
- 仕上がり満足度が高い96%のお客様が高い評価をつけています
- サービス満足度が高い96%のお客様が高い評価をつけています
ホワイトニングルーム 川崎店所属・ホワイトニング ルーム 川崎店のメニュー
- 最短予約可能日
- 12/26 (金)
- 12/27 (土)
- 1/5 (月)
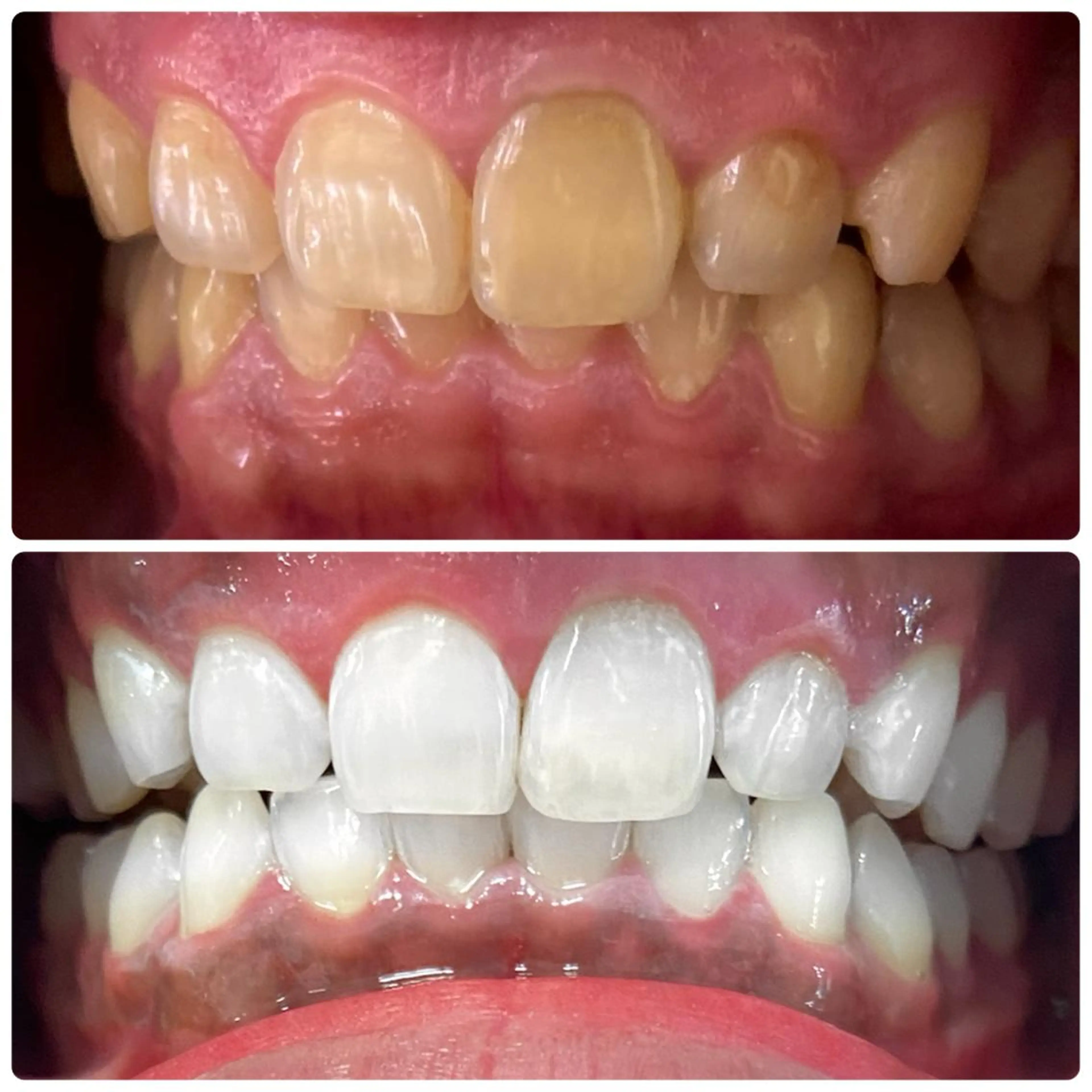
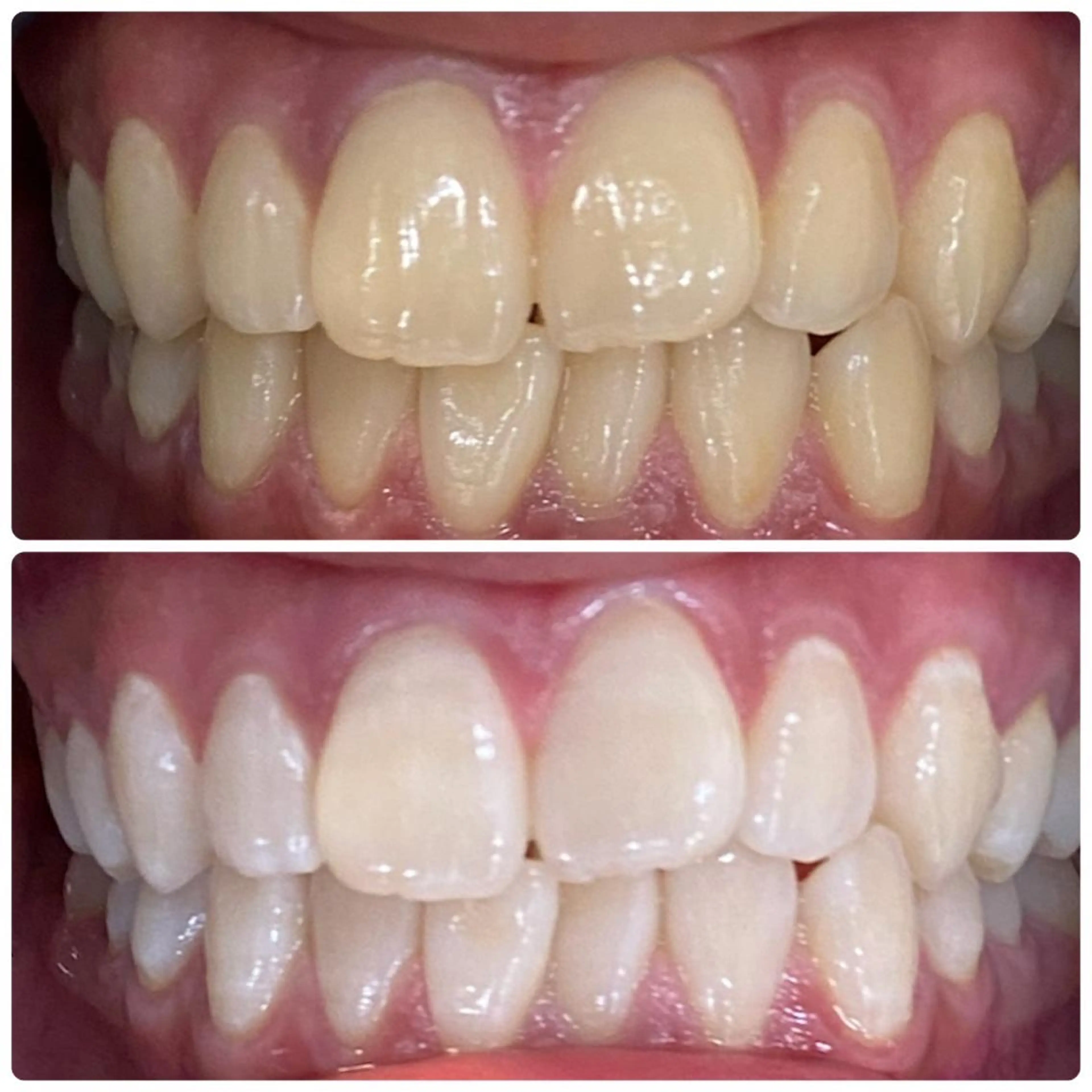
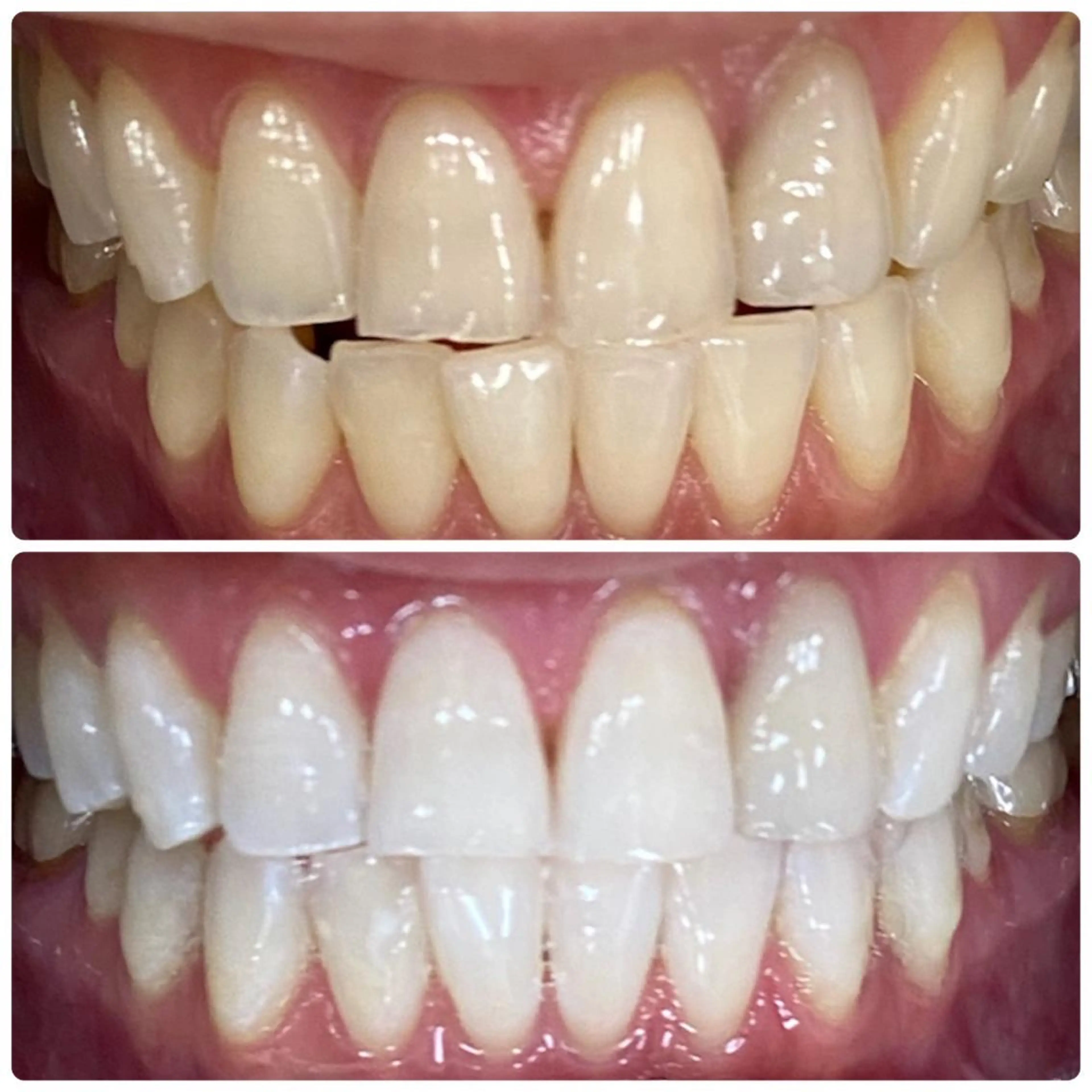
ホワイトニングルーム 川崎店所属・ホワイトニング ルーム 川崎店のフォト
ホワイトニングルーム 川崎店所属・ホワイトニング ルーム 川崎店の口コミ
仕上がり・技術
4.8コミュニケーション・サービス
4.9ミニモでの対応
4.8
- 掲載者がピックアップ

🌷さんの口コミ
女性 / 10代前半
この度は誠にありがとうございました! メッセージもすごくご丁寧でお優しくて嬉しかったです( *´꒳`*)初めてのホワイトニングで少し不安がありましたがお姉さんもお優しくて、効果も実感できてとても嬉しかったです!! お値段もお安くてありがたいです 本当にありがとうございます🙇🏻♀️՞
