
- 仕上がり満足度が高い100%のお客様が高い評価をつけています
- サービス満足度が高い100%のお客様が高い評価をつけています
ホワイトニング|韓国式3D毛穴洗浄 lonhana ロンハナ所属・韓国式3D毛穴洗浄 lonhanaのメニュー
- 最短予約可能日
- 1/4 (日)
- 1/6 (火)
- 1/7 (水)
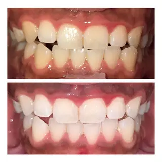
ホワイトニング|韓国式3D毛穴洗浄 lonhana ロンハナ所属・韓国式3D毛穴洗浄 lonhanaのフォト
ホワイトニング|韓国式3D毛穴洗浄 lonhana ロンハナ所属・韓国式3D毛穴洗浄 lonhanaの口コミ
仕上がり・技術
4.9コミュニケーション・サービス
4.9ミニモでの対応
5.0

ななしのさんの口コミ
女性 / 10代後半
分かりやすく写真まで撮ってくださったため、とても白くなったのが分かりやすかったです!
来店日:2025年10月9日
韓国式3D毛穴洗浄 lonhanaさんからの返信
ななしの様 先日はご来店ありがとうございました! 施術メニューの学割15分照射で 驚異的なトーンUPでしたね!🤭 ななしの様の理想である“自然な白さ”へ向けて また必要なときにご相談ください✨ 次回も前後写真で白さアップデートしていきましょう! またメンテナンスでお待ちしてます🕊️ 久留米ホワイトニング 久留米 韓国式3D毛穴洗浄 lonhana|担当 井上
返信日:2025年11月9日
ノンノンさんの口コミ
女性 / 60代後半
丁寧な対応して頂き、とても良かったです。化粧品の説明も丁寧にして頂き、サンプルも頂きました。ホワイトニングも凄く綺麗にやって頂きました。
来店日:2025年10月7日
韓国式3D毛穴洗浄 lonhanaさんからの返信
ノンノン様 この度は束の間の帰省に、当店をお選びいただきありがとうございました☺️ ホワイトニングでは日頃の着色が1度でもするんと落ちていらっしゃいましたね。帰り際、ノンノン様の白い歯笑顔が印象的でした◎ お肌に関しても、日頃からスキンケアへの関心が高いノンノン様に合成界面活性剤フリー/ナノカプセル型のフェース化粧品はお肌に合いましたでしょうか☺️ また帰省された際は、感想をお聞かせいただけると嬉しいです。 お肌やお口まわりのケアでまたお会いできる日を楽しみにしております。 久留米ホワイトニング 久留米 韓国式3D毛穴洗浄 lonhana|担当 井上
返信日:2025年11月9日
kanakoさんの口コミ
女性
初めてのホワイトニングでしたが一回でも効果が実感できて嬉しかったです! それでも帰宅後に見直したらまだまだだな〜と思ったのでこれから白くしていければと思います🦷✨またよろしくお願いします!
来店日:2025年7月26日来店回数:3回
韓国式3D毛穴洗浄 lonhanaさんからの返信
kanako様 初めてのホワイトニングをお任せいただき ありがとうございました☺️ 経過もばっちり観察してくださり、 毎回白さが増してましたね🤍 大切なイベントに向けてお手伝いができたこと、 kanako様の前向きなチャレンジに 立ち会うことができて光栄でした!🫶🏻 ホワイトニングはメンテナンス維持も 大切になってくるので、 また必要なときに思い出してもらえたら嬉しいです🦷 kanako様のまたのお越しを心よりお待ちしております! 久留米ホワイトニング 久留米 韓国式3D毛穴洗浄 lonhana|担当 井上
返信日:2025年11月9日
ホワイトニング|韓国式3D毛穴洗浄 lonhana ロンハナ所属・韓国式3D毛穴洗浄 lonhanaのアピールポイント
芸能人のような真っ白で美しい⻭を目指します💎⻭科レベル、セラミックレベルの白さを目標とした最強セルフホワイトニングです🏆ウイルス対策毎日除菌済み💁
当店は『白さお約束ホワイトニング』でお馴染みの国内美容メーカーPLATINUM 公式認定サロンです❣ ⻭科医院の痛みやセルフホワイトニングの白くならないといったデメリットを解決。 今までにないセルフホワイトニングの提案で低価格で最高のホワイトニング効果をお約束します🏆 芸能人・モデル・スポーツ選手・インフルエンサーもお忍びで通う! 『白さを保証する⻭の専門店』🦷 他店で効果が出なかった方や、⻭科医院で痛みに挫折した方にも多く通って頂き、⽉間グループ来店総数 20,000人の多さを誇ります💮 私たちはホワイトニングのパイオニアとして、以下のことを約束します✋ 【価格】 人気店だからこそ出来る業界最安値のお約束 【効果】 誰もが納得する最高な白い⻭への挑戦 【品質】 国内最先端クラスのマシーンを使用 【溶液】 最上級品質の国内許可取得ジェルを使用 【接客】 お客様のなりたい白さへカウンセリング 【店舗】 隠れ家サロンのハイクオリティーマンション 【人材】 プロのホワイトニングスタッフが対応 【立地】 駅徒歩 8 分圏内の各繁華街に出店拡⼤中 私たちはホワイトニングのプロとして多くのお客様の⻭を白くすることに貢献してきました🎉 「⻭が白くなった」 「笑う機会が増えた」 などの喜びの声を頂くたびに、嬉しいことにお客様を紹介して頂いております❗ これからも一人でも多くのお客様に「私が通っている自慢のホワイトニングサロン」と言って頂けるお店作りと、 どこにも負けない「白さを保証する⻭の専門店」として在り続けられるよう努⼒して参ります⭐ スタッフ一同、皆様の笑顔作りのお手伝いをさせて頂けるよう皆様のお越しを心よりお待ちしております🙇
ホワイトニング|韓国式3D毛穴洗浄 lonhana ロンハナ所属・韓国式3D毛穴洗浄 lonhanaのプロフィール
歯も、お肌も清潔感など、 印象に関わる大事なパーツですよね💕 費用対効果を皆さまにもぜひ体感してほしい! 一人一人に合わせたペースで 理想の美しさへと サポートさせていただきます!^ ^
- 施術について
- ちょっとした空き時間に◎大事なイベントの前に◎男女問わずご利用いただけます🏳️⚧️ぜひ全国で話題の最新ケアをお試しください✨
- 資格・役職
- ホワイトニングアドバイザー、フェイシャルカウンセラー
- 性別
- 女性



























