ログイン
美容室
美容室
ネイル
ネイル
マツエク
マツエク
眉毛サロン
眉毛サロン
エステ・リラク
エステ
カタログ
カタログ
トップ
美容サロン
三重
津駅
ホワイトニングショップ津店所属・ホワイトニング ショップ津店
美容サロンカタログ
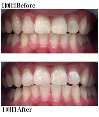
こんにちは♪ ホワイトニングショップ津店です♪ 歯を白くすることで口元の清潔感アップ⤴️ それだけで
ホワイトニングショップ津店
ホワイトニング ショップ津店
経験年数 1年
5.0
2
55
津駅10分
2026年3月29日
更新
トップ
フォト
メニュー
口コミ
こんにちは♪ ホワイトニングショップ津店です♪ 歯を白くす by ホワイトニングショップ津店所属・ホワイトニング ショップ津店
こんにちは♪ ホワイトニングショップ津店です♪ 歯を白くすることで口元の清潔感アップ⤴️ それだけで人に与える第一印象がとっても良くなります🙆 是非一度、当店のホワイトニングをお試しください💓
2024年2月13日(火)10:17投稿
対応メニュー
その他
お試しホワイトニング🦷【平日のみ】15分✖️1回¥1660🎶
新規
¥1,660
予約
新規
¥1,660
予約
利用条件
平日のみ
ホワイトニングショップ津店所属・ホワイトニング ショップ津店の美容サロンカタログ
フォトをすべて見る(566)
ホワイトニングショップ津店所属・ホワイトニング ショップ津店のメニュー
その他
【お昼割🕛】¥6980→¥2200🦷
新規
¥2,200
予約
新規
¥2,200
予約
その他
お試しホワイトニング🦷【平日のみ】15分✖️1回¥1660🎶
新規
¥1,660
予約
新規
¥1,660
予約
利用条件
平日のみ
その他
【回数券お持ちの方】セルフホワイトニング次回予約用
リピーター
¥0
アプリで予約
リピーター
¥0
アプリで予約
アプリから予約可能なメニューです
その他
【単発でご予約】来店2回目〜回数券お持ちでない方。セルフホワイトニング20分照射×2回
リピーター
¥6,980
予約
リピーター
¥6,980
予約
その他
【プレミアムコース✨】家族、友達、恋人とシェア可能!!セルフホワイトニング20分照射×50回
全員
¥65,000
予約
全員
¥65,000
予約
メニューをすべて見る(9)
ホワイトニングショップ津店の詳細情報
ホワイトニングショップ津店
三重県津市羽所町517 ツツミビル3階 (
地図
)
津駅10分
エリア
津駅
営業時間
予約画面をご確認ください
席数
2席
駐車場
あり
禁煙・喫煙
禁煙
お子様連れ
お子様連れ可
サロン電話番号
お問い合わせ先
ホワイトニング ショップ津店
フォト
メニュー
口コミ
津市で他におすすめの美容サロン一覧
明日行ける津市の美容サロン
メンズも歓迎な津市の美容サロン
ヘアセットができる津市の美容サロン
ヘッドスパができる津市の美容サロン
三重県で他におすすめの美容サロン一覧
明日行ける三重県の美容サロン
メンズも歓迎な三重県の美容サロン
ヘアセットができる三重県の美容サロン
ヘッドスパができる三重県の美容サロン
ホワイトニングショップ津店付近の駅の美容サロンを探す
津駅