

ホワイトニングサロンラウレアホワイトニングサロン ラウレア
経験年数 10年以上
ホワイトニングサロン ラウレアのメニュー
- 最短予約可能日
- 2/8 (日)
- 2/11 (水)
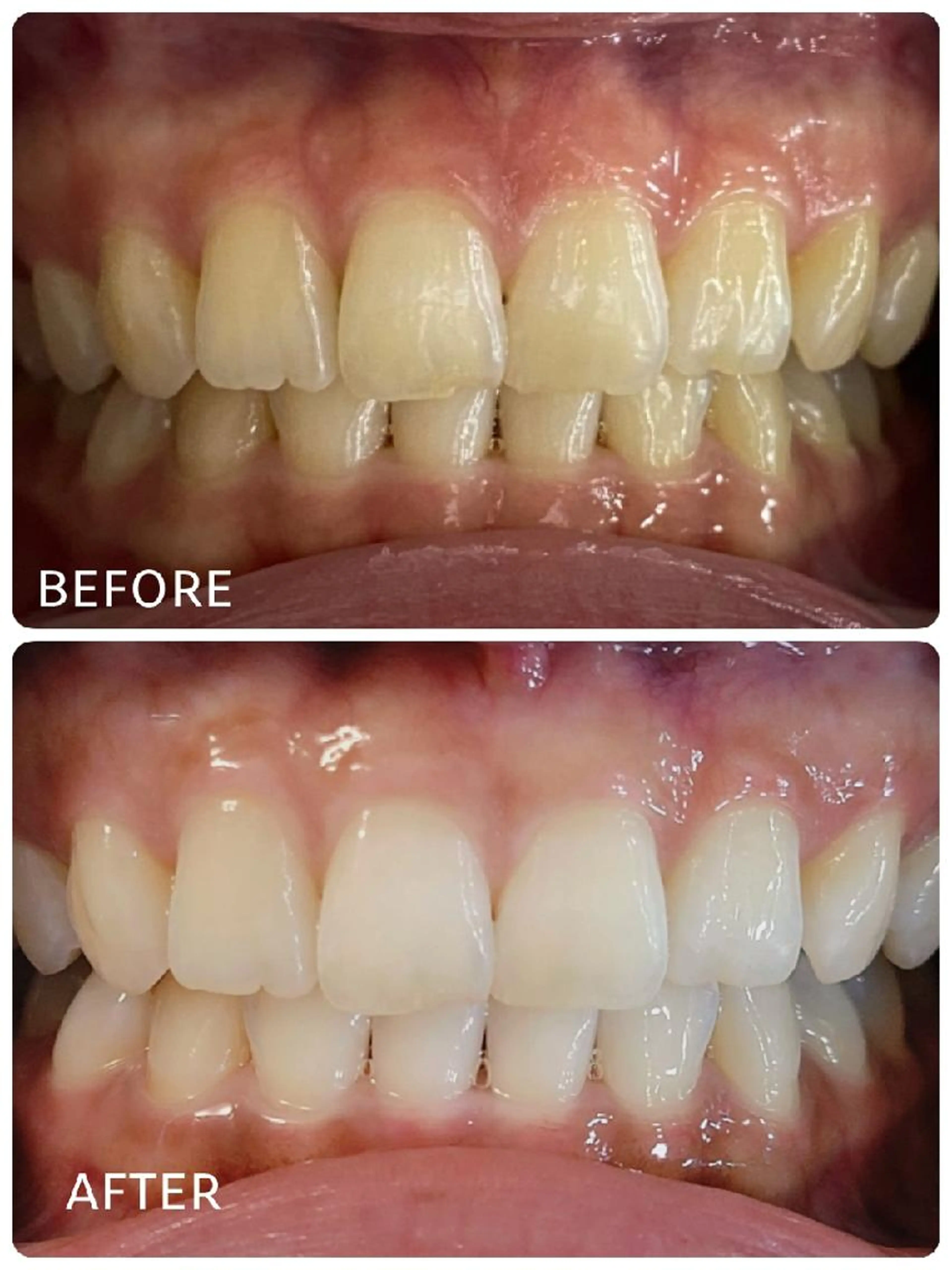
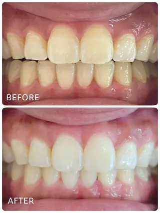
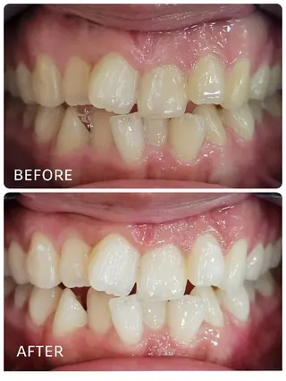
ホワイトニングサロン ラウレアのフォト
ホワイトニングサロン ラウレアの口コミ
仕上がり・技術
5.0コミュニケーション・サービス
5.0ミニモでの対応
5.0

ariiiさんの口コミ
女性 / 20代前半
初めての来店だったんですが、1回で5トーンも上がったみたいでこれからも是非通い続けたいなと思いました😌🦷✨ やり方も思ったり簡単で皆にも是非オススメしたいです。今日は有難う御座いました✨
来店日:2023年2月11日来店回数:8回
ホワイトニングサロン ラウレアさんからの返信
侑佳様 ご来店ありがとうございます😊 1回の施術でかなりトーンが上がりましたね🦷✨ 何度か回数を重ねて、どんどん白くなっているので これからも一緒に頑張りましょう🤲🏻 またのご来店、心よりお待ちしております🙇🏻♀️❤️
返信日:2023年7月10日
あすかさんの口コミ
女性 / 20代後半
いつも私のくだらない話を優しく聞いてくれるとうまさん! ホワイトニング行って歯は白くなって、ストレス発散、リラックスできるサロンです! 期限がない回数券はお得すぎるので通うなら回数券オススメです! ホワイトニングサロンどこ行こうか迷ってる人は絶対プラチナムビューティー北中城店行ってみた方がいいです!!
来店日:2022年6月20日来店回数:41回
comさんの口コミ
女性 / 30代前半
久々にホワイトニングで行きました! 一度の来店で歯のトーンが上がり、 どこのサロンよりも一回の来店で白くなるので毎回大満足です。スタッフさんも気さくでお話ししやすいです。いつもありがとうございます。
来店日:2022年2月21日
ホワイトニングサロン ラウレアさんからの返信
com様 嬉しい口コミありがとうございます🙇♀️🎵 定期的にご来店して頂き、白い歯をキープされていて 本当に素晴らしいです⭐ これからも引き続き サポートさせて頂ければと思いますので 宜しくお願い致します😊❣️
返信日:2022年3月4日
ホワイトニングサロン ラウレアのアピールポイント
痛みなし❌食事制限なし❌コースは有効期限なしで、ご自身のペースで通えます🦷✨10代〜70代までのお客様にご利用いただいております😁
当日キャンセルはご遠慮願います。 現金払いのみになります。
ホワイトニングサロン ラウレアのプロフィール
初めまして😊ホワイトニングの仕事を始めて10年になります🦷✨
- 施術について
- ホワイトニングの効果に自信があります‼️ 皆さまの歯を白くツルツルにします🦷✨ また、お客様のお声に耳を傾け 丁寧に寄り添った接客を心がけております😌
- 性別
- 女性













