

お手軽ホワイトニングsalon mina武元 奈津美
経験年数 4年
- 仕上がり満足度が高い100%のお客様が高い評価をつけています
- サービス満足度が高い100%のお客様が高い評価をつけています
お手軽ホワイトニングsalon mina所属・武元 奈津美のメニュー
- 最短予約可能日
- 2/23 (月)
- 2/28 (土)
お手軽ホワイトニングsalon mina所属・武元 奈津美の動画
お手軽ホワイトニングsalon mina所属・武元 奈津美の口コミ
仕上がり・技術
4.9コミュニケーション・サービス
4.9ミニモでの対応
4.7
- 掲載者がピックアップ

Nさんの口コミ
女性 / 30代前半
初めてのホワイトニングでしたが全く痛みもなく驚きの白さを体験できました! とても丁寧なカウンセリングでサロンの雰囲気もとてもよかったです ܸ. ̫ .ܸ 本来の白さを取り戻すまでよろしくお願い致します!
来店日:2022年6月24日
武元 奈津美さんからの返信
N様 口コミを書いていただきありがとうございます‼︎ 痛みに対して不安があったとのことでしたが、一歩踏み出してご来店いただけてよかったです😌✨ これから一緒にご希望の白さまでもっていきましょうね。 こちらこそよろしくお願いいたします。 この度のご来店ありがとうございました🥺❣️ Whitening salon bright兵庫伊丹店
返信日:2022年6月24日 
aoiさんの口コミ
女性 / 20代前半
初めてのホワイトニングでしたが、スタッフさんがとても優しく、明るく丁寧に対応してくださって安心できました☺️ お店も清潔感があって落ち着いた雰囲気でした🌿 1回でトーンアップも実感できて嬉しかったです! 来週もよろしくお願いします🤍゛
来店日:2025年10月20日
marinさんの口コミ
女性 / 20代前半
本当にホワイトニングというものが初めてで、不安でしたがとてもアットホーム🏠な雰囲気で施術も個室で行うという流れで、スタッフさん?もとても丁寧に説明してくれてめちゃくちゃ良かったです😭1回でかなり効果も実感出来ました!!二三ヶ月通ってみようと思います👊👊!
来店日:2024年3月18日
武元 奈津美さんからの返信
口コミありがとうございます‼︎ ホワイトニングってこんな簡単にできてちゃんと白くなるのね!ということを知っていただけたら光栄です💜 最初は短いスパンで通うことでより本来の白さに持っていきやすくなるのでまたぜひ近いうちにお越しください🙌 この度のご来店ありがとうございました☆
返信日:2024年4月5日
お手軽ホワイトニングsalon mina所属・武元 奈津美のアピールポイント
🌺半個室でセルフホワイトニング&毛穴洗浄🌺▶︎セルフホワイトニング 初回¥2500❣️▶︎毛穴洗浄 初回¥30で毛穴レスな肌を取り戻す❤️🔥
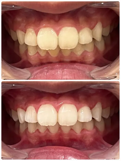
「ホワイトニングと言えば歯医者」…? 「ホワイトニングって有名人がするものでしょ?」 「エステでお肌綺麗にしたいけど高いよなあ。」 いえいえ! 今はサロンで誰でも気軽に ホワイトニングができますよ🦷💓 毛穴洗浄は特化した機械で、お手軽&低価格で 黒ずみとおさらばできます👋♡ 気になる効果はスナップフォトにも載っておりますが まずはお試しいただくのが一番信頼できると思います☀︎ ぜひ、本来の歯の白さを知っていただき 口内環境を今よりも良くしましょう😌✨ 〜ご予約について〜 平日の昼間は比較的お取りしやすいです😆 直前予約もOKです🙆🏻♀️ 他の予約サイトとの兼ね合いで 時間の調整をご相談させていただく場合があります🙇🏻♀️
お手軽ホワイトニングsalon mina所属・武元 奈津美のプロフィール
はじめまして✨ お手軽ホワイトニング salon minaです🤍💙🤍 伊丹/川西/宝塚/尼崎/西宮/豊中 🦷セルフホワイトニング🦷 💆♀️毛穴洗浄💆♀️ 「白い歯に憧れる‼︎」 「お肌の毛穴に悩みがある」 お任せください😆❣️
- 得意な施術
- フェイシャルエステ、ブライダルエステ、角質ケア、毛穴ケア、ニキビケア、メンズフェイシャル
- 得意なイメージ
- ナチュラル、オフィススタイル、ブライダル、爽やか
- 施術について
- ★初回はカウンセリングからスタート‼︎ ★カウンセリングで不安が解消できない場合は 無理に施術をいたしません ★都度払いで安心♡ ★痛みはほとんどありません‼︎ ★ネイルサロン併設で、半個室の特別空間♩
- 趣味・好きなこと
- 映画を観ること、バイクに乗ること、寝ること
- 資格・役職
- オーナー
- 性別
- 女性























