

LBSホワイトニング銀座店エルビーエスホワイトニングギンザテンLBSホワイトニング 銀座店💎スタッフ峯
経験年数 4年
- 仕上がり満足度が高い100%のお客様が高い評価をつけています
- サービス満足度が高い100%のお客様が高い評価をつけています
LBSホワイトニング 銀座店💎スタッフ峯のメニュー
- 最短予約可能日
- 12/26 (金)
- 12/27 (土)
- 12/28 (日)
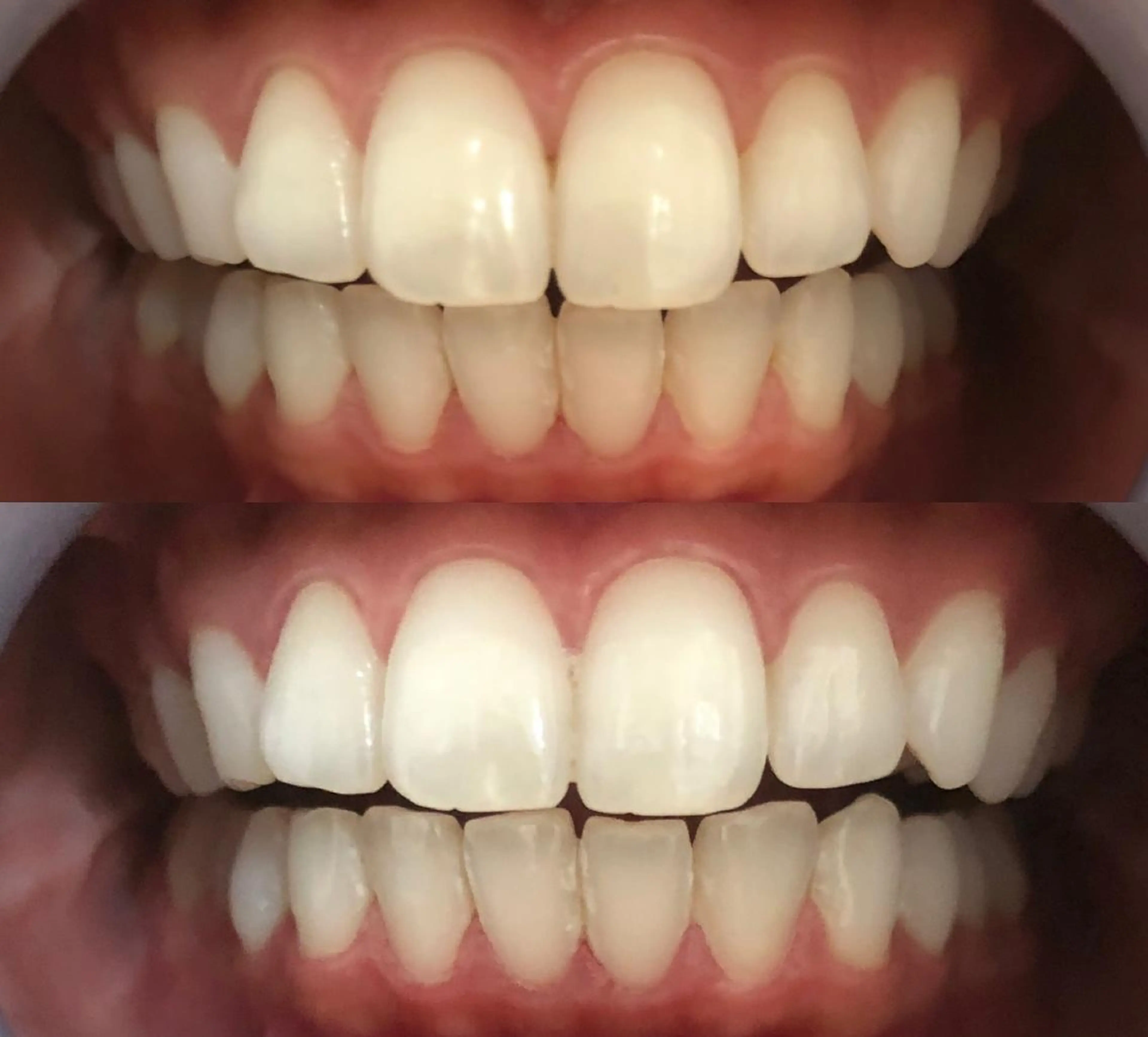
LBSホワイトニング 銀座店💎スタッフ峯のフォト
LBSホワイトニング 銀座店💎スタッフ峯の口コミ
仕上がり・技術
5.0コミュニケーション・サービス
5.0ミニモでの対応
5.0
- 掲載者がピックアップ

さーまんさんの口コミ
女性 / 20代後半
毎日コーヒーを飲んでいますが 黄ばみが気にならない位に歯を白くする事ができました🦷✨ 通いはじめてから理想の白さまで白くなっているので、 この白さをキープできる様に頑張って続けたいと思います!
