堺市西区でおすすめの美容サロン

~en~~en~ えん
経験年数 10年以上
お客様の理想を叶えるサロン減量、お身体ライン作り実績有り!無理なく続けれるサロンになっています☆
🌺エステ当日予約OK🌺お客様の理想のお身体へと導きます✨✨数あるサロンの中からご覧いただきありがとうございます!当サロンは*痩身機器を使った痩身エステ*お肌の悩みに合わせたフェイシャル*腸もみ*アロママッサージ*レディース脱毛*メンズ脱毛*介護脱毛をお施術しています🌈多くのお客様が結果を残しているサロンになっていますのでお身体の事はお任せください✨🌻しっかり結果を出しつつ、料金的にも通いやすいサロン作りを心がけています🌴🌈不明な点がございましたらお気軽にお問い合わせください!!

𝐑𝐞𝐯𝐢𝐨__𝐑𝐞𝐯𝐢𝐨 ___堺市西区
経験年数 6年
サービス満足度が高い
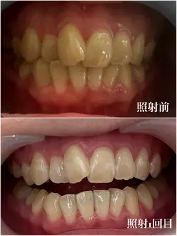
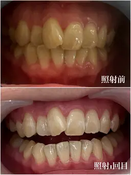
アットホームで親しみやすさが取り柄のスタッフ!主婦さん安心キッズスペースが充実したサロン♪美容も諦めずに楽しみましょう☺️ネイル/まつ毛/歯科医提携ホワイトニング/ハーブピーリング/高周波プラズマ
プロフィール4児の母(30)です!独学で勉強し、サロンOpenまでは身内の人や友達にネイルをしてきました😊高校生の頃からネイルに触れていたので、ジェルネイル歴10年ほどになります。当店では、色んなデザインができるよう他のサロンに比べてたくさんカラーやパーツを揃えております!マツエクでは、シングルラッシュ、フラットラッシュの2種類ございます。カラーエクステもたくさんお色ございます😊全体に入れたり、部分で入れてみるのもオススメです👀まつ毛パーマお客様のお目元を拝見して、理想の仕上がりやデザインをご提案いたします。ホワ...

nail salon Neigenail salon Neige
経験年数 10年以上
サービス満足度が高い
【鳳☆浜寺☆オフ無料】プライベートサロンの様な空間で、丁寧なカウンセリング。ワンカラーorラメグラ¥4000☆デザインサンプル¥5500☆持込画像OK!FreeArt90分やり放題¥7400
鳳駅から車で5分。浜寺元町コーナン激近!nailsalonNeigeでは耳ツボジュエリーのコースが登場致しました!☆minimo初回特別価格で提供させていただきます☆☆ワンカラー4000円オフ無☆デザインサンプル5500円オフ無☆FreeArt90分7400円オフ無(特殊パーツ、キャラ不可)☆耳ツボジュエリー☆シンプルコース(10個)3000円ゴージャスコース(20個迄)4500円*ネイルとセット*シンプルコース(10個)2500円ゴージャスコース(20個迄)4000円*お肌の弱い方、妊婦さんはご遠慮下さい。経験...

privatesalon OffModeOffMode - Karin.M
経験年数 4年
\anan.マタニティ雑誌多数搭載!/バザルト®︎ストーンマイスターWCE認定サロン💎✨️フェイシャルメニューに特化💫美と癒しを提供致します🤲🏻 当時予約◎リピーター様のみ休日対応可能✨️
バザルト®︎ストーンとは婦人科医推薦トリートメントです💎温めると遠赤外線を発生し、血行促進や老廃物の排出をサポートこの石を使い、頭〜全身をトリートメントしハンドでは届かない深部の筋肉を緩めることができるのでリンパマッサージなどのハンドトリートメントと比較して3倍から5倍の効果がありながら癒し効果も抜群です🌿◎フェイシャル顔のむくみ/たるみ/くすみ/表情筋の緊張緩和/リフトアップ◎ヘッドスパ脳疲労/自律神経/眼精疲労/睡眠ケア/頭皮の硬さ/顔のたるみ◎ボディ冷え/むくみ/婦人科トラブル/下腹の引き締め/セルライト/脚...

