6,980
予約
その他
💍💍コース利用・予定・プレミアム会員様💍💍💎💐【いつもの予約はコチラから】💐💎
全員
¥0
アプリで予約
全員
¥0
アプリで予約
アプリから予約可能なメニューです
その他
❣️1ヶ月❣️💝サブスク通い放題💝 元祖・栃木県初🌹納得いくまで、徹底的にケア💎💖💐¥19,800💐💖
全員
¥19,800
予約
全員
¥19,800
予約
その他
❣️2ヶ月❣️💝サブスク通い放題💝 元祖・栃木県初🌹納得いくまで、徹底的にケア💎💖¥14,800/月💐💖
全員
¥14,800
予約
全員
¥14,800
予約
メニューをすべて見る(29)
セルフホワイトニングサロン ラヴィアンの詳細情報
セルフホワイトニングサロン ラヴィアン
栃木県宇都宮市西川田本町3-20-22 Y&MウエストⅡ 203号 (
地図
)
西川田駅10分
宇都宮駅 東武宇都宮駅 真岡駅 雀宮駅 石橋駅
エリア
西川田駅
営業時間
月 19:00-20:30 火 19:00-20:30 水 19:00-20:30 木 19:00-20:30 金 19:00-20:30 土 10:00-19:00 日 10:00-19:00 祝 10:00-19:00 年末年始は定休日となります。
お支払い
クレジットカード
Mastercard / Visa / American Express
席数
2席
駐車場
あり
禁煙・喫煙
禁煙
お子様連れ
お子様連れ可
その他
メンズ歓迎
サロン電話番号
お問い合わせ先
ホワイトニングサロン La vie en
フォト
メニュー
口コミ
宇都宮市で他におすすめの美容サロン一覧
明日行ける宇都宮市の美容サロン
メンズも歓迎な宇都宮市の美容サロン
ヘアセットができる宇都宮市の美容サロン
ヘッドスパができる宇都宮市の美容サロン
栃木県で他におすすめの美容サロン一覧
明日行ける栃木県の美容サロン
メンズも歓迎な栃木県の美容サロン
ヘアセットができる栃木県の美容サロン
ヘッドスパができる栃木県の美容サロン
セルフホワイトニングサロン ラヴィアン付近の駅の美容サロンを探す
西川田駅