来店日:2025年8月10日来店回数:7回
LBSホワイトニング 銀座店💎スタッフ峯さんからの返信
さーまん さん いつも、ご利用いただきありがとうございます。 コーヒーを飲んでても白くなった実感があって嬉しいです😊✨ 白さのキープは継続をしていただくことです! 今後も精一杯、お手伝いいたします🙇♀️ 次回お会いできるのを楽しみにしております🫧
返信日:2025年8月19日 
バンビさんの口コミ
女性
お店が綺麗で居心地が良かったです! 対応も丁寧で楽しい時間を過ごせました。 1回で効果を感じたので、理想の白さになるように通わせていただきます。 よろしくお願いいたします!
来店日:2025年8月11日
aaaさんの口コミ
女性 / 30代後半
定期的に通わせていただいてます! 予約も取りやすく、価格もお手頃なので通うのも苦じゃないです! 明るいスタッフさんにいつも元気もらってます♪ 今後ともよろしくお願いします!
来店日:2025年8月10日来店回数:9回
LBSホワイトニング 銀座店💎スタッフ峯さんからの返信
aaa 様 いつも、ご利用いただきありがとうございます♪ また口コミもありがとうございます。 会員様は予約が取りやすいのも、通い続けていただけるポイントだと思います!苦にならず、通っていただけてて良かったです😊 私もaaa様から元気をもらい、楽しい時間を過ごさせていただいてます! これからもよろしくお願いします✨ 次回のご来店も楽しみにしております。
返信日:2025年8月17日
LBSホワイトニング 銀座店💎スタッフ峯のアピールポイント
9月のご予約受付中🫧【1回照射たった5分で効果実感⭐️】照射パワー2倍のハイパワーセルフホワイトニング🦷丁寧な接客が人気💓痛み・食事制限なし!初めてのかたも安心してご来店ください😊
手軽に楽しく白い歯が目指せる🦷 セルフホワイトニング専門店💠 LBSホワイトニング銀座店です🕊 この度は数あるホワイトニングサロンの中、ご覧いただきありがとうございます🎀 ーーーーーーーーーーーーーーーーーーーー 🩵LBSホワイトニングの想い🩵 2014年に1店舗目がオープンし、 現在全国11店舗あるセルフホワイトニングサロン🌏✨ お客様の歯を白くするだけでなく! ホワイトニングを通じて お客様の人生がより明るく、素敵なものになるよう🌈 スタッフ一同、日々サービスの向上に努めております🙇♀️ LBSは日本一安心できるホワイトニングサロンを目指します👑 そして皆さまに安心・安全・楽しい ホワイトニングを提供し続けます❣️ ✨LBSのセルフホワイトニングとは✨ 💠痛みやダメージのない安全なホワイトニングジェルを使用 💠美肌効果もある青色LED照射機を導入 💠駅近で通いやすい好立地 💠学生さんでも通えるリーズナブルな価格設定 🌟施術前後の食事制限がないのでお気軽にご来店いただけます!! 🌟お客様にリラックスして頂けるアットホームな空間 🌟気さくなスタッフ達が毎日元気にお待ちしております!! ホワイトニングが初めての方はもちろん、 ホワイトニング経験者の方もご満足頂けるサービスを提供しております☺️🌈 歯を白くする以外にも *歯垢除去 *口臭予防 *歯周病予防 *虫歯予防 などたくさんの効果が期待できます🙆♀️ 💓最後に💓 お客様の歯が白くなりもっと笑顔になってほしい。 自分の歯が白くなることによって自信を付けてほしい。 その輝く白い歯の笑顔で周りの人を笑顔にしてほしい。 そういった人が人を想う気持ちを大切に 親身になって接客させて頂いております😊💓 当店では「強引な勧誘をしない」ということを第一に掲げておりますので、ご安心くださいませ🍀 不安な点などあればお気軽にご相談下さい☺️ 皆さまのご来店をスタッフ一同心よりお待ちしております💖
LBSホワイトニング 銀座店💎スタッフ峯のプロフィール
こんにちは! セルフホワイトニング専門店 LBSホワイトニング銀座店です🌐 ホワイトニングを通して皆さまの笑顔がより輝きますように💖 精一杯お手伝いさせていただきます🙇♀️✨ 快適にホワイトニングをしていただけるよう努めて参りますので、 初めての方もぜひお気軽にご来店くださいませ🌺♡
- 得意なイメージ
- ブライダル
- 施術について
- アットホームなサロンなので初めての方も安心してご来店ください✨ 当店のホワイトニングジェルは自社開発の歯に優しいジェルを使用しております🦷 しみたり、ダメージなく歯を白くしていく事ができます‼︎ 更にコーティング効果もあり、食事制限もありません😊 着色しにくい歯を目指しましょう♪
- 趣味・好きなこと
- 美容
- 資格・役職
- ホワイトニングカウンセラー
- 性別
- 女性






























