ログイン
美容室
美容室
ネイル
ネイル
マツエク
マツエク
眉毛サロン
眉毛サロン
エステ・リラク
エステ
カタログ
カタログ
トップ
美容サロン
兵庫
姫路・加古川
亀山駅
R E O T I A R A(レオティアラ)所属・高屋 昌子
美容サロンカタログ
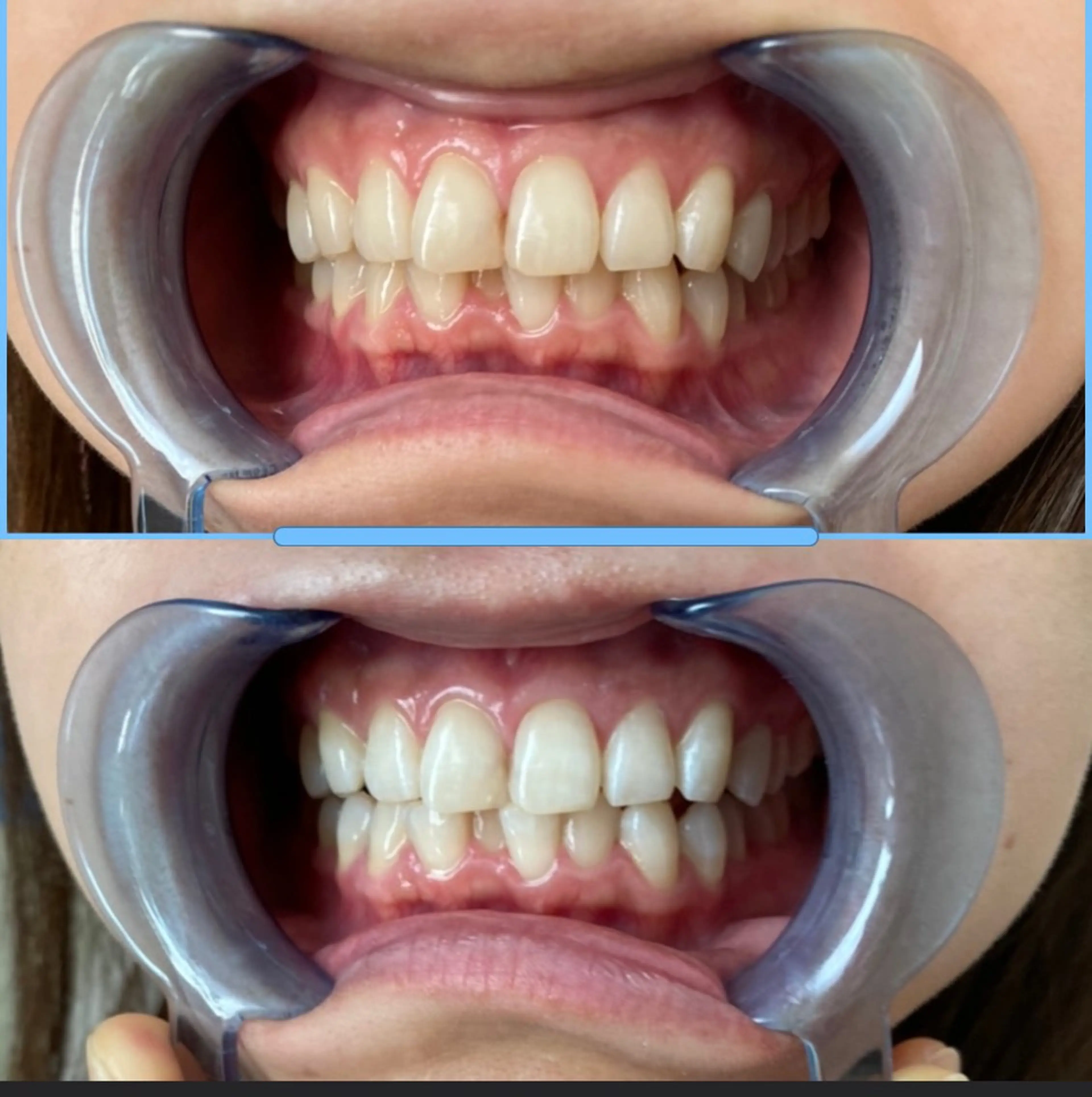
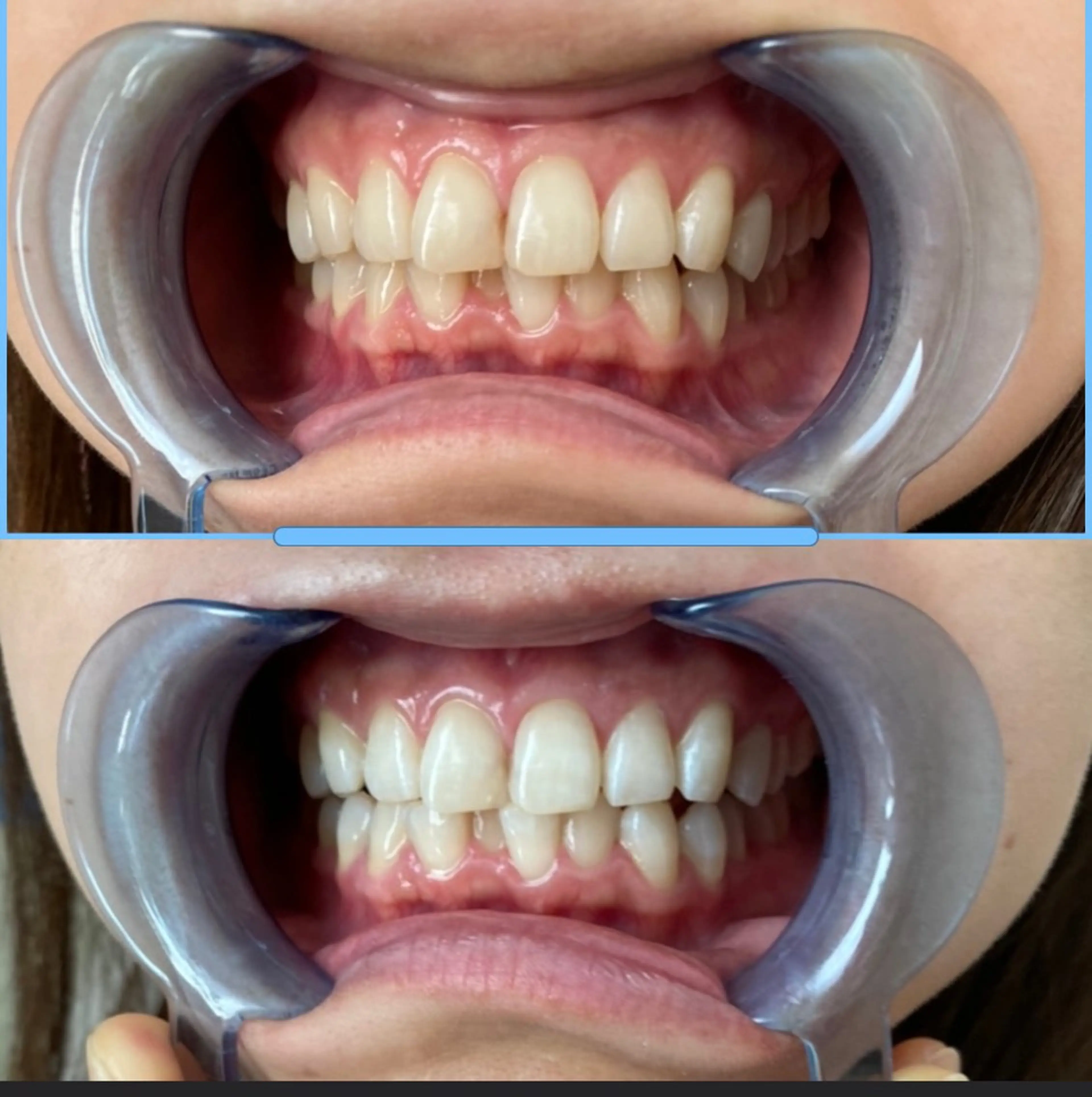
1回でこのぐらいが目安で 1トーン2トーンぐらいで個人差は有りますが少しずつ継続して白くなって行きま
R E O T I A R A(レオティアラ)
高屋 昌子
経験年数 10年以上
4.0
6
99
手柄駅
2026年3月20日
更新
トップ
フォト
メニュー
口コミ
1回でこのぐらいが目安で 1トーン2トーンぐらいで個人差は有 by R E O T I A R A(レオティアラ)所属・高屋 昌子
1回でこのぐらいが目安で 1トーン2トーンぐらいで個人差は有りますが少しずつ継続して白くなって行きます お忙しい中ご来店頂きありがとうございます❤️
2024年7月21日(日)21:44投稿
R E O T I A R A(レオティアラ)所属・高屋 昌子の美容サロンカタログ
フォトをすべて見る(234)
R E O T I A R A(レオティアラ)所属・高屋 昌子のメニュー
その他
小顔ハイリフトアップ目の周りのシワ乾燥肌コラーゲン補給女優肌 ヒト幹細胞炭酸パックは有名女優さん使っています
新規
¥5,500
予約
新規
¥5,500
予約
エステ
セルフホワイトニング最新マシーン キャンペーン中期間限定セール年々黄色くなる前に歯を白く輝に半額以下