来店日:2025年6月30日
ホワイトニング ルーム 川崎店さんからの返信
🌷様 この度はwhitening room川崎店をご利用頂き誠に ありがとうございました😆✨ 当店のホワイトニング効果をご実感頂けて大変嬉しく思います♪ 初回でとてもトーンアップされていましたね🦷✨ またスタッフの対応をお褒め頂きありがとうございます🥹 大変励みになります!! 2回目以降もしっかりとサポートさせて頂きますので ご安心くださいね🤗 この度は高評価に嬉しい口コミのご投稿ありがとうございました🤍 またのご来店も心よりお待ちしております🙇🏻♀️🙏 ホワイトニングルーム川崎
返信日:2025年12月12日 
みさんの口コミ
女性 / 20代前半
とても分かりやすい説明や話しやすい雰囲気、目に見える変化で最後までとても満足でした꒰ ᐡᴗ͈ ·̫ ᴗ͈ ꒱ ♡ ありがとうございました!🎀
来店日:2025年11月26日
ホワイトニング ルーム 川崎店さんからの返信
み様 この度はwhitening room川崎店をご利用頂き誠に ありがとうございます☺️✨ 当店のホワイトニング効果をご実感頂けて大変嬉しく思います🤍 また、スタッフの対応もお褒め頂きありがとうございます🥹 また歯のお色が気になりましたらご来店ください✨ 