
- 仕上がり満足度が高い100%のお客様が高い評価をつけています
- サービス満足度が高い100%のお客様が高い評価をつけています
プラチナムビューティー柏所属・【歯科提携】柏ホワイ トニングスタイルのメニュー
- 最短予約可能日
- 1/4 (日)
- 1/5 (月)
- 1/6 (火)
プラチナムビューティー柏所属・【歯科提携】柏ホワイ トニングスタイルのフォト
プラチナムビューティー柏所属・【歯科提携】柏ホワイ トニングスタイルの動画
プラチナムビューティー柏所属・【歯科提携】柏ホワイ トニングスタイルの口コミ
仕上がり・技術
4.9コミュニケーション・サービス
5.0ミニモでの対応
5.0
- 掲載者がピックアップ

志穂さんの口コミ
女性 / 20代前半
はじめてのホワイトニングで不安もありましたが、わかりやすく説明してくださり、ジェルの塗り方などやり方も丁寧に教えていただけました。親切な対応に効果もしっかり実感できたのでこれからも楽しみです‼︎
来店日:2024年2月19日 
やましたさんの口コミ
女性 / 10代後半
初めてホワイトニングをしましたが、一回でだいぶ白くなり、大変満足させていただきました!!
来店日:2025年12月16日
ミミさんの口コミ
女性
丁寧に説明していただき安心して施術していただきました。 一回で白くなり効果に驚きました! ありがとうございました。
来店日:2025年9月2日
プラチナムビューティー柏所属・【歯科提携】柏ホワイ トニングスタイルのアピールポイント
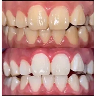
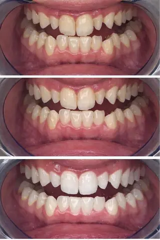
【初回平均6トーンアップ】歯科提携ホワイトニング専門店!痛みや食事制限無しで初回から白くなります❣️️ 【FDA承認のホワイトニングジェルを独占紹介!国内初の使用可能店】セラミックレベルの白さ可能✨
初回から白くなる🦷歯科提携のホワイトニング専門サロン 独自のホワイトニングシステムにより、FDA承認済みの本格的なホワイトニングジェルが使用可能になりました☺️ 国内初!痛みや食事制限無しの本格的なホワイトニング✨ 🚃柏駅徒歩5分 ・国内最高峰ハイパワー3色LEDライト使用 ・独自開発の高濃度配合ジェル使用 最先端のライトとジェルで全く痛くないのでご安心ください 他サロンさんとの圧倒的な違いは初回の体験で感じていただけます。 💎歯科医提携 💎痛み、食事制限無し 💎初回からわかる圧倒的な白さ 💎個室のプライベート空間 💎1回1980円~ 💎男性のお客様・お友達同士・お子様同伴大歓迎 💎ジェルを塗ってライトを当てるだけ 💎差し歯・セラミックなどの人工歯もホワイトニング可 初めてのセルフホワイトニングでも安心して受けていただけるようにしっかりサポートさせて頂きます。 -…----来店時の流れーーーーーー ①カウンセリング 現在の歯の色をチェック 歯の着色の原因、セルフホワイトニングの仕組み、使う機材の説明をしますし 不安な点や質問はお気軽にお尋ねください。 ②セルフホワイトニング 専門のスタッフが隣でサポートします。 初めての方でも簡単にホワイトニングができます ③トーンチェック スタートの歯の色と体験後の色を比べます。 平均5~6トーンアップ ④今後の説明 お客様の目標の歯の色をお伺いします。 現在の歯の色と比較し、必要な来店回数とだいたいの総額をお伝えします。 複数のプランがあるので気に入ったコースがあれば選択してください☺️ もちろん初回体験のみも大歓迎です✨ ※ご予約の際は右上の♥を押してください! メッセージのやり取りがスムーズにできます!!
プラチナムビューティー柏所属・【歯科提携】柏ホワイ トニングスタイルのプロフィール
当店はカウンセリング重視のサロンです💎 初めての方や経験者様にも満足していただける接客をこころがけております。歯科提携サロンなのでナチュラルな白さ〜セラミックレベルの白さまでご案内可能❗️
- 得意な施術
- ブライダルエステ
- 得意なイメージ
- メンズ、ブライダル、パーティ
- 施術について
- 【歯科医連携ホワイトニング専門店】 他のサロンさんで効果を感じられなかったお客様も 当店での効果をしっかり実感して頂き、 10代〜70代まで幅広い層のお客様にご利用頂いております😌❣ 日常のケアはもちろん デートや結婚式、大切なイベントの前に 是非お越しください💎✨✨
- 趣味・好きなこと
- 書道
- 資格・役職
- 店長、代表
- 性別
- 女性






