新規
¥2,200
予約
新規
¥2,200
予約
エステ
セルフホワイトニング最新マシーン期間限定セール年々黄色くなる前に歯を白く輝に半額以下40分8800円を3980円
新規
¥3,980
予約
新規
¥3,980
予約
R E O T I A R A(レオティアラ)の詳細情報
R E O T I A R A(レオティアラ)
兵庫県姫路市中地南町95ー1 (
地図
)
手柄駅
エリア
亀山駅
営業時間
月 定休日 火 10:00-20:00 水 10:00-20:00 木 10:00-20:00 金 10:00-20:00 土 10:00-20:00 日 定休日 祝 10:00-20:00 定休日は日曜日と月曜日です。祝日も日曜日と月曜日は基本休みです。他の曜日の祝日は営業しています★
お支払い
クレジットカード
Mastercard / Visa / JCB / American Express / Diners Club / Discover / その他
席数
2席
駐車場
あり
禁煙・喫煙
禁煙
お子様連れ
なし
サロン電話番号
お問い合わせ先
高屋 昌子
フォト
メニュー
口コミ
姫路市で他におすすめの美容サロン一覧
明日行ける姫路市の美容サロン
メンズも歓迎な姫路市の美容サロン
ヘアセットができる姫路市の美容サロン
ヘッドスパができる姫路市の美容サロン
兵庫県で他におすすめの美容サロン一覧
明日行ける兵庫県の美容サロン
メンズも歓迎な兵庫県の美容サロン
ヘアセットができる兵庫県の美容サロン
ヘッドスパができる兵庫県の美容サロン
R E O T I A R A(レオティアラ)付近の駅の美容サロンを探す
亀山駅
手柄駅