2回目以降もしっかりとサポートさせて頂きますので ご安心くださいね😌 この度は高評価に嬉しい口コミのご投稿ありがとうございました🤍 またのご来店も心よりお待ちしております🙇🏻♀️ ホワイトニングルーム川崎
返信日:2025年12月12日
ちえさんの口コミ
女性 / 20代後半
一度でかなり白くなったように感じます!ありがとうございました!
来店日:2025年10月20日
ホワイトニング ルーム 川崎店さんからの返信
ちえ様 この度はwhitening room川崎店をご利用頂き誠に ありがとうございます☺️✨ また、大変嬉しい口コミのご投稿ありがとうございます🥹 初回でとても歯のお色白くなられていましたね✨ 回数を重ねて頂くと定着効果も上がってまいりますので ちえ様の理想の白さを目指して一緒に頑張っていきましょう😌 セルフサービスではございますがお通い頂く中でご不明点等 ございましたらいつでもサポートさせていただきますので お気軽にお声がけくださいませ🙇🏻♀️ この度は高評価に嬉しい口コミのご投稿ありがとうございました🤍 次回のご来店も心よりお待ちしております🤗 ホワイトニングルーム川崎
返信日:2025年12月12日
ホワイトニングルーム 川崎店所属・ホワイトニング ルーム 川崎店のアピールポイント
【ホワイトニング専門サロン】最新マシン使用で従来の3倍のスピードで白く❤️🔥本格的なホワイトニングが体験できるサロン🦷安い×白くなる×痛くない!初回体験以降も地域最安値!1回30分4100円😳
初回平均6トーンアップの実力🔥 💙痛みのない最新マシーン使用 💙ホワイトニング専門サロン 💙メンズOK 💙広々個室でリラックスのできる空間 初回体験後の価格もどこよりも安く🔥 30分照射4100円😳!!! 専門のスタッフがマンツーマンで対応しますので 初めてのセルフホワイトニングでも安心してご来店下さい🦷⭐️ 🤍初回カウンセリング →使う機材やセルフホワイトニングについての説明 🤍セルフホワイトニング →スタートの歯の色をチェック! 専用のホワイトニングジェルを歯に塗り、LEDライトを照射します💡𓈒𓂂𓏸 痛みは無く、ほんのり暖かい感じです☺ 🤍歯磨き →当サロン自慢の歯磨き粉を使いさらに白く! ホワイトニング後の歯の色をチェックして比較します✨ 🤍次回以降の説明 →お客様に合わせた複数のプランからお好きなプランを選んで頂きます。もちろん初回体験のみのお客様も大歓迎です😊
ホワイトニングルーム 川崎店所属・ホワイトニング ルーム 川崎店のプロフィール
- 資格・役職
- オーナー
- 性別
- 女性

























