

whiteningforall長濱 彰乃
経験年数 1年
沖縄
更新
whiteningforall所属・長濱 彰乃のメニュー
whiteningforall所属・長濱 彰乃の口コミ
仕上がり・技術
-コミュニケーション・サービス
-ミニモでの対応
-
whiteningforall所属・長濱 彰乃のアピールポイント
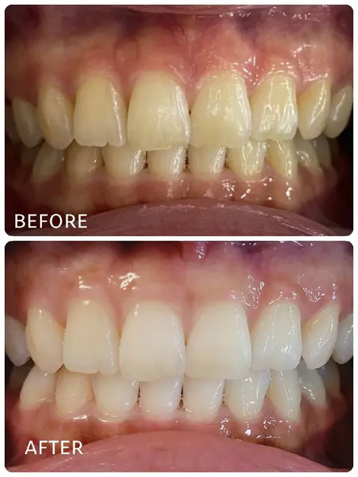
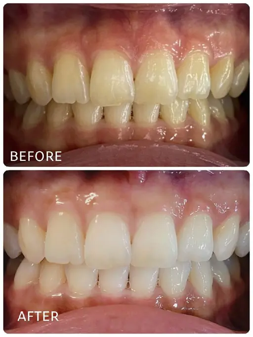
ClosetforALLのセルフホワイトニング🦷・ セルフホワイトニングちゅらさんから最先端機器導入 セルフホワイトニングの知識学んでます🎵 美人への近道✨白い歯すぐ実感頂けます。
お客様ご自身で行っていただく低価格・短時間で実現可能な歯のホワイトニングサービスです。 ・ 歯にも体にも優しい安全な溶液とLEDライトを使ったホワイトニングです。 歯にスプレーするホワイト溶液は、酸化チタンを主成分にしています。 (酸化チタンとは、食品や歯磨き粉等の医療品・化粧品等多くのものに使用されている、安全性の高い無機化合物でホワイト溶液は医療法人DSA天神徳永皮フ科クリニックが監修しています。) 光触媒作用の効果として「汚れ分解」「抗菌・殺菌」「消臭」の効果が得られます。
whiteningforall所属・長濱 彰乃のプロフィール
- 趣味・好きなこと
- ゴルフ🏌️♀️食べる事😋
- 資格・役職
- オーナー
- 性別
- 女性













