ログイン
美容室
美容室
ネイル
ネイル
マツエク
マツエク
眉毛サロン
眉毛サロン
エステ・リラク
エステ
カタログ
カタログ
トップ
エステ・リラク
大阪
天王寺・寺田町・あべの
天王寺駅
Brilliet 天王寺店
桐山 まどか
エステ・リラクフォト
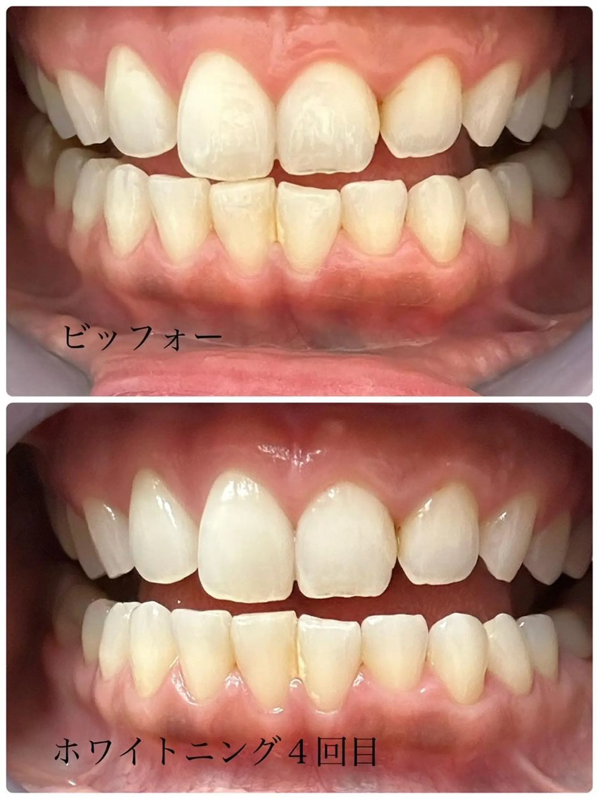
セルフホワイトニング私は1回目から効果を感じることができました。ビッフォーアフター写真を撮っておくの
Brilliet 天王寺店
ブリリエットテンノウジテン
桐山 まどか
経験年数 3年
5.0
8
467
大阪阿部野橋駅1分 / 天王寺駅前駅2分 / 天王寺駅3分
2026年3月23日
更新
トップ
フォト
メニュー
口コミ
セルフホワイトニング私は1回目から効果を感じることができまし by 桐山 まどか
セルフホワイトニング私は1回目から効果を感じることができました。ビッフォーアフター写真を撮っておくのもおすすめです!
2023年2月12日(日)11:11投稿
対応メニュー
その他
セルフホワイトニング🦷✨ホットペッパー¥2480→ミニモ価格¥1500
新規
¥1,500
予約
新規
¥1,500
予約
桐山 まどかのエステ・リラクフォト
フォトをすべて見る(109)
桐山 まどかのメニュー
ミニモ限定
エステ
ニキビ肌最新のピーリングで韓国肌へ症例取らせてください‼️
全員
¥5,500
予約
全員
¥5,500
予約
ミニモ
限定
心斎橋で新たなニキビを韓国肌にする最新ピーリングを取り入れました!ニキビでお悩みの方✨症例価格での案内です!本気で治したい方、続けてくださる方限定でずっとこの価格で募集します!
脱毛
うなじ脱毛✨とセルフホワイトニング🦷
新規
¥3,980
予約
新規
¥3,980
予約
脱毛
女子力アップ♡うなじ脱毛
新規
¥2,000
予約
新規
¥2,000
予約
ミニモ限定
その他
肌診断付き!毛穴洗浄✨+選べるモデリングパック🌿
新規
¥3,500
予約
新規
¥3,500
予約
ミニモ
限定
通常2000円のパックがついた毛穴洗浄とのセット‼️お肌診断付き
脱毛
ワンコイン両脇脱毛✨
新規
¥500
予約
新規
¥500
予約
メニューをすべて見る(19)
Brilliet 天王寺店の詳細情報
Brilliet 天王寺店
大阪府大阪市阿倍野区阿倍野筋1-2-7 あべのオカモトビル2階 (
地図
)
大阪阿部野橋駅1分 / 天王寺駅前駅2分 / 天王寺駅3分
エリア
天王寺駅
営業時間
予約画面をご確認ください
お支払い
現金
現金可
サロン電話番号
お問い合わせ先
桐山 まどか
フォト
メニュー
口コミ
大阪市阿倍野区で他におすすめのエステ・リラクゼーションサロン一覧
今日行ける大阪市阿倍野区のエステ・リラクゼーションサロン
明日行ける大阪市阿倍野区のエステ・リラクゼーションサロン
大阪府で他におすすめのエステ・リラクゼーションサロン一覧
今日行ける大阪府のエステ・リラクゼーションサロン
明日行ける大阪府のエステ・リラクゼーションサロン
Brilliet 天王寺店付近の駅のエステ・リラクゼーションサロンを探す
天王寺駅
阿倍野駅
寺田町駅
動物園前駅
河堀口駅
文の里駅
今池駅
松虫駅
美章園駅
今船駅