

経験年数 10年以上
北花田駅1分 / 浅香駅18分 / 堺市駅27分
更新
- リピーター多数多くのお客様が繰り返し予約しています
- エステが好評エステを施術した96%のお客様が満足しています
- 仕上がり満足度が高い100%のお客様が高い評価をつけています
土日が混み合ってきてます。 ご予約取りにくいとゆうお声もあり by ハーブピーリング専門 🌿モッカ
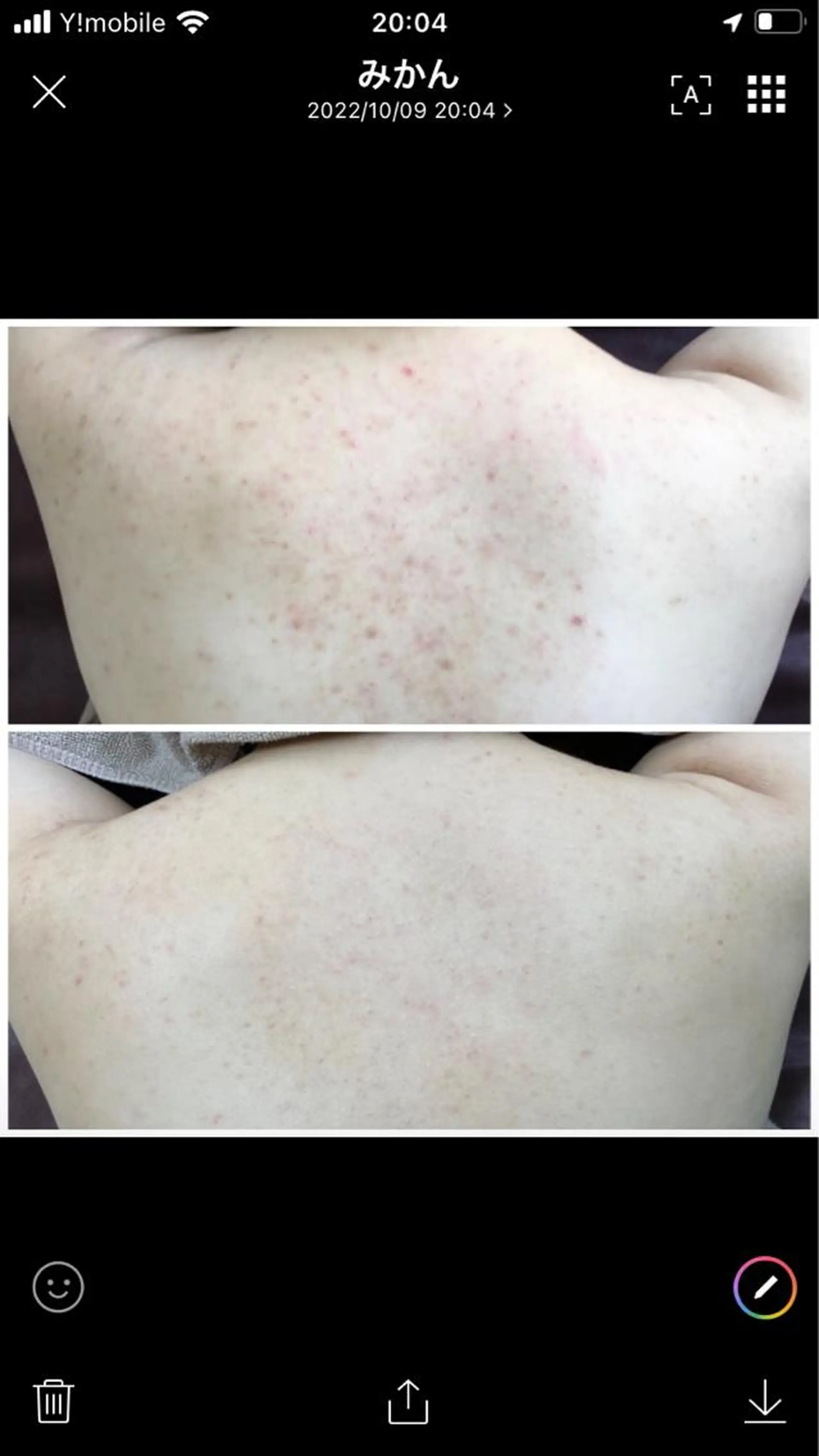
土日が混み合ってきてます。 ご予約取りにくいとゆうお声もありますので、希望日時は早めのご予約をオススメします。20代前半の方です。 2回施術され、3回目にこられました。 中学生くらいからずっとニキビが出来ていてを繰り返していたのでニキビ跡も出来ています。 よくなるのに5.6回はかかるかなと思っていたら、2回しか施術してないですが、かなりニキビ、ニキビ跡が綺麗になられてます。 とても経過の良い方です。 10代、20代の方は夏に肩や背中あいた服が着たいとこられますが、今くらいから綺麗にしてたらちょうどいいですね。

対応メニュー
ハーブピーリング専門 🌿モッカのエステ・リラクフォト
ハーブピーリング剥離あり、なし モッカ 北花田店の詳細情報
ハーブピーリング剥離あり、なし モッカ 北花田店
大阪府堺市北区宮本町
プライベートサロンのため、住所の詳細は予約確定後にメールでお知らせします
北花田駅1分 / 浅香駅18分 / 堺市駅27分
北花田駅②番出口
布忍駅 新金岡駅 堺市駅 あびこ駅 堺東駅 河内松原駅
#大阪 #天王寺 #難波 #心斎橋
