ビューティーサロン〜LUCIALL〜痩身リラク専門サロン 〜LUCIALL 〜
経験年数 10年以上
サービス満足度が高い
何をしても痩せれなかった方の為のサロンです。3ヶ月間でしっかり燃えやすい体にチェンジする事で、太りにくい痩せやすい身体作りをしていきます。3ヶ月で-10㎏の人生最後のダイエット✨
40代前後から一気に体型や体質が変わり始めます。筋肉が衰え代謝が落ち、昔はすんなり痩せていたのになかなか痩せない。また、むくみ・冷え・ダルい・疲れが取れないなど体調にも大きく変化が出てきます。私自身40歳前からのひどいむくみ・冷え、運動・食事制限何をしても痩せない自分に諦めを感じていました。そんな時に、セルライトゼロと出会い今までの悩みが解消され-7㎏に成功✨セルライトゼロで体の芯からしっかり温める事で、血液・リンパの流れがよくなり排出する力が付き老廃物を溜め込まない体に変化します✨『温める』『溶かす』『弾ける』...

メナードフェイシャルサロン鳳北町鳳北町 川島美樹
経験年数 9年
サービス満足度が高い
駐車場完備◎お子様連可👶🏼《完全貸切空間で癒しのひとときを🌿》50分3300円【通常イルネージュ使用ビジター価格8800】
ご新規様ご予約受付開始致します💁🏼♀️✔️minimo限定特典ご自宅用美白ケアセットプレゼント✨イルネージュ使用ビジター価格8800円(税込)⇨初回お試し50分コースが3300円(税込)🌿丁寧なカウンセリングでしっかりとお肌の状態を確認させていただいてから施術させていただきます乾燥が気になるこの季節、、しっかりお肌の見直しをしてみませんか?___________________________________________◉施術内容◉✔️事前にお肌のお悩み、状態を確認させて頂きます美容成分たっぷりのクリームを使ってのケア...

POLA上野芝店肌分析×パーソナル エステPOLA
経験年数 2年
2025年8月POLAエステ進化‼️美容医療で注目の肌深部に業界初エステでアプローチ✨肌分析で原因を可視化🩵首・肩・デコルテまでケアし、見た目の変化と持続力にこだわった極上リラクゼーション💆♀️
【都度払いOK】【最先端肌分析無料】【上野芝駅徒歩2分】¥6930〜当日効果実感!毛穴引き締め効果NO.1💖🎯こんな方に・毛穴の目立ち/くすみ/乾燥による化粧ノリの悪さ・たるみ・ハリ不足を短期間で底上げしたい・エステ初心者。合うケアが分からない/迷いたくない🔍肌分析×パーソナル設計で“実感”にこだわるエステ💆♀️1回で違いを、続けて理想を。結果重視のPOLAエステ予約枠✖️でも一度お問い合わせくださいませ✉️

REBORN by ami-goREBORN by ami-go
経験年数 10年以上
結果重視!お肌に優しく、安心安全な拘りの商材を使用し、お悩みにアプローチ!繰り返し悩み続けている肌トラブルを徹底改善★ニキビ/ニキビ跡/アレルギー肌/敏感肌を根本から肌改善し陶器肌へ導きます
プライベートサロンですので、リラックスしてゆったりとお過ごしください。お客様のお悩み、なりたいお肌を実現できるようサロンでのお手入れ、ホームケアなどアドバイスさせて頂きます。お客様のお悩み、お肌の状況を見ながら、なりたいお肌の目標に合わせて施術し、満足頂けるよう努めます。当店ではお肌に優しく、安心安全な商材を使用しております。サロンで使用している化粧品は全て私自身の肌で試して良いものだけで揃えております。ご来店お待ちしております。【資格取得】国際ライセンスICAMアドバンストレベル2ビューティシャン、アロマ、ネイ...
- 1
堺市西区の美容サロンをタグから探す
堺市西区(大阪府)の美容サロンを掲載しています。掲載者のプロフィール、口コミやレビューなど美容サロン選びに必要な情報が揃っています。あなたのお気に入りの美容サロンを見つけませんか?






















