

プラチナムビューティー横須賀店プラチナムビューティーヨコスカテンプラチナム ビューティー横須賀店
経験年数 6年
プラチナム ビューティー横須賀店のメニュー
- 最短予約可能日
- 1/22 (木)
- 1/23 (金)
- 1/25 (日)
プラチナム ビューティー横須賀店の動画
プラチナム ビューティー横須賀店の口コミ
仕上がり・技術
5.0コミュニケーション・サービス
5.0ミニモでの対応
5.0

らんさんの口コミ
女性 / 30代前半
とても優しく教えてくれて、よかったです! 初めてだったので、ありがとうございました!
来店日:2025年6月4日
聡さんの口コミ
男性 / 40代前半
スタッフさんの丁寧な対応と説明で、人生初のホワイトニング❗️ 仕事中は一日中コーヒー、夜は自宅で赤ワイン、そしてタバコも吸う。これ以上は無さそうな、立派な着色祭りの生活w そんな自分でも、一回の施術で4トーンのアップ、鏡で見て「あ、さっきより白い❗️」と率直に思いました。 また、時間を作って行こうと思います。
来店日:2025年5月28日
みくさんの口コミ
女性 / 30代前半
3回目でしたが、相変わらず居心地が良く綺麗な店内でスタッフさんもとても親切です。 ホワイトニングをする前と比べると、今はびっくりするくらい白くなって嬉しいです。 周りからも歯が白いことに驚かれるようになって、効果をすっごく実感してます。 これからもよろしくお願いします。
来店日:2025年5月19日
プラチナム ビューティー横須賀店のアピールポイント
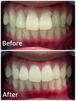
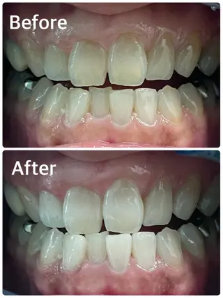
【顧客満足度No.1横須賀で日本で一番白くなる!ホワイトニング専門店✨】世界最先端セルフホワイトニング薬剤が国内初で使用可能に!業界初セルフホワイトニングシステムでこれまでにない白さと満足をご体感🫶
口コミ評価⭐︎5⭐︎地域NO1サロン! 【本場アメリカの歯科材料メーカー提携】セルフホワイトニング先進国USAで注目の世界最先端セルフホワイトニング薬剤 が国内初で使用可能に!業界初のセルフホワイトニングシステムでこれまでにない白さへの挑戦と満足度をお約束します! 当店は国内で唯一の PLATINUM Lab.公式認定サロンです! 【本場アメリカの歯科材料メーカーと提携】により安全で高品質な世界最先端のセルフホワイトニング薬剤をお客様へ独占紹介することが出来るようになりました。 ~セルフホワイトニングシステムとは~ ○セルフホワイトニング先進国USAで話題の薬剤を独占紹介○ ○医療提携とセルフホワイトニングのメリットだけを両取○ ━━━━━━━━━━━━━━━━━━━━━━━━━━━━━━━━━━━━━━━━━━━━━━━━━ ■私たちはセルフホワイトニングのトップグループとして、以下のことを約束します 【価格】人気店だから出来る業界最安値のお約束 【効果】歯科ホワイトニングを超える輝く真っ白な歯への挑戦 【品質】国内最先端クラスの3色 LED サイクロンマシーン 【溶液】最上級品質の国内許可取得ジェルを使用 【接客】お客様の理想の白さへ寄り添うカウンセリング 【店舗】プライバシーを守るハイクオリティサロン 【立地】駅徒歩 8 分圏内の全国都道府県に出店拡大中 ━━━━━━━━━━━━━━━━━━━━━━━━━━━━━━━━━━━━━━━━━━━━━━━━━ メニュー内容 ①白さお約束コース 【プレミアムセルフホワイトニング】 60%以上の方が選択します! 合計8回2来店(1回8分照射)17600 円 ※ジェル代別途 ~しっかり2来店で今までにないセルフホワイトニング効果を実感 ~ セルフホワイトニング先進国USAで注目の世界最先端セルフホワイトニング薬剤で最高のセルフホワイトニング効果をお約束します。 業界初のセルフホワイトニングシステムでこれまでにない白さへの挑戦と満足度をお約束します! ②白さご体験コース 【ライトプレミアムセルフホワイトニング】 30%以上の方が選択します! 合計 6 回 2 来店(1 回 8 分照射)13200 円 ※ジェル代別途 ~先ずは2来店でセルフホワイトニング効果を体験 ~ USAで注目の世界最先端セルフホワイトニング薬剤で最高のセルフホワイトニング効果をご体験できます 当サロンだけのセルフホワイトニングシステムをご体感ください。 ③お手軽セルフホワイトニングコース 【ナチュラルセルフホワイトニング】 3 回(1 回 10 分照射)3,900 円 セルフホワイトニング未経験者や自然の白さを求める方へ、日本最高品質のクリーニングとコーティングによる W 効 果のセルフホワイトニングをご提供します。 ④パーフェクトプレミアムコース 【ダブルプレミアムセルフホワイトニング】 合計20回4来店(1 回 8 分照射)44,000 円 ※ジェル代別途 ~たっぷり4来店で理想のセルフホワイトニング効果を実感 ~ USAで注目の世界最先端セルフホワイトニング薬剤で最高のセルフホワイトニング効果をお約束します。 業界初のセルフホワイトニングシステムで歯科と同等レベルの白さへの挑戦と満足度をお約束します! ━━━━━━━━━━━━━━━━━━━━━━━━━━━━━━━━━━━━━━━━━━━━━━━━━ 当店のメニューは、セラミックのような白さ~清潔感のある自然な白さまで全ての要望を叶えます。 セルフホワイトニング業界で長年培ってきた実績と口コミが私たちの自信と信頼です。 その他セルフホワイトニングに関する質問は何でもお気軽にご相談ください。
プラチナム ビューティー横須賀店のプロフィール
「口コミ評価⭐︎5地域No.1⭐︎横須賀で1番白くなる」歯のセルフホワイトニングサロン、プラチナムビューティー横須賀店。 白く輝く歯で、笑顔に自信と清潔感を。
- 得意な施術
- メンズフェイシャル、メンズエステ、エイジングケア、フェイシャルエステ、ブライダルエステ
- 得意なイメージ
- 爽やか、ナチュラル、ブライダル
- 施術について
- 白さに自信あります✨✨ 完全個室の癒し空間でリフレッシュしながら清潔感あふれる自信のある笑顔を手に入れてくださいませ🦷✨